Suppr超能文献

不同的分子策略驱动生物膜形成过程中对竞争适应性的进化适应。

Divergent molecular strategies drive evolutionary adaptation to competitive fitness in biofilm formation.

作者信息

Tang Mingxing, Yang Ruixue, Zhuang Zilin, Han Shuhong, Sun Yunke, Li Peiyu, Fan Kewei, Cai Zhao, Yang Qiong, Yu Zhijian, Yang Liang, Li Shuo

机构信息

Department of Otorhinolaryngology, Shenzhen Nanshan People's Hospital, Shenzhen 518052, China.

Community Health Service Center of Southern University of Science and Technology, Nanshan Medical Group Headquarters, Shenzhen 518055, China.

出版信息

ISME J. 2024 Jan 8;18(1). doi: 10.1093/ismejo/wrae135.

Abstract

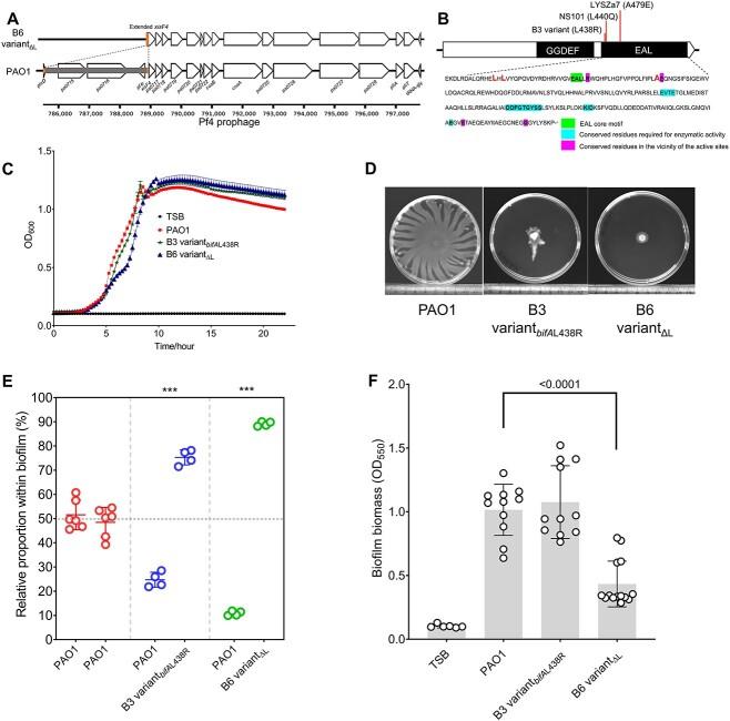
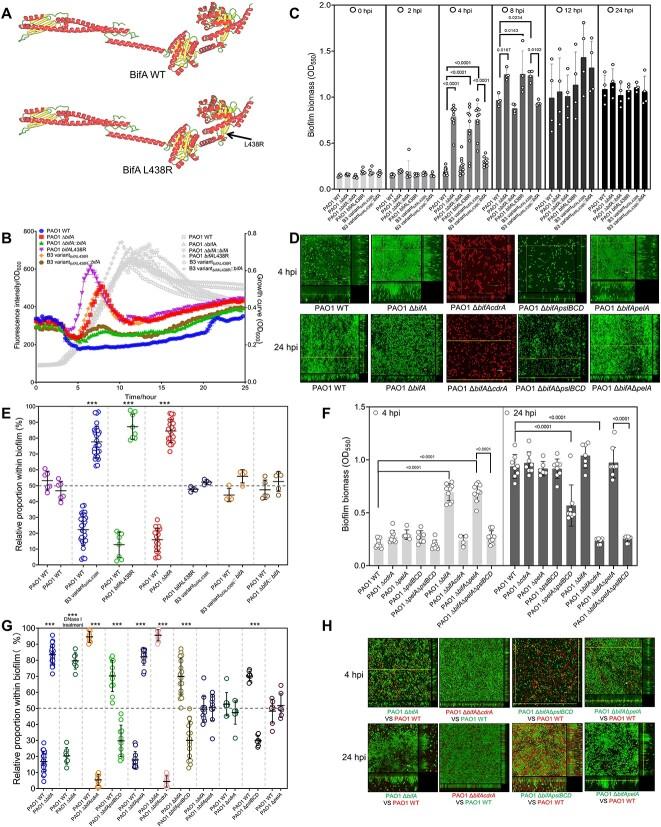
Biofilm is a group of heterogeneously structured and densely packed bacteria with limited access to nutrients and oxygen. These intrinsic features can allow a mono-species biofilm to diversify into polymorphic subpopulations, determining the overall community's adaptive capability to changing ecological niches. However, the specific biological functions underlying biofilm diversification and fitness adaptation are poorly demonstrated. Here, we launched and monitored the experimental evolution of Pseudomonas aeruginosa biofilms, finding that two divergent molecular trajectories were adopted for adaptation to higher competitive fitness in biofilm formation: one involved hijacking bacteriophage superinfection to aggressively inhibit kin competitors, whereas the other induced a subtle change in cyclic dimeric guanosine monophosphate signaling to gain a positional advantage via enhanced early biofilm adhesion. Bioinformatics analyses implicated that similar evolutionary strategies were prevalent among clinical P. aeruginosa strains, indicative of parallelism between natural and experimental evolution. Divergence in the molecular bases illustrated the adaptive values of genomic plasticity for gaining competitive fitness in biofilm formation. Finally, we demonstrated that these fitness-adaptive mutations reduced bacterial virulence. Our findings revealed how the mutations intrinsically generated from the biofilm environment influence the evolution of P. aeruginosa.

摘要

生物膜是一组结构异质且密集堆积的细菌,其获取营养和氧气的机会有限。这些内在特征可使单一种群生物膜多样化形成多态性亚群,决定整个群落对不断变化的生态位的适应能力。然而,生物膜多样化和适应性适应背后的具体生物学功能尚未得到充分证明。在此,我们启动并监测了铜绿假单胞菌生物膜的实验进化,发现生物膜形成过程中为适应更高的竞争适应性采用了两条不同的分子轨迹:一条涉及劫持噬菌体超感染以积极抑制亲缘竞争者,而另一条则诱导环状二聚体鸟苷单磷酸信号发生细微变化,通过增强早期生物膜黏附获得位置优势。生物信息学分析表明,类似的进化策略在临床铜绿假单胞菌菌株中普遍存在,表明自然进化与实验进化之间存在平行性。分子基础的差异说明了基因组可塑性在生物膜形成中获得竞争适应性的适应价值。最后,我们证明这些适应性突变降低了细菌的毒力。我们的研究结果揭示了生物膜环境中内在产生的突变如何影响铜绿假单胞菌的进化。

https://cdn.ncbi.nlm.nih.gov/pmc/blobs/7c22/11307329/eb013436f1f2/wrae135f1.jpg

文献AI研究员

20分钟写一篇综述,助力文献阅读效率提升50倍。

立即体验

用中文搜PubMed

大模型驱动的PubMed中文搜索引擎

马上搜索

文档翻译

学术文献翻译模型,支持多种主流文档格式。

立即体验