Suppr超能文献

颗粒物暴露通过下调P2Y2受体/CFTR途径抑制跨上皮阴离子短路电流。

PM Exposure Inhibits Transepithelial Anion Short-circuit Current by Downregulating P2Y2 Receptor/CFTR Pathway.

作者信息

Liu Xiaolong, Li Zhangwen, Shan Jiajie, Wang Fang, Li Zhongpeng, Luo Shaohua, Wu Jian

机构信息

Second Department of Elderly Respiratory, Guangdong Provincial People's Hospital (Guangdong Academy of Medical Sciences), Southern Medical University, 510080, Guangzhou, China.

School of Medicine, South China University of Technology, Guangzhou, 510000, China.

出版信息

Int J Med Sci. 2024 Jul 22;21(10):1929-1944. doi: 10.7150/ijms.96777. eCollection 2024.

Abstract

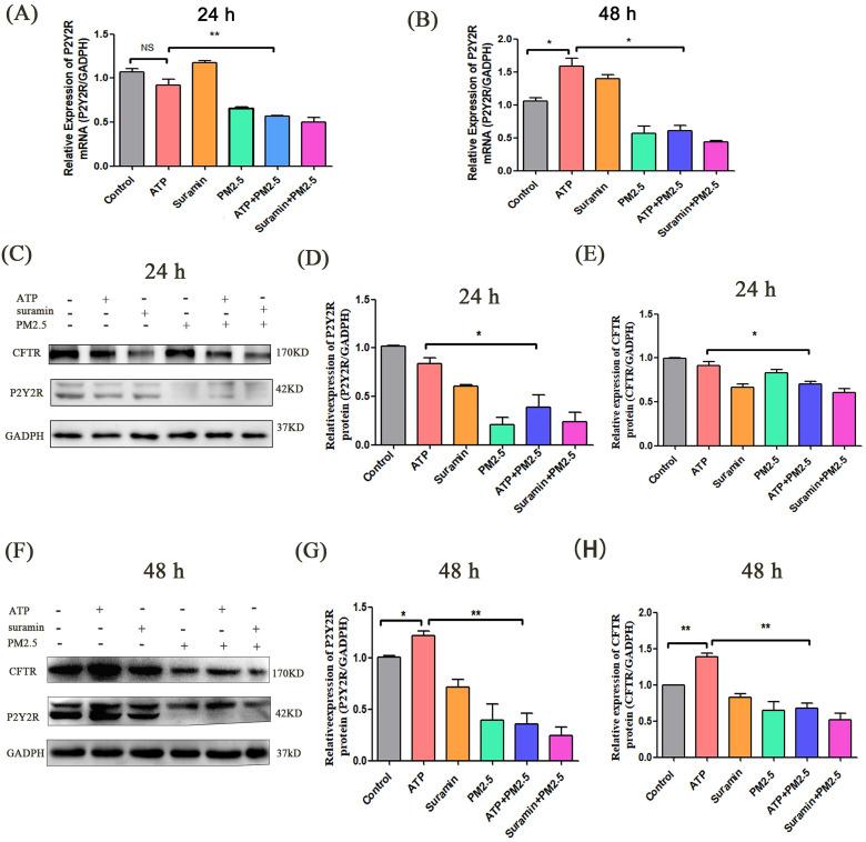
Fine particulate matter (PM) can damage airway epithelial barriers. The anion transport system plays a crucial role in airway epithelial barriers. However, the detrimental effect and mechanism of PM on the anion transport system are still unclear. In this study, airway epithelial cells and ovalbumin (OVA)-induced asthmatic mice were used. In transwell model, the adenosine triphosphate (ATP)-induced transepithelial anion short-circuit current (I) and airway surface liquid (ASL) significantly decreased after PM exposure. In addition, PM exposure decreased the expression levels of P2Y2R, CFTR and cytoplasmic free-calcium, but ATP can increase the expressions of these proteins. PM exposure increased the levels of Th2-related cytokines of bronchoalveolar lavage fluid, lung inflammation, collagen deposition and hyperplasisa of goblet cells. Interestingly, the administration of ATP showed an inhibitory effect on lung inflammation induced by PM. Together, our study reveals that PM impairs the ATP-induced transepithelial anion I through downregulating P2Y2R/CFTR pathway, and this process may participate in aggravating airway hyperresponsiveness and airway inflammation. These findings may provide important insights on PM-mediated airway epithelial injury.

摘要

细颗粒物(PM)可损害气道上皮屏障。阴离子转运系统在气道上皮屏障中起关键作用。然而,PM对阴离子转运系统的有害作用及其机制仍不清楚。在本研究中,使用了气道上皮细胞和卵清蛋白(OVA)诱导的哮喘小鼠。在Transwell模型中,暴露于PM后,三磷酸腺苷(ATP)诱导的跨上皮阴离子短路电流(I)和气道表面液体(ASL)显著降低。此外,暴露于PM会降低P2Y2R、囊性纤维化跨膜传导调节因子(CFTR)和细胞质游离钙的表达水平,但ATP可增加这些蛋白的表达。暴露于PM会增加支气管肺泡灌洗液中Th2相关细胞因子的水平、肺部炎症、胶原蛋白沉积和杯状细胞增生。有趣的是,给予ATP对PM诱导的肺部炎症有抑制作用。总之,我们的研究表明,PM通过下调P2Y2R/CFTR途径损害ATP诱导的跨上皮阴离子I,这一过程可能参与加重气道高反应性和气道炎症。这些发现可能为PM介导的气道上皮损伤提供重要见解。

https://cdn.ncbi.nlm.nih.gov/pmc/blobs/418d/11302563/768dc2e28b5f/ijmsv21p1929g001.jpg

文献AI研究员

20分钟写一篇综述,助力文献阅读效率提升50倍。

立即体验

用中文搜PubMed

大模型驱动的PubMed中文搜索引擎

马上搜索

文档翻译

学术文献翻译模型,支持多种主流文档格式。

立即体验