Suppr超能文献

丁酸钠通过AMPK/SIRT1/PGC-1α信号通路改善糖尿病肾病中的肾损伤。

Sodium butyrate improves renal injury in diabetic nephropathy through AMPK/SIRT1/PGC-1α signaling pathway.

作者信息

Ye Kaili, Zhao Yanling, Huang Wen, Zhu Yonglin

机构信息

Department of Hematology of Wenzhou People's Hospital, The Wenzhou Third Clinical Institute Affiliated to Wenzhou Medical University, No. 299, Guan Road, Louqiao Street, Ouhai District, Wenzhou, 325000, China.

Department of Nephrology, The Second Affiliated Hospital of Wenzhou Medical University, Wenzhou, 325000, China.

出版信息

Sci Rep. 2024 Aug 1;14(1):17867. doi: 10.1038/s41598-024-68227-8.

Abstract

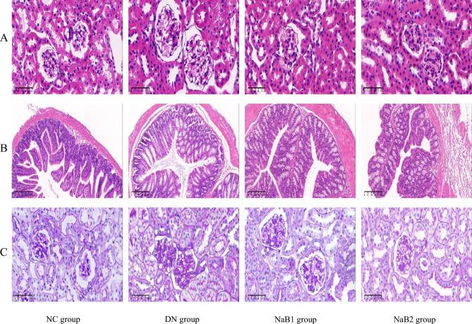
Diabetic nephropathy (DN) is a prototypical chronic energy metabolism imbalance disease. The AMPK/Sirt1/PGC-1α signaling pathway plays a pivotal role in regulating energy metabolism throughout the body. Gut microbiota ferment indigestible carbohydrates to produce a variety of metabolites, particularly short-chain fatty acids (SCFAs), which exert positive effects on energy metabolism. However, the potential for SCFAs to ameliorate DN-associated renal injury via the AMPK/Sirt1/PGC-1α pathway remains a matter of debate. In this study, we investigated the effects of sodium butyrate (NaB), a SCFA, on energy metabolism in mice with spontaneous DN at two different doses. Body weight, blood glucose and lipid levels, urinary protein excretion, liver and kidney function, interleukin-6 (IL-6) levels, and the expressions of AMPK, phosphorylated AMPK (p-AMPK), mitofusin 2 (MFN2), optic atrophy 1 (OPA1), and glucagon-like peptide-1 receptor (GLP-1R) were monitored in mice. Additionally, butyrate levels, gut microbiota composition, and diversity in colonic stool were also assessed. Our findings demonstrate that exogenous NaB supplementation can improve hyperglycemia and albuminuria, reduce renal tissue inflammation, inhibit extracellular matrix accumulation and glomerular hypertrophy, and could alter the gut microbiota composition in DN. Furthermore, NaB was found to upregulate the expressions of MFN2, OPA1, p-AMPK, and GLP-1R in DN renal tissue. These results suggest that NaB could improve the composition of gut microbiota in DN, activate the AMPK/Sirt1/PGC-1α signaling pathway, and enhance mitochondrial function to regulate energy metabolism throughout the body. Collectively, our findings indicate that NaB may be a novel therapeutic agent for the treatment of DN.

摘要

糖尿病肾病(DN)是一种典型的慢性能量代谢失衡疾病。AMPK/Sirt1/PGC-1α信号通路在调节全身能量代谢中起关键作用。肠道微生物群发酵难消化的碳水化合物产生多种代谢产物,尤其是短链脂肪酸(SCFAs),它们对能量代谢具有积极作用。然而,SCFAs通过AMPK/Sirt1/PGC-1α途径改善DN相关肾损伤的潜力仍存在争议。在本研究中,我们研究了两种不同剂量的短链脂肪酸丁酸钠(NaB)对自发性DN小鼠能量代谢的影响。监测了小鼠的体重、血糖和血脂水平、尿蛋白排泄、肝肾功能、白细胞介素-6(IL-6)水平以及AMPK、磷酸化AMPK(p-AMPK)、线粒体融合蛋白2(MFN2)、视神经萎缩蛋白1(OPA1)和胰高血糖素样肽-1受体(GLP-1R)的表达。此外,还评估了结肠粪便中的丁酸盐水平、肠道微生物群组成和多样性。我们的研究结果表明,外源性补充NaB可以改善高血糖和蛋白尿,减轻肾组织炎症,抑制细胞外基质积聚和肾小球肥大,并可能改变DN小鼠的肠道微生物群组成。此外,发现NaB可上调DN肾组织中MFN2、OPA1、p-AMPK和GLP-1R的表达。这些结果表明,NaB可以改善DN小鼠的肠道微生物群组成,激活AMPK/Sirt1/PGC-1α信号通路,并增强线粒体功能以调节全身能量代谢。总体而言,我们的研究结果表明,NaB可能是一种治疗DN的新型治疗剂。

https://cdn.ncbi.nlm.nih.gov/pmc/blobs/2f65/11294604/a5860edcb10c/41598_2024_68227_Fig1_HTML.jpg

文献AI研究员

20分钟写一篇综述,助力文献阅读效率提升50倍。

立即体验

用中文搜PubMed

大模型驱动的PubMed中文搜索引擎

马上搜索

文档翻译

学术文献翻译模型,支持多种主流文档格式。

立即体验