Suppr超能文献

口服海藻酸钠纳米粒对实验性弓形虫病的治疗潜力。

Therapeutic potential of oral alginate nanoparticles against experimental toxoplasmosis.

机构信息

Medical Parasitology Department, Faculty of Medicine, Alexandria University, Alexandria, Egypt.

Pathology Department, Faculty of Medicine, Alexandria University, Alexandria, Egypt.

出版信息

Parasitol Res. 2024 Aug 6;123(8):293. doi: 10.1007/s00436-024-08307-w.

Abstract

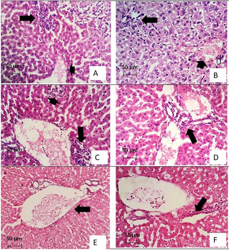
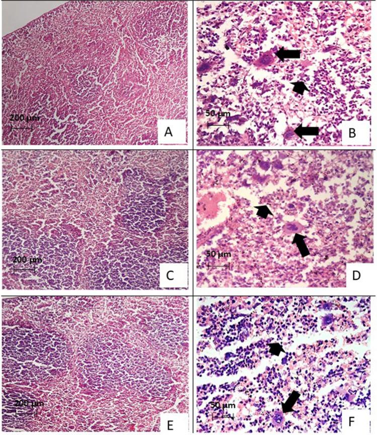
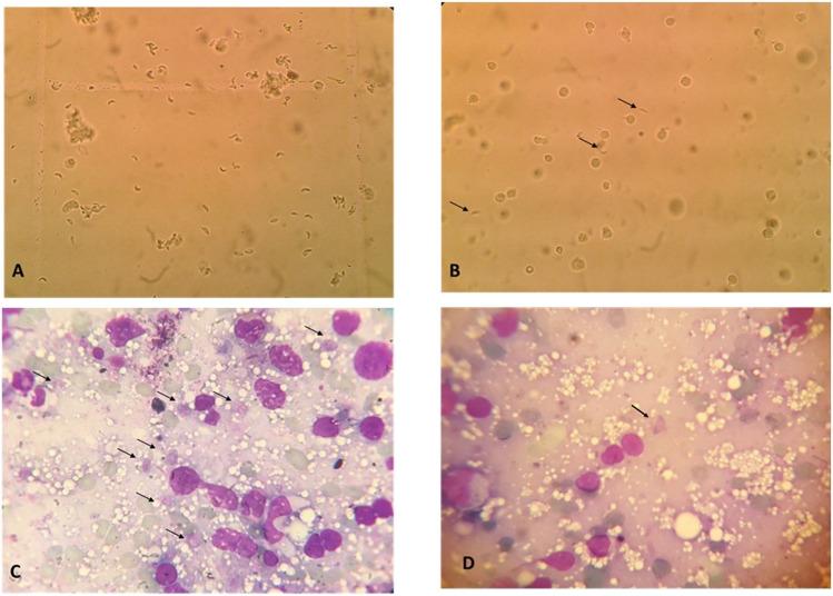
Side effects and low efficacy of current anti-toxoplasmosis therapeutics against encysted bradyzoites necessitate research into alternative safe therapeutic options. The safety, immunostimulatory, and antimicrobial properties of alginate nanoparticle formulation (Alg-NP) highlight its potential as an oral therapy against acute toxoplasmosis. In the current study, Alg-NP was formulated and characterized and then assessed for its anti-Toxoplasma effects using parasitological, ultrastructural, immunological, and histopathological studies. Treatment with Alg-NP significantly prolonged mice survival and reduced the parasite burden in both peritoneal fluid and tissue impression smears. In addition, it altered parasite viability and caused severe tachyzoite deformities as evidenced by ultrastructural studies. Alg-NP induced high levels of serum IFN-γ in infected mice with significant amelioration in histopathological changes in both hepatic and splenic tissue sections. In conclusion, Alg-NP could be considered a promising therapeutic agent against acute murine toxoplasmosis, and owing to its safety, it could potentially be enlisted for human use.

摘要

目前针对包囊缓殖子的抗弓形虫治疗方法存在副作用和疗效低的问题,因此需要研究替代的安全治疗方法。海藻酸钠纳米颗粒制剂(Alg-NP)具有安全性、免疫刺激性和抗菌性能,这凸显了其作为治疗急性弓形虫病的口服疗法的潜力。在本研究中,我们对 Alg-NP 进行了配方设计和特性描述,并通过寄生虫学、超微结构、免疫学和组织病理学研究评估其抗弓形虫效果。Alg-NP 治疗可显著延长感染小鼠的存活时间,并降低腹腔液和组织印片的寄生虫负荷。此外,超微结构研究表明,它改变了寄生虫的活力并导致速殖子严重变形。Alg-NP 诱导感染小鼠产生高水平的血清 IFN-γ,并显著改善肝和脾组织切片的组织病理学变化。总之,Alg-NP 可被视为一种有前途的抗急性鼠弓形虫病的治疗药物,而且由于其安全性,它有可能被用于人类。

https://cdn.ncbi.nlm.nih.gov/pmc/blobs/aea8/11303569/37115835e2ed/436_2024_8307_Fig1_HTML.jpg

文献AI研究员

20分钟写一篇综述,助力文献阅读效率提升50倍。

立即体验

用中文搜PubMed

大模型驱动的PubMed中文搜索引擎

马上搜索

文档翻译

学术文献翻译模型,支持多种主流文档格式。

立即体验