Suppr超能文献

缺氧预处理的毛囊间充质干细胞来源的外泌体刺激通过抑制PI3K/AKT/mTOR信号通路促进线粒体自噬,从而减轻溃疡性结肠炎。

Stimulation by exosomes from hypoxia-preconditioned hair follicle mesenchymal stem cells facilitates mitophagy by inhibiting the PI3K/AKT/mTOR signaling pathway to alleviate ulcerative colitis.

作者信息

Li Ning, Zhao Lei, Geng Xinyu, Liu Jingyang, Zhang Xu, Hu Ying, Qi Jihan, Chen Hongliang, Qiu Jiawei, Zhang Xiaoyu, Jin Shizhu

机构信息

Department of Gastroenterology and Hepatology, The Second Affiliated Hospital of Harbin Medical University, Harbin 150086, China.

Department of Infectious Diseases, The Second Affiliated Hospital of Harbin Medical University, Harbin 150086, China.

出版信息

Theranostics. 2024 Jul 8;14(11):4278-4296. doi: 10.7150/thno.96038. eCollection 2024.

Abstract

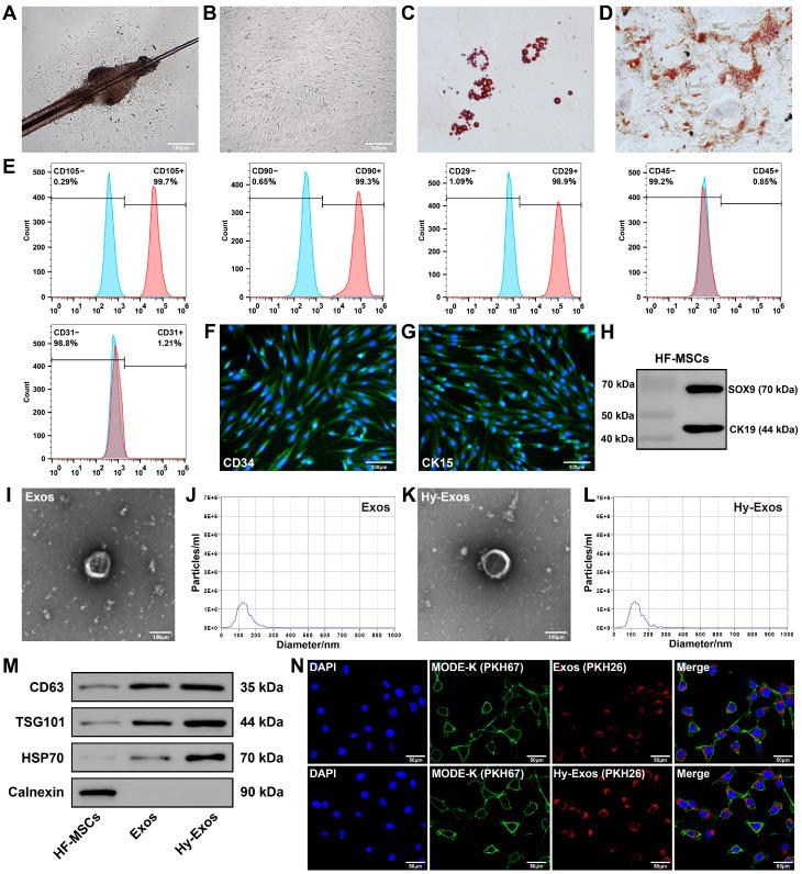
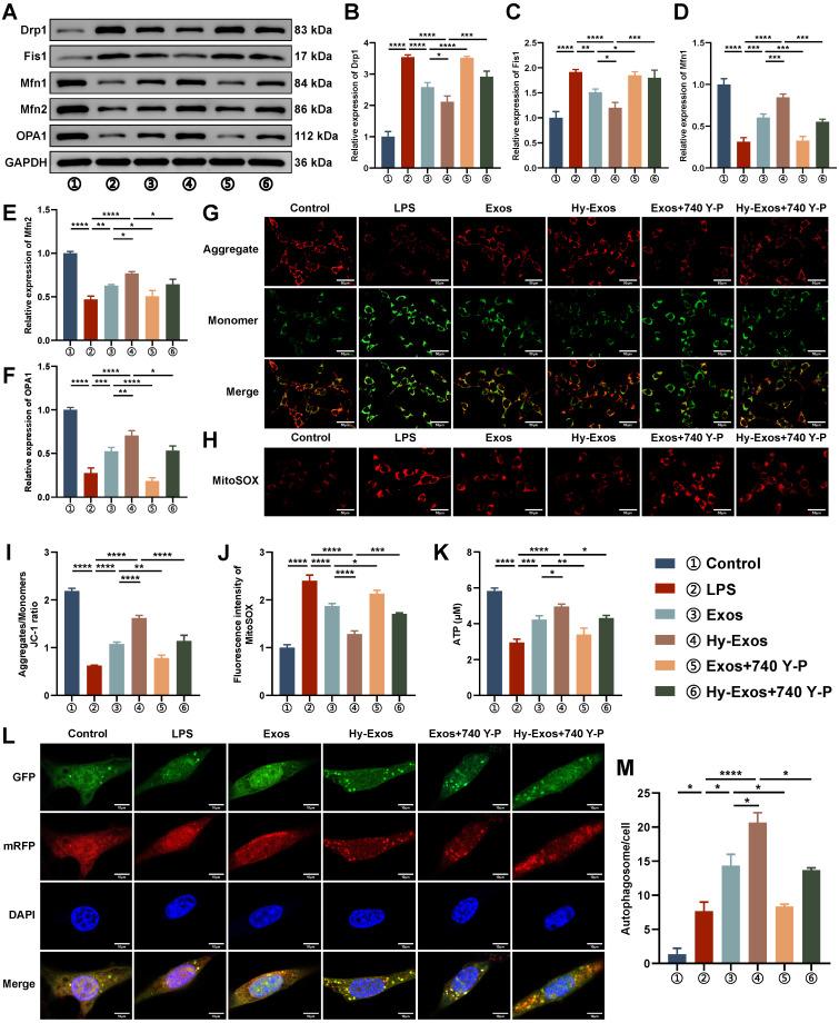
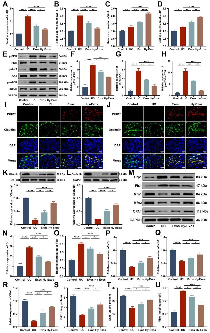
Ulcerative colitis (UC) is an intestinal inflammatory disease that is strongly associated with mitochondrial damage and dysfunction as well as mitophagy and lacks of satisfactory treatments. Hair follicle mesenchymal stem cell (HF-MSC)-derived exosomes owe benefit effectiveness on inflammatory therapies. Hypoxia-preconditioned HF-MSCs exhibit enhanced proliferation and migration abilities, and their exosomes exert stronger effects than normal exosomes. However, the therapeutic function of Hy-Exos in UC is unknown. The inflammation model was established with LPS-treated MODE-K cells, and the mouse UC model was established by dextran sulfate sodium (DSS) administration. The therapeutic effects of HF-MSC-derived exosomes (Exos) and hypoxia-preconditioned HF-MSC-derived exosomes (Hy-Exos) were compared and . Immunofluorescence staining and western blotting were used to explore the effects of Hy-Exos on mitochondrial function, mitochondrial fission and fusion and mitophagy. MiRNA sequencing analysis was applied to investigate the differences in components between Exos and Hy-Exos. Hy-Exos had a better therapeutic effect on LPS-treated MODE-K cells and DSS-induced UC mice. Hy-Exos promoted colonic tight junction proteins expression, suppressed the oxidative stress response, and reduced UC-related inflammatory injury. Hy-Exos may exert these effects via miR-214-3p-mediated inhibition of the PI3K/AKT/mTOR signaling pathway, maintenance of mitochondrial dynamic stability, alleviation of mitochondrial dysfunction and enhancement of mitophagy. This study revealed a vital role for Hy-Exos in suppressing inflammatory progression in UC and suggested that miR-214-3p is a potential critical target for Hy-Exos in alleviating UC.

