Suppr超能文献

瑞戈非尼通过抑制NF-κB、NFAT、ERK和p38信号通路减弱破骨细胞分化。

Regorafenib Attenuates Osteoclasts Differentiation by Inhibiting the NF-κB, NFAT, ERK, and p38 Signaling Pathways.

作者信息

Zhou Lin, Su Peiru, Luo Xiangya, Zhong Xuanli, Liu Qian, Su Yuangang, Zeng Chunping, Li Ge

机构信息

Department of Endocrinology, Key Laboratory of Biological Targeting Diagnosis, Therapy and Rehabilitation of Guangdong Higher Education Institutes, The Fifth Affiliated Hospital of Guangzhou Medical University, Guangzhou 510700, Guangdong, China.

Department of Endocrinology, The Affiliated Shunde Hospital of Jinan University, Foshan 528305, Guangdong, China.

出版信息

ACS Omega. 2024 Jul 23;9(31):33574-33593. doi: 10.1021/acsomega.4c01308. eCollection 2024 Aug 6.

Abstract

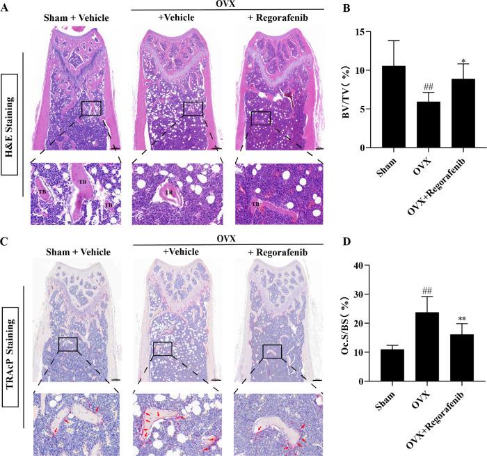
Osteolytic diseases such as osteoporosis and neoplastic bone metastases are caused by the excessive activation of osteoclasts. Inhibiting the excessive activation of osteoclasts is a crucial strategy for treating osteolytic diseases. This study investigated the roles and mechanisms of regorafenib, a tyrosine kinase inhibitor, on osteoclasts and osteolytic diseases. We first identified the potential targets and mechanisms of regorafenib on osteoclast-related osteolytic diseases using network pharmacological analysis and molecular docking techniques. Then, we verified its role and mechanism on osteoclasts via cellular and animal experiments. Network pharmacology analysis identified 89 common targets shared by regorafenib and osteoclast-related osteolytic diseases. Enrichment analysis suggested that regorafenib may act on osteoclast-related osteolytic diseases by modulating targets such as AKT1, CASP3, MMP9, and MAPK3, regulating biological processes such as cell proliferation, apoptosis, and phosphorylation regulation, and influencing signaling pathways such as MAPK, PI3K/AKT, and osteoclast differentiation. The molecular docking results indicated that regorafenib and AKT1, CASP3, MMP9, MAPK3, and MAPK14 were stably docked. Cell experiments demonstrated that regorafenib significantly inhibited osteoclast differentiation and bone resorption in RAW 264.7 cells and bone marrow macrophages in a dose-dependent manner, with up to 50% reduction at 800 nM concentration without exhibiting cytotoxic effects. Furthermore, Western blot and RT-qPCR results demonstrated that regorafenib inhibited osteoclast differentiation by blocking the transduction of RANKL-induced NF-κB, p38, ERK, and NFAT signaling pathways. In vivo studies using an ovariectomized mouse model showed that regorafenib significantly improved bone volume fraction (BV/TV), bone surface to total volume (BS/TV), and number of trabeculae (TB.N), as well as reduced trabecular separation (Tb.Sp) compared to the OVX groups ( < 0.05). TRAcP staining results revealed a reduction in the number of osteoclasts with regorafenib treatment ( < 0.01). These results indicate that regorafenib exerts its protective effects against osteoclast-related osteolytic disease by inhibiting the RANKL-induced NF-κB, NFAT, ERK, and p38 signaling pathways. This study proves that regorafenib may serve as a potential therapeutic agent for osteoclast-related osteolytic diseases.

摘要

骨质疏松症和肿瘤性骨转移等溶骨性疾病是由破骨细胞过度活化引起的。抑制破骨细胞的过度活化是治疗溶骨性疾病的关键策略。本研究调查了酪氨酸激酶抑制剂瑞戈非尼对破骨细胞和溶骨性疾病的作用及机制。我们首先使用网络药理学分析和分子对接技术确定了瑞戈非尼对破骨细胞相关溶骨性疾病的潜在靶点和机制。然后,我们通过细胞和动物实验验证了其对破骨细胞的作用及机制。网络药理学分析确定了瑞戈非尼和破骨细胞相关溶骨性疾病共有的89个常见靶点。富集分析表明,瑞戈非尼可能通过调节AKT1、CASP3、MMP9和MAPK3等靶点,调控细胞增殖、凋亡和磷酸化调节等生物学过程,并影响MAPK、PI3K/AKT和破骨细胞分化等信号通路,从而作用于破骨细胞相关溶骨性疾病。分子对接结果表明,瑞戈非尼与AKT1、CASP3、MMP9、MAPK3和MAPK14稳定对接。细胞实验表明,瑞戈非尼以剂量依赖性方式显著抑制RAW 264.7细胞和骨髓巨噬细胞中的破骨细胞分化和骨吸收,在800 nM浓度下减少高达50%,且未表现出细胞毒性作用。此外,蛋白质免疫印迹和逆转录定量聚合酶链反应结果表明,瑞戈非尼通过阻断RANKL诱导的NF-κB、p38、ERK和NFAT信号通路的转导来抑制破骨细胞分化。使用去卵巢小鼠模型的体内研究表明,与去卵巢组相比,瑞戈非尼显著改善了骨体积分数(BV/TV)、骨表面积与总体积(BS/TV)和小梁数量(TB.N),并减少了小梁间