Suppr超能文献

口服 GS-441524 治疗 42 天的疗效与推荐的 84 天治疗等效,用于治疗患有渗出性猫传染性腹膜炎的猫:一项前瞻性随机对照研究。

Short Treatment of 42 Days with Oral GS-441524 Results in Equal Efficacy as the Recommended 84-Day Treatment in Cats Suffering from Feline Infectious Peritonitis with Effusion-A Prospective Randomized Controlled Study.

机构信息

LMU Small Animal Clinic, Centre for Clinical Veterinary Medicine, LMU Munich, 80539 Munich, Germany.

Institute of Veterinary Pathology, Centre for Clinical Veterinary Medicine, LMU Munich, 80539 Munich, Germany.

出版信息

Viruses. 2024 Jul 16;16(7):1144. doi: 10.3390/v16071144.

Abstract

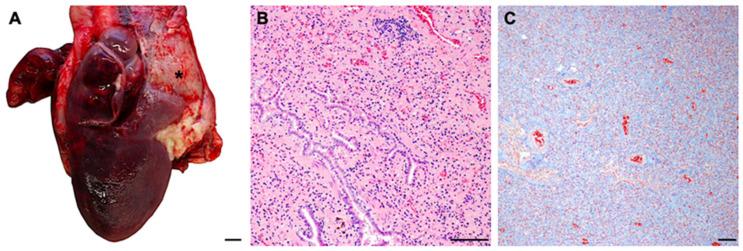
In the past, feline infectious peritonitis (FIP) caused by feline coronavirus (FCoV) was considered fatal. Today, highly efficient drugs, such as GS-441524, can lead to complete remission. The currently recommended treatment duration in the veterinary literature is 84 days. This prospective randomized controlled treatment study aimed to evaluate whether a shorter treatment duration of 42 days with oral GS-441524 obtained from a licensed pharmacy is equally effective compared to the 84-day regimen. Forty cats with FIP with effusion were prospectively included and randomized to receive 15 mg/kg of GS-441524 orally every 24h (q24h), for either 42 or 84 days. Cats were followed for 168 days after treatment initiation. With the exception of two cats that died during the treatment, 38 cats (19 in short, 19 in long treatment group) recovered with rapid improvement of clinical and laboratory parameters as well as a remarkable reduction in viral loads in blood and effusion. Orally administered GS-441524 given as a short treatment was highly effective in curing FIP without causing serious adverse effects. All cats that completed the short treatment course successfully were still in complete remission on day 168. Therefore, a shorter treatment duration of 42 days GS-441524 15 mg/kg can be considered equally effective.

摘要

在过去,猫传染性腹膜炎(FIP)是由猫冠状病毒(FCoV)引起的,被认为是致命的。如今,高效的药物,如 GS-441524,可以导致完全缓解。兽医文献中目前推荐的治疗持续时间为 84 天。本项前瞻性随机对照治疗研究旨在评估从许可的药房获得的口服 GS-441524 进行 42 天的较短治疗疗程是否与 84 天的治疗方案同样有效。前瞻性纳入了 40 例患有渗出性 FIP 的猫,并随机接受 15mg/kg 的 GS-441524 口服,每 24 小时(q24h)一次,持续 42 天或 84 天。在治疗开始后随访 168 天。除了在治疗过程中死亡的两只猫外,38 只猫(短疗程组 19 只,长疗程组 19 只)均康复,临床和实验室参数迅速改善,血液和渗出液中的病毒载量显著降低。口服给予的短疗程 GS-441524 治疗 FIP 非常有效,且没有引起严重的不良反应。所有完成短疗程治疗的猫在第 168 天仍处于完全缓解状态。因此,42 天 15mg/kg GS-441524 的较短治疗疗程可被视为同样有效。

https://cdn.ncbi.nlm.nih.gov/pmc/blobs/bf03/11281457/be47450f9d16/viruses-16-01144-g001.jpg

文献AI研究员

20分钟写一篇综述,助力文献阅读效率提升50倍。

立即体验

用中文搜PubMed

大模型驱动的PubMed中文搜索引擎

马上搜索

文档翻译

学术文献翻译模型,支持多种主流文档格式。

立即体验