Suppr超能文献

EZH2和CDK4/6的联合抑制扰乱内质网-线粒体稳态并增强对胶质母细胞瘤的抗肿瘤活性。

Combined inhibition of EZH2 and CDK4/6 perturbs endoplasmic reticulum-mitochondrial homeostasis and increases antitumor activity against glioblastoma.

作者信息

Freitag Thomas, Kaps Philipp, Ramtke Justus, Bertels Sarah, Zunke Emily, Schneider Björn, Becker Anne-Sophie, Koczan Dirk, Dubinski Daniel, Freiman Thomas M, Wittig Felix, Hinz Burkhard, Westhoff Mike-Andrew, Strobel Hannah, Meiners Franziska, Wolter Daniel, Engel Nadja, Troschke-Meurer Sascha, Bergmann-Ewert Wendy, Staehlke Susanne, Wolff Annabell, Gessler Florian, Junghanss Christian, Maletzki Claudia

机构信息

Department of Medicine, Clinic III -Hematology, Oncology, Palliative Medicine, Rostock University Medical Center, University of Rostock, Rostock, Germany.

Institute of Pathology, Rostock University Medical Center, University of Rostock, Rostock, Germany.

出版信息

NPJ Precis Oncol. 2024 Jul 25;8(1):156. doi: 10.1038/s41698-024-00653-3.

Abstract

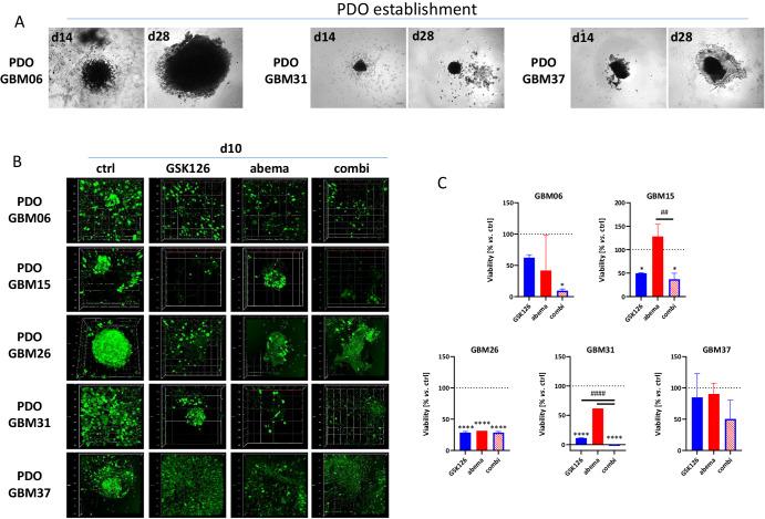
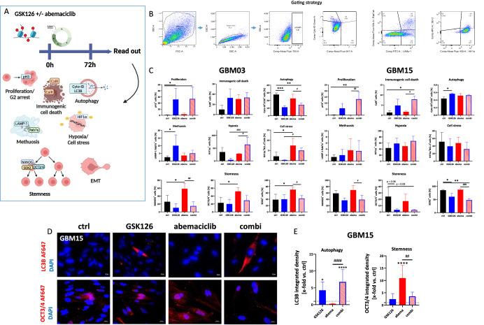
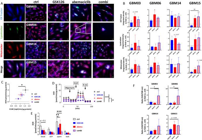
He, we show that combined use of the EZH2 inhibitor GSK126 and the CDK4/6 inhibitor abemaciclib synergistically enhances antitumoral effects in preclinical GBM models. Dual blockade led to HIF1α upregulation and CalR translocation, accompanied by massive impairment of mitochondrial function. Basal oxygen consumption rate, ATP synthesis, and maximal mitochondrial respiration decreased, confirming disrupted endoplasmic reticulum-mitochondrial homeostasis. This was paralleled by mitochondrial depolarization and upregulation of the UPR sensors PERK, ATF6α, and IRE1α. Notably, dual EZH2/CDK4/6 blockade also reduced 3D-spheroid invasion, partially inhibited tumor growth in ovo, and led to impaired viability of patient-derived organoids. Mechanistically, this was due to transcriptional changes in genes involved in mitotic aberrations/spindle assembly (Rb, PLK1, RRM2, PRC1, CENPF, TPX2), histone modification (HIST1H1B, HIST1H3G), DNA damage/replication stress events (TOP2A, ATF4), immuno-oncology (DEPDC1), EMT-counterregulation (PCDH1) and a shift in the stemness profile towards a more differentiated state. We propose a dual EZH2/CDK4/6 blockade for further investigation.

摘要

我们发现,在临床前胶质母细胞瘤(GBM)模型中,EZH2抑制剂GSK126与CDK4/6抑制剂阿贝西利联合使用可协同增强抗肿瘤作用。双重阻断导致缺氧诱导因子1α(HIF1α)上调和钙网蛋白(CalR)易位,同时伴有线粒体功能的严重受损。基础氧消耗率、ATP合成及最大线粒体呼吸均降低,证实内质网-线粒体稳态被破坏。这与线粒体去极化以及未折叠蛋白反应(UPR)传感器蛋白激酶R(PERK)、活化转录因子6α(ATF6α)和肌醇需求酶1α(IRE1α)的上调同时出现。值得注意的是,双重EZH2/CDK4/6阻断还减少了3D球体侵袭,部分抑制了鸡胚内肿瘤生长,并导致患者来源类器官的活力受损。从机制上讲,这是由于参与有丝分裂异常/纺锤体组装(视网膜母细胞瘤蛋白(Rb)、丝氨酸/苏氨酸蛋白激酶1(PLK1)、核糖核苷酸还原酶M2亚基(RRM2)、蛋白磷酸酶1调节亚基1α(PRC1)、着丝粒蛋白F(CENPF)、微管蛋白聚合促进蛋白2(TPX2))、组蛋白修饰(组蛋白H1家族成员B(HIST1H1B)、组蛋白H3家族成员G(HIST1H3G))、DNA损伤/复制应激事件(拓扑异构酶Ⅱα(TOP2A)、活化转录因子4(ATF4))、免疫肿瘤学(DEP结构域蛋白1(DEPDC1))、上皮-间质转化(EMT)反向调节(原钙黏蛋白1(PCDH1))的基因转录变化,以及干性特征向更分化状态的转变。我们建议对双重EZH2/CDK4/6阻断进行进一步研究。

https://cdn.ncbi.nlm.nih.gov/pmc/blobs/61b1/11272933/c55b55f4a75b/41698_2024_653_Fig1_HTML.jpg

文献AI研究员

20分钟写一篇综述,助力文献阅读效率提升50倍。

立即体验

用中文搜PubMed

大模型驱动的PubMed中文搜索引擎

马上搜索

文档翻译

学术文献翻译模型,支持多种主流文档格式。

立即体验