Suppr超能文献

53BP1 缺失可诱发卵巢癌和胰腺癌中的 cGAS-STING 依赖性抗肿瘤免疫。

53BP1 loss elicits cGAS-STING-dependent antitumor immunity in ovarian and pancreatic cancer.

机构信息

Division of Radiation and Genome Stability, Department of Radiation Oncology, Dana-Farber Cancer Institute, Harvard Medical School, Boston, MA, USA.

Cancer Center, Union Hospital, Tongji Medical College, Huazhong University of Science and Technology, Wuhan, PR China.

出版信息

Nat Commun. 2024 Aug 6;15(1):6676. doi: 10.1038/s41467-024-50999-2.

Abstract

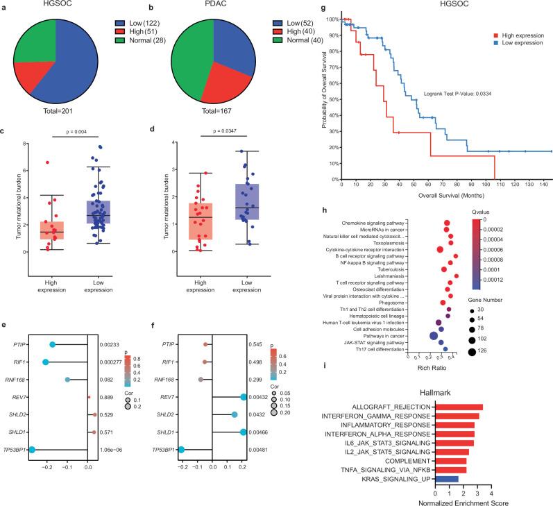
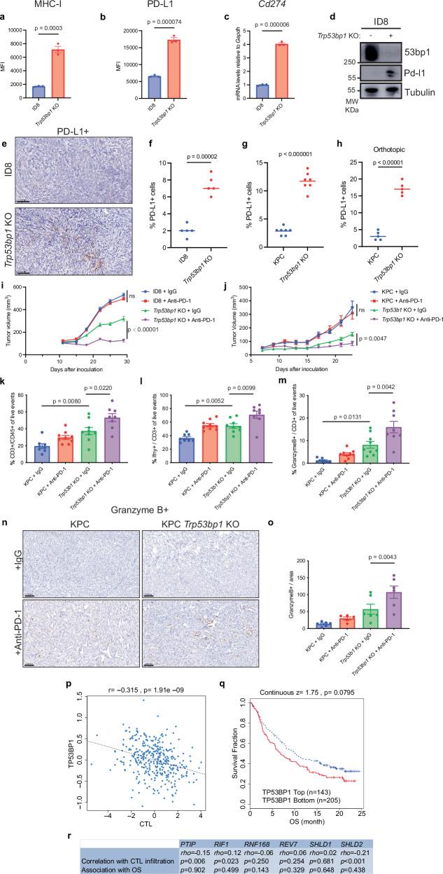
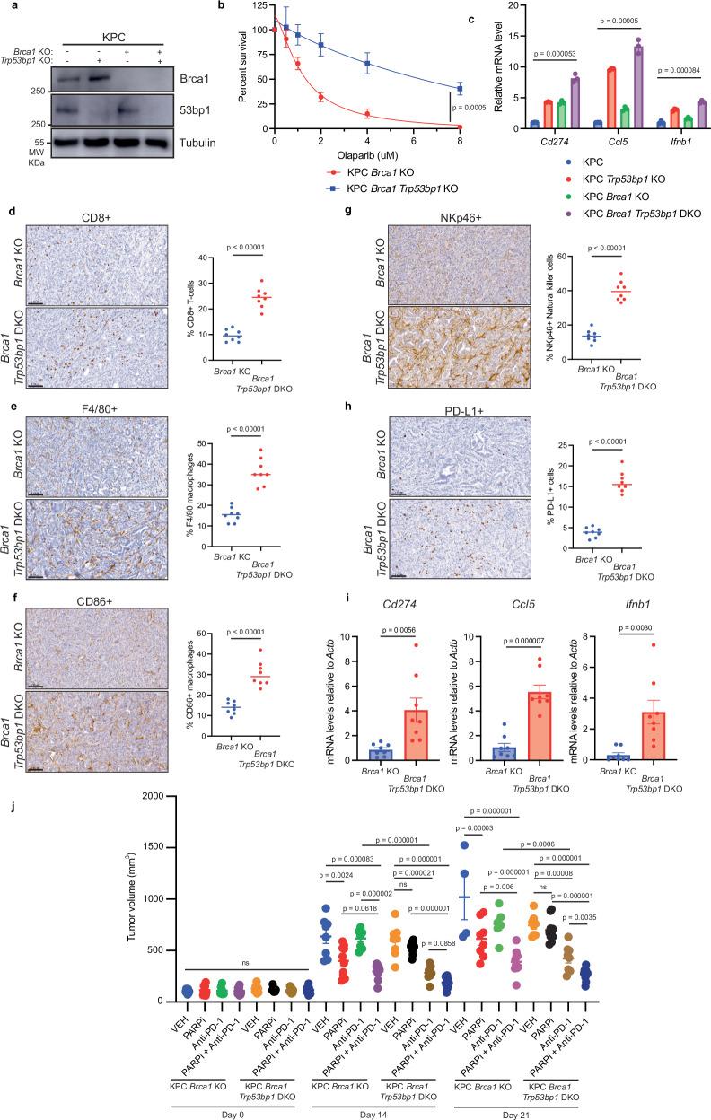
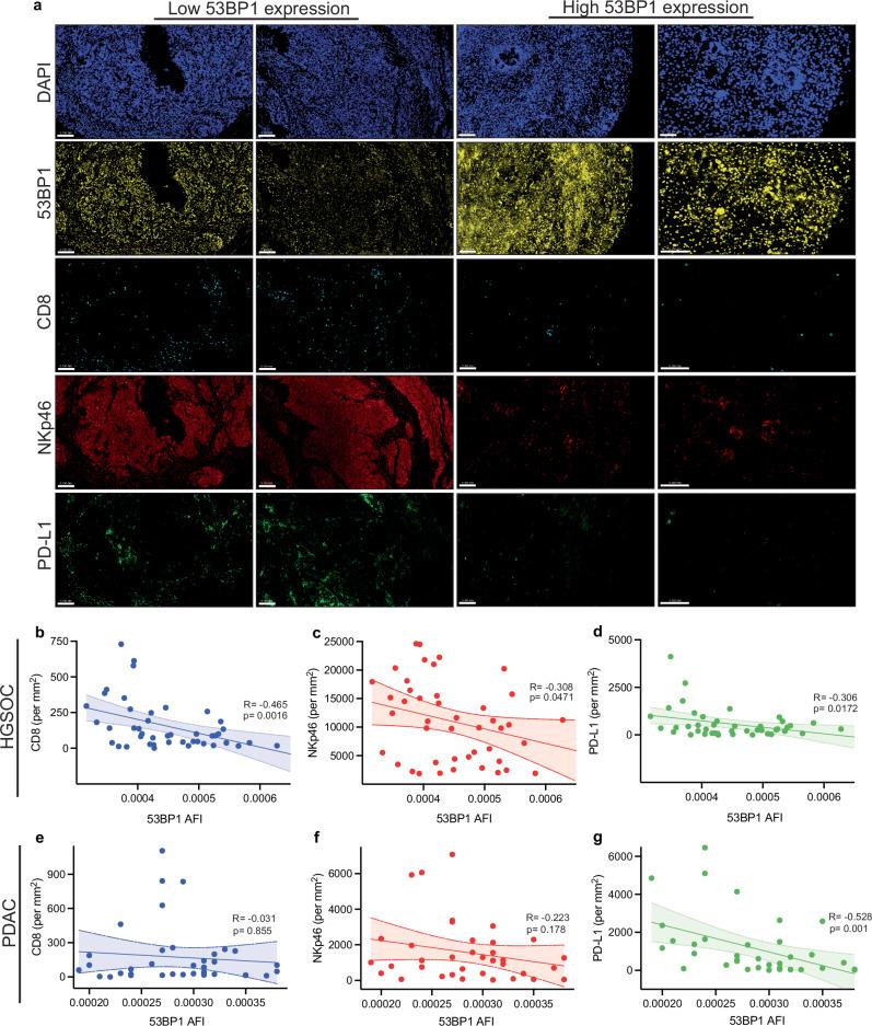
53BP1 nucleates the anti-end resection machinery at DNA double-strand breaks, thereby countering BRCA1 activity. Loss of 53BP1 leads to DNA end processing and homologous recombination in BRCA1-deficient cells. Consequently, BRCA1-mutant tumors, typically sensitive to PARP inhibitors (PARPi), become resistant in the absence of 53BP1. Here, we demonstrate that the 'leaky' DNA end resection in the absence of 53BP1 results in increased micronuclei and cytoplasmic double-stranded DNA, leading to activation of the cGAS-STING pathway and pro-inflammatory signaling. This enhances CD8 T cell infiltration, activates macrophages and natural killer cells, and impedes tumor growth. Loss of 53BP1 correlates with a response to immune checkpoint blockade (ICB) and improved overall survival. Immunohistochemical assessment of 53BP1 in two malignancies, high grade serous ovarian cancer and pancreatic ductal adenocarcinoma, which are refractory to ICBs, reveals that lower 53BP1 levels correlate with an increased adaptive and innate immune response. Finally, BRCA1-deficient tumors that develop resistance to PARPi due to the loss of 53BP1 are susceptible to ICB. Therefore, we conclude that 53BP1 is critical for tumor immunogenicity and underpins the response to ICB. Our results support including 53BP1 expression as an exploratory biomarker in ICB trials for malignancies typically refractory to immunotherapy.

