Suppr超能文献

mA 介导的长链非编码 RNA-OXAR 通过增强非酒精性脂肪性肝炎相关肝细胞癌中 Ku70 的稳定性促进奥沙利铂耐药性。

mA-mediated lnc-OXAR promotes oxaliplatin resistance by enhancing Ku70 stability in non-alcoholic steatohepatitis-related hepatocellular carcinoma.

机构信息

State Key Laboratory of Oncology in South China and Collaborative Innovation Center for Cancer Medicine, Sun Yat-Sen University Cancer Center, Guangzhou, China.

Department of Liver Surgery, Sun Yat-Sen University Cancer Center, Guangzhou, China.

出版信息

J Exp Clin Cancer Res. 2024 Jul 25;43(1):206. doi: 10.1186/s13046-024-03134-4.

Abstract

BACKGROUND

The escalating prevalence of metabolic diseases has led to a rapid increase in non-alcoholic steatohepatitis (NASH)-related hepatocellular carcinoma (NASH-HCC). While oxaliplatin (OXA)-based hepatic arterial infusion chemotherapy (HAIC) has shown promise in advanced-stage HCC patients, its efficacy in NASH-HCC remains uncertain. This study aims to assess the effectiveness of OXA-based HAIC and elucidate the mechanisms underlying OXA resistance in NASH-HCC.

METHODS

The key lncRNAs were screened through RNA-seq analysis of NASH/non-NASH and OXA-sensitive/OXA-resistant (OXA-S/R) HCC tissues. The biological functions of the lnc-OXAR (OXA resistance-related lncRNA in NASH-HCC) in NASH-HCC were verified through a series of in vitro and in vivo experiments. The molecular mechanism of lnc-OXAR was elucidated by fluorescence in situ hybridization, immunoprecipitation-mass spectrometry (FISH), Immunoprecipitation-Mass Spectrometry (IP-MS), RNA pulldown, RNA immunoprecipitation (RIP), methylated RNA immunoprecipitation sequencing (MeRIP-Seq) and a dual-luciferase reporter assay.

RESULTS

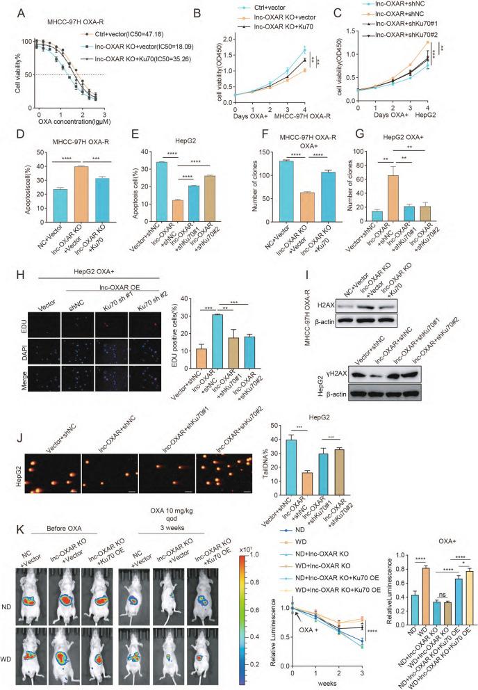
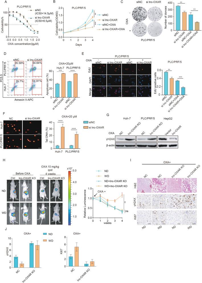
NASH-HCC exhibited reduced responsiveness to OXA-based HAIC compared to non-NASH HCC. We identified and validated a novel transcript namedlnc-OXAR, which played a crucial role in conferring OXA resistance to NASH-HCC. Inhibition of lnc-OXAR suppressed HCC cell growth and restored OXA sensitivity both in NASH-HCC mouse models and in vitro. Mechanistically, lnc-OXAR recruited Ku70 and cystatin A (CSTA), preventing Ku70 degradation and facilitating DNA double-strand break (DSB) repair, thereby promoting OXA resistance in NASH-HCC. Additionally, WTAP-mediated mA modification enhanced the stability of lnc-OXAR in an IGF2BP2-dependent manner. Notably, silencing lnc-OXAR significantly enhanced the response to OXA in patient-derived xenograft (PDX) models derived from NASH-HCC.

CONCLUSIONS

The reduced responsiveness of NASH-HCC to OXA treatment can be attributed to the upregulation of lnc-OXAR. Our findings provide a rationale for stratifying HCC patients undergoing OXA-based HAIC based on etiology. Lnc-OXAR holds promise as a novel target for overcoming OXA resistance in NASH-HCC and improving prognosis.

摘要

背景

代谢性疾病的流行率不断上升,导致非酒精性脂肪性肝炎(NASH)相关肝细胞癌(NASH-HCC)的发病率迅速增加。奥沙利铂(OXA)为基础的肝动脉灌注化疗(HAIC)在晚期 HCC 患者中显示出良好的效果,但在 NASH-HCC 中的疗效尚不确定。本研究旨在评估 OXA 为基础的 HAIC 的有效性,并阐明 NASH-HCC 中 OXA 耐药的机制。

方法

通过对 NASH/非 NASH 和 OXA 敏感/OXA 耐药(OXA-S/R)HCC 组织的 RNA-seq 分析筛选关键 lncRNA。通过一系列体外和体内实验验证 lnc-OXAR(NASH-HCC 中与 OXA 耐药相关的长非编码 RNA)在 NASH-HCC 中的生物学功能。通过荧光原位杂交、免疫沉淀-质谱(FISH、IP-MS)、RNA 下拉、RNA 免疫沉淀(RIP)、甲基化 RNA 免疫沉淀测序(MeRIP-Seq)和双荧光素酶报告基因实验阐明 lnc-OXAR 的分子机制。

结果

NASH-HCC 对 OXA 为基础的 HAIC 的反应性低于非 NASH HCC。我们鉴定并验证了一种名为 lnc-OXAR 的新型转录本,它在赋予 NASH-HCC 对 OXA 耐药性方面发挥了关键作用。抑制 lnc-OXAR 可抑制 NASH-HCC 小鼠模型和体外 HCC 细胞的生长,并恢复 OXA 敏感性。机制上,lnc-OXAR 募集 Ku70 和半胱氨酸蛋白酶抑制剂 A(CSTA),阻止 Ku70 降解,促进 DNA 双链断裂(DSB)修复,从而促进 NASH-HCC 中的 OXA 耐药性。此外,WTAP 介导的 mA 修饰以 IGF2BP2 依赖的方式增强 lnc-OXAR 的稳定性。值得注意的是,沉默 lnc-OXAR 可显著增强源自 NASH-HCC 的患者来源异种移植(PDX)模型对 OXA 的反应。

结论

NASH-HCC 对 OXA 治疗反应性降低可归因于 lnc-OXAR 的上调。我们的研究结果为基于病因对接受 OXA 为基础的 HAIC 的 HCC 患者进行分层提供了依据。lnc-OXAR 有望成为克服 NASH-HCC 中 OXA 耐药性和改善预后的新靶点。

https://cdn.ncbi.nlm.nih.gov/pmc/blobs/dc33/11271202/58ebe425aec5/13046_2024_3134_Fig1_HTML.jpg

文献AI研究员

20分钟写一篇综述,助力文献阅读效率提升50倍。

立即体验

用中文搜PubMed

大模型驱动的PubMed中文搜索引擎

马上搜索

文档翻译

学术文献翻译模型,支持多种主流文档格式。

立即体验