Suppr超能文献

亚精胺对于禁食介导的自噬和长寿是必不可少的。

Spermidine is essential for fasting-mediated autophagy and longevity.

机构信息

Institute of Molecular Biosciences, NAWI Graz, University of Graz, Graz, Austria.

Field of Excellence BioHealth, University of Graz, Graz, Austria.

出版信息

Nat Cell Biol. 2024 Sep;26(9):1571-1584. doi: 10.1038/s41556-024-01468-x. Epub 2024 Aug 8.

Abstract

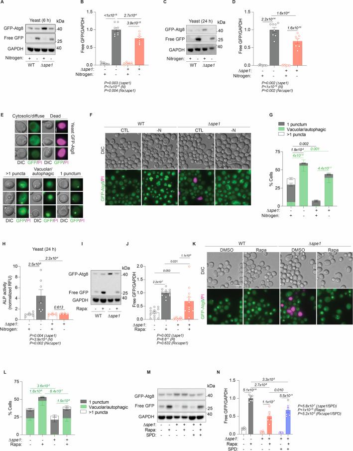
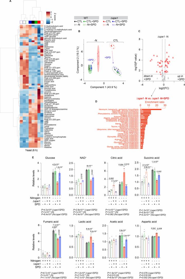
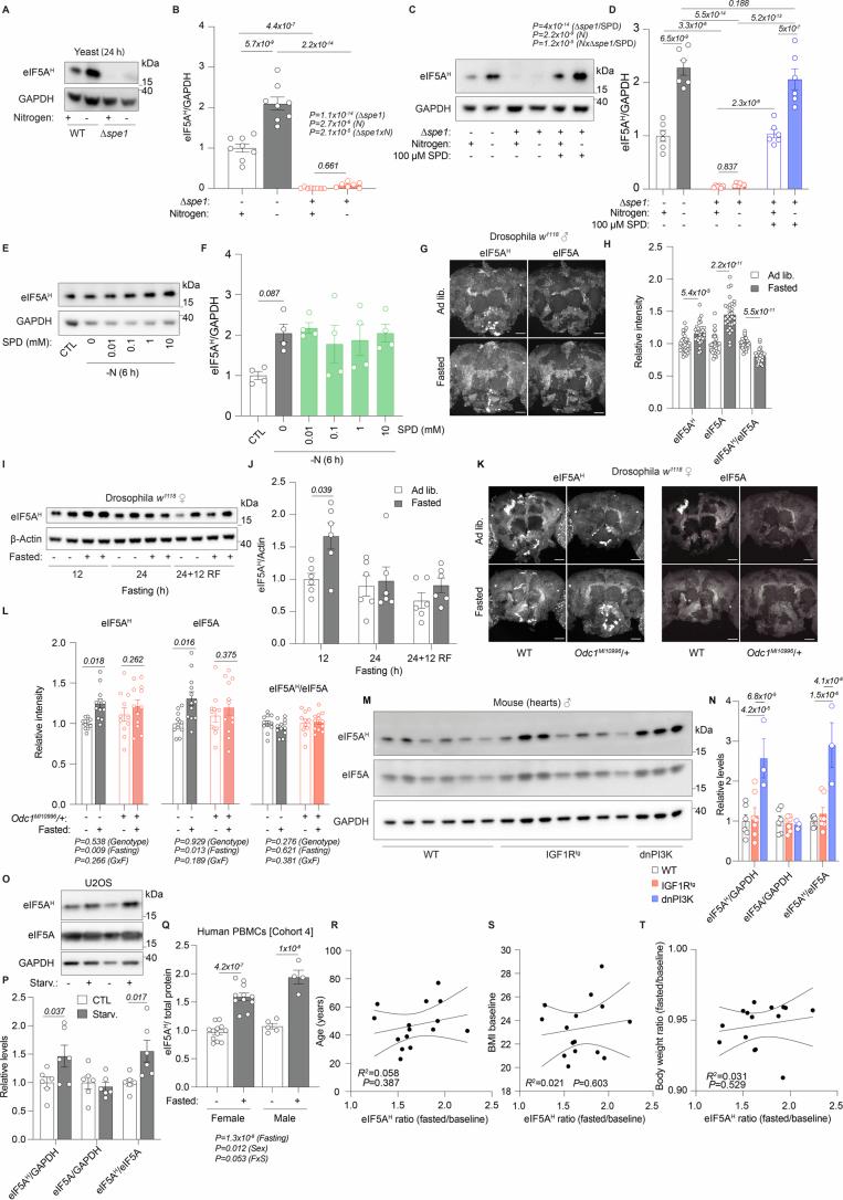
Caloric restriction and intermittent fasting prolong the lifespan and healthspan of model organisms and improve human health. The natural polyamine spermidine has been similarly linked to autophagy enhancement, geroprotection and reduced incidence of cardiovascular and neurodegenerative diseases across species borders. Here, we asked whether the cellular and physiological consequences of caloric restriction and fasting depend on polyamine metabolism. We report that spermidine levels increased upon distinct regimens of fasting or caloric restriction in yeast, flies, mice and human volunteers. Genetic or pharmacological blockade of endogenous spermidine synthesis reduced fasting-induced autophagy in yeast, nematodes and human cells. Furthermore, perturbing the polyamine pathway in vivo abrogated the lifespan- and healthspan-extending effects, as well as the cardioprotective and anti-arthritic consequences of fasting. Mechanistically, spermidine mediated these effects via autophagy induction and hypusination of the translation regulator eIF5A. In summary, the polyamine-hypusination axis emerges as a phylogenetically conserved metabolic control hub for fasting-mediated autophagy enhancement and longevity.

摘要

热量限制和间歇性禁食可以延长模型生物的寿命和健康寿命,并改善人类健康。天然多胺亚精胺同样与自噬增强、保护衰老和降低心血管和神经退行性疾病的发病率有关,跨越物种界限。在这里,我们想知道热量限制和禁食的细胞和生理后果是否取决于多胺代谢。我们报告说,在酵母、苍蝇、老鼠和人类志愿者中,禁食或热量限制的不同方案会增加亚精胺的水平。遗传或药理学阻断内源性亚精胺合成会减少酵母、线虫和人类细胞中禁食诱导的自噬。此外,体内干扰多胺途径会消除禁食的延长寿命和健康寿命的作用,以及对心脏的保护和抗关节炎的影响。从机制上讲,亚精胺通过自噬诱导和翻译调节因子 eIF5A 的 hypusination 来介导这些作用。总之,多胺-hypusination 轴作为一种进化保守的代谢控制枢纽,用于调节禁食诱导的自噬增强和长寿。

https://cdn.ncbi.nlm.nih.gov/pmc/blobs/2e93/11392816/b158510a83c5/41556_2024_1468_Fig1_HTML.jpg

文献AI研究员

20分钟写一篇综述,助力文献阅读效率提升50倍。

立即体验

用中文搜PubMed

大模型驱动的PubMed中文搜索引擎

马上搜索

文档翻译

学术文献翻译模型,支持多种主流文档格式。

立即体验