Suppr超能文献

微塑料对精神分裂症斑马鱼模型的神经影响如何?一项脑免疫组织化学、神经毒性评估和氧化应激分析。

Do Microplastics Have Neurological Implications in Relation to Schizophrenia Zebrafish Models? A Brain Immunohistochemistry, Neurotoxicity Assessment, and Oxidative Stress Analysis.

机构信息

Doctoral School of Geosciences, Faculty of Geography and Geology, "Alexandru Ioan Cuza" University of Iasi, Carol I Avenue, 20A, 700505 Iași, Romania.

Doctoral School of Biology, Faculty of Biology, "Alexandru Ioan Cuza" University of Iasi, Carol I Avenue, 20A, 700505 Iași, Romania.

出版信息

Int J Mol Sci. 2024 Jul 30;25(15):8331. doi: 10.3390/ijms25158331.

Abstract

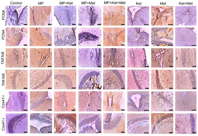
The effects of exposure to environmental pollutants on neurological processes are of increasing concern due to their potential to induce oxidative stress and neurotoxicity. Considering that many industries are currently using different types of plastics as raw materials, packaging, or distribution pipes, microplastics (MPs) have become one of the biggest threats to the environment and human health. These consequences have led to the need to raise the awareness regarding MPs negative neurological effects and implication in neuropsychiatric pathologies, such as schizophrenia. The study aims to use three zebrafish models of schizophrenia obtained by exposure to ketamine (Ket), methionine (Met), and their combination to investigate the effects of MP exposure on various nervous system structures and the possible interactions with oxidative stress. The results showed that MPs can interact with ketamine and methionine, increasing the severity and frequency of optic tectum lesions, while co-exposure (MP+Met+Ket) resulted in attenuated effects. Regarding oxidative status, we found that all exposure formulations led to oxidative stress, changes in antioxidant defense mechanisms, or compensatory responses to oxidative damage. Met exposure induced structural changes such as necrosis and edema, while paradoxically activating periventricular cell proliferation. Taken together, these findings highlight the complex interplay between environmental pollutants and neurotoxicants in modulating neurotoxicity.

摘要

由于环境污染物暴露对神经过程的潜在影响,包括诱导氧化应激和神经毒性,因此越来越受到关注。考虑到目前许多行业都在使用不同类型的塑料作为原材料、包装或分配管道,微塑料(MPs)已成为对环境和人类健康最大的威胁之一。这些后果导致人们需要提高对 MPs 对神经的负面影响以及对精神神经病理学(如精神分裂症)的影响的认识。本研究旨在使用三种通过暴露于氯胺酮(Ket)、蛋氨酸(Met)及其组合获得的精神分裂症斑马鱼模型,研究 MPs 暴露对各种神经系统结构的影响,以及与氧化应激的可能相互作用。结果表明,MPs 可以与氯胺酮和蛋氨酸相互作用,增加视顶盖损伤的严重程度和频率,而共同暴露(MP+Met+Ket)则导致作用减弱。关于氧化状态,我们发现所有暴露配方都导致氧化应激、抗氧化防御机制的变化或对氧化损伤的补偿反应。Met 暴露会引起结构变化,如坏死和水肿,同时反常地激活脑室周围细胞增殖。总之,这些发现强调了环境污染物和神经毒素之间在调节神经毒性方面的复杂相互作用。

https://cdn.ncbi.nlm.nih.gov/pmc/blobs/f994/11312823/815a12b3c357/ijms-25-08331-g001.jpg

文献AI研究员

20分钟写一篇综述,助力文献阅读效率提升50倍。

立即体验

用中文搜PubMed

大模型驱动的PubMed中文搜索引擎

马上搜索

文档翻译

学术文献翻译模型,支持多种主流文档格式。

立即体验