Suppr超能文献

环状 RNA hsa_circ_0036683 通过调控 miR-4664-3p/CDK2AP2 轴抑制非小细胞肺癌的增殖和迁移。

Novel circular RNA hsa_circ_0036683 suppresses proliferation and migration by mediating the miR-4664-3p/CDK2AP2 axis in non-small cell lung cancer.

机构信息

Department of Biochemistry and Molecular Biology, Binzhou Medical University, Yantai, China.

Yantai Affiliated Hospital of Binzhou Medical University, Yantai, China.

出版信息

Thorac Cancer. 2024 Sep;15(27):1929-1945. doi: 10.1111/1759-7714.15396. Epub 2024 Aug 7.

Abstract

BACKGROUND

The aim of the present study was to investigate the function of novel circular RNA hsa_circ_0036683 (circ-36683) in non-small cell lung cancer (NSCLC).

METHODS

RNA sequencing was used to screen out differentially expressed miRNAs. Expression levels of miR-4664-3p and circ-36683 were evaluated in lung carcinoma cells and tissues by quantitative reverse transcription-polymerase chain reaction (qRT-PCR). The effects of miR-4664-3p and circ-36683 on proliferation and migration were assessed using cell counting kit-8 (CCK-8), wound healing and transwell migration assays and xenograft experiments. The targeting relationship of circ-36683/miR-4664-3p/CDK2AP2 was assessed by luciferase reporter assays, western blot, qRT-PCR and argonaute2-RNA immunoprecipitation (AGO2 RIP). Co-immunoprecipitation (Co-IP), 5-ethynyl-2'-deoxyuridine (EdU) staining and CCK-8 were used to validate the indispensable role of CDK2AP2 in suppressing cell proliferation as a result of CDK2AP1 overexpression.

RESULTS

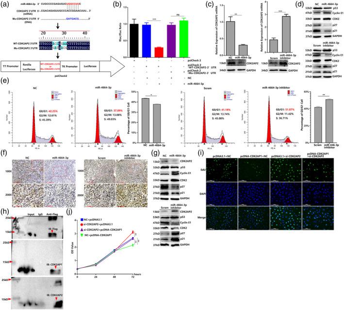
By RNA sequencing, miR-4664-3p was screened out as an abnormally elevated miRNA in NSCLC tissues. Transfection of miR-4664-3p could promote cell proliferation, migration and xenograft tumor growth. As a target of miR-4664-3p, CDK2AP2 expression was downregulated by miR-4664-3p transfection and CDK2AP2 overexpression could abolish the proliferation promotion resulting from miR-4664-3p elevation. Circ-36683, derived from back splicing of ABHD2 pre-mRNA, was attenuated in NSCLC tissue and identified as a sponge of miR-4664-3p. The functional study revealed that circ-36683 overexpression suppressed cell proliferation, migration and resulted in G0/G1 phase arrest. More importantly, the antioncogenic function of circ-36683 was largely dependent on the miR-4664-3p/CDK2AP2 axis, through which circ-36683 could upregulate the expression of p53/p21/p27 and downregulate the expression of CDK2/cyclin E1.

CONCLUSION

The present study revealed the antioncogenic role of circ-36683 in suppressing cell proliferation and migration and highlighted that targeting the circ-36683/miR-4664-3p/CDK2AP2 axis is a promising strategy for the intervention of NSCLC.

摘要

背景

本研究旨在探究新型环状 RNA hsa_circ_0036683(circ-36683)在非小细胞肺癌(NSCLC)中的作用。

方法

采用 RNA 测序筛选差异表达的 miRNAs。采用实时定量逆转录聚合酶链反应(qRT-PCR)检测肺癌细胞和组织中 miR-4664-3p 和 circ-36683 的表达水平。通过细胞计数试剂盒-8(CCK-8)、划痕愈合和 Transwell 迁移实验以及异种移植实验评估 miR-4664-3p 和 circ-36683 对增殖和迁移的影响。通过荧光素酶报告基因实验、Western blot、qRT-PCR 和 Argonaute2-RNA 免疫沉淀(AGO2 RIP)评估 circ-36683/miR-4664-3p/CDK2AP2 的靶向关系。采用 Co-immunoprecipitation(Co-IP)、5-乙炔基-2'-脱氧尿苷(EdU)染色和 CCK-8 验证 CDK2AP1 过表达抑制细胞增殖的不可或缺作用是由于 CDK2AP2 的抑制。

结果

通过 RNA 测序,筛选出 miR-4664-3p 作为 NSCLC 组织中异常上调的 miRNA。miR-4664-3p 的转染可促进细胞增殖、迁移和异种移植肿瘤生长。作为 miR-4664-3p 的靶标,CDK2AP2 的表达被 miR-4664-3p 转染下调,CDK2AP2 的过表达可消除 miR-4664-3p 升高导致的增殖促进作用。Circ-36683 来源于 ABHD2 前体 mRNA 的反向剪接,在 NSCLC 组织中减少,并被鉴定为 miR-4664-3p 的海绵。功能研究表明,circ-36683 过表达抑制细胞增殖、迁移并导致 G0/G1 期阻滞。更重要的是,circ-36683 的抑癌作用在很大程度上依赖于 miR-4664-3p/CDK2AP2 轴,通过该轴,circ-36683 可上调 p53/p21/p27 的表达并下调 CDK2/细胞周期蛋白 E1 的表达。

结论

本研究揭示了 circ-36683 在抑制细胞增殖和迁移中的抑癌作用,并强调靶向 circ-36683/miR-4664-3p/CDK2AP2 轴是 NSCLC 干预的一种有前途的策略。

https://cdn.ncbi.nlm.nih.gov/pmc/blobs/d81e/11462936/ef732bb54401/TCA-15-1929-g005.jpg

文献AI研究员

20分钟写一篇综述,助力文献阅读效率提升50倍。

立即体验

用中文搜PubMed

大模型驱动的PubMed中文搜索引擎

马上搜索

文档翻译

学术文献翻译模型,支持多种主流文档格式。

立即体验