Suppr超能文献

错配修复缺陷型宫颈内膜腺癌的临床病理和免疫特征。

Clinicopathological and immune characterization of mismatch repair deficient endocervical adenocarcinoma.

机构信息

Sun Yat-sen University Cancer Center, State Key Laboratory of Oncology in South China, Collaborative Innovation Center for Cancer Medicine, Guangzhou 510060, People's Republic of China.

Department of Pathology, Sun Yat-sen University Cancer Center, Guangzhou 510060, People's Republic of China.

出版信息

Oncologist. 2024 Oct 3;29(10):e1302-e1314. doi: 10.1093/oncolo/oyae192.

Abstract

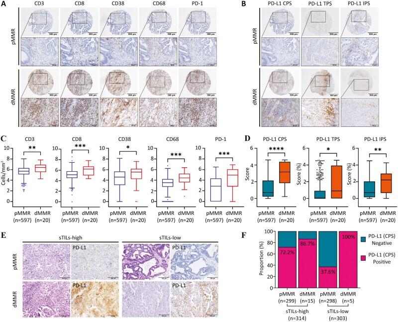
Endocervical adenocarcinoma (ECA) is reported increasingly often in young women, and this aggressive disease lacks effective methods of targeted therapy. Since mismatch repair deficiency (dMMR) is an important biomarker for predicting response to immune checkpoint inhibitors, it is important to investigate the clinicopathological features and immune microenvironment of dMMR ECAs. We assessed 617 ECAs from representative tissue microarray sections, gathered clinicopathologic information, reviewed histological characteristics, and performed immunohistochemical staining for MMR, programmed cell death 1 (PD-L1), and other immune markers. Of 617 ECA samples, 20 (3.2%) cases had dMMR. Among them, loss of MMR-related proteins expression was observed in 17/562 (3.0%) human papilloma virus-associated (HPVA) adenocarcinoma and 3/55 (5.5%) non-HPV-associated (NHPVA) adenocarcinoma. In NHPVA cohort, dMMR status was observed in 3 (3/14, 15.0%) patients with clear cells. dMMR ECAs had a higher tendency to have a family history of cancer, larger tumor size, p16 negative, HPV E6/E7 mRNA in situ hybridization (HPV E6/E7 RNAscope) negative, and lower ki-67 index. Among the morphological variables evaluated, poor differentiation, necrosis, stromal tumor-infiltrating lymphocytes, peritumoral lymphocytes, and lymphoid follicles were easily recognized in the dMMR ECAs. In addition, dMMR ECAs had higher CD3+, CD8+, CD38+, CD68+ and PD-1+ immune cells. A relatively high prevalence of PD-L1 expression was observed in dMMR ECAs. dMMR ECAs were significantly more likely to present with a tumor-infiltrating lymphocytes -high/PD-L1-positive status. In conclusion, dMMR ECAs have some specific morphological features and a critical impact on the immune microenvironment, which may provide insights into improving responses to immunotherapy-included comprehensive treatment for ECAs in the future.

摘要

宫颈内膜腺癌(ECA)在年轻女性中的报告越来越多,这种侵袭性疾病缺乏有效的靶向治疗方法。由于错配修复缺陷(dMMR)是预测免疫检查点抑制剂反应的重要生物标志物,因此研究 dMMR ECA 的临床病理特征和免疫微环境非常重要。我们评估了来自代表性组织微阵列切片的 617 例 ECA 病例,收集了临床病理信息,回顾了组织学特征,并进行了 MMR、程序性细胞死亡 1(PD-L1)和其他免疫标志物的免疫组织化学染色。在 617 例 ECA 样本中,有 20 例(3.2%)为 dMMR。其中,在 562 例人乳头瘤病毒相关(HPV)腺癌中有 17 例(3.0%)和 55 例非 HPV 相关(NHPV)腺癌中有 3 例(5.5%)观察到 MMR 相关蛋白表达缺失。在 NHPV 队列中,在 3 例(3/14,15.0%)透明细胞癌患者中观察到 dMMR 状态。dMMR ECA 具有更高的癌症家族史倾向、更大的肿瘤大小、p16 阴性、HPV E6/E7 mRNA 原位杂交(HPV E6/E7 RNAscope)阴性和较低的 ki-67 指数。在评估的形态学变量中,dMMR ECA 中容易识别出分化不良、坏死、间质肿瘤浸润淋巴细胞、肿瘤周围淋巴细胞和淋巴滤泡。此外,dMMR ECA 中 CD3+、CD8+、CD38+、CD68+和 PD-1+免疫细胞较多。在 dMMR ECA 中观察到相对较高的 PD-L1 表达率。dMMR ECA 更有可能表现为肿瘤浸润淋巴细胞高/PD-L1 阳性状态。总之,dMMR ECA 具有一些特定的形态学特征和对免疫微环境的重要影响,这可能为改善包括免疫治疗在内的 ECA 综合治疗的反应提供新的见解。

https://cdn.ncbi.nlm.nih.gov/pmc/blobs/730c/11448880/96047393db75/oyae192_fig1.jpg

文献AI研究员

20分钟写一篇综述,助力文献阅读效率提升50倍。

立即体验

用中文搜PubMed

大模型驱动的PubMed中文搜索引擎

马上搜索

文档翻译

学术文献翻译模型,支持多种主流文档格式。

立即体验