摘要

53BP1 在 DNA 双链断裂处引发抗末端切除机制,从而拮抗 BRCA1 活性。53BP1 的缺失导致 BRCA1 缺陷细胞的 DNA 末端加工和同源重组。因此,BRCA1 突变型肿瘤通常对 PARP 抑制剂(PARPi)敏感,但在缺乏 53BP1 的情况下会产生耐药性。在这里,我们证明了 53BP1 缺失导致的“渗漏”DNA 末端切除会导致微核和细胞质双链 DNA 增加,从而激活 cGAS-STING 途径和促炎信号。这增强了 CD8 T 细胞浸润,激活了巨噬细胞和自然杀伤细胞,并阻碍了肿瘤生长。53BP1 的缺失与免疫检查点阻断(ICB)的反应和总生存的改善相关。对两种对 ICB 耐药的恶性肿瘤(高级别浆液性卵巢癌和胰腺导管腺癌)进行 53BP1 的免疫组织化学评估表明,较低的 53BP1 水平与适应性和固有免疫反应的增加相关。最后,由于 53BP1 的缺失而对 PARPi 产生耐药性的 BRCA1 缺陷型肿瘤对 ICB 敏感。因此,我们得出结论,53BP1 对肿瘤免疫原性至关重要,并为 ICB 反应提供支持。我们的研究结果支持将 53BP1 表达作为通常对免疫疗法耐药的恶性肿瘤的 ICB 试验中的探索性生物标志物。

https://cdn.ncbi.nlm.nih.gov/pmc/blobs/0a51/11303708/81689850d08a/41467_2024_50999_Fig1_HTML.jpg

文献AI研究员

20分钟写一篇综述,助力文献阅读效率提升50倍。

立即体验

用中文搜PubMed

大模型驱动的PubMed中文搜索引擎

马上搜索

文档翻译

学术文献翻译模型,支持多种主流文档格式。

立即体验