摘要

溃疡性结肠炎(UC)是一种肠道炎症性疾病,与线粒体损伤、功能障碍以及线粒体自噬密切相关,且缺乏令人满意的治疗方法。毛囊间充质干细胞(HF-MSC)来源的外泌体在炎症治疗方面具有有益效果。缺氧预处理的HF-MSC表现出增强的增殖和迁移能力,其外泌体比正常外泌体发挥更强的作用。然而,缺氧预处理的外泌体(Hy-Exos)在UC中的治疗作用尚不清楚。用脂多糖处理的MODE-K细胞建立炎症模型,通过给予葡聚糖硫酸钠(DSS)建立小鼠UC模型。比较了HF-MSC来源的外泌体(Exos)和缺氧预处理的HF-MSC来源的外泌体(Hy-Exos)的治疗效果。采用免疫荧光染色和蛋白质免疫印迹法探讨Hy-Exos对线粒体功能、线粒体分裂与融合以及线粒体自噬的影响。应用miRNA测序分析研究Exos和Hy-Exos之间成分的差异。Hy-Exos对脂多糖处理的MODE-K细胞和DSS诱导的UC小鼠具有更好的治疗效果。Hy-Exos促进结肠紧密连接蛋白表达,抑制氧化应激反应,减轻UC相关的炎症损伤。Hy-Exos可能通过miR-214-3p介导的对PI3K/AKT/mTOR信号通路的抑制、维持线粒体动态稳定性、减轻线粒体功能障碍和增强线粒体自噬来发挥这些作用。本研究揭示了Hy-Exos在抑制UC炎症进展中的重要作用,并表明miR-214-3p是Hy-Exos缓解UC的潜在关键靶点。

https://cdn.ncbi.nlm.nih.gov/pmc/blobs/c6b4/11303078/232a3fe8fa3c/thnov14p4278g001.jpg

文献AI研究员

20分钟写一篇综述,助力文献阅读效率提升50倍。

立即体验

用中文搜PubMed

大模型驱动的PubMed中文搜索引擎

马上搜索

文档翻译

学术文献翻译模型,支持多种主流文档格式。

立即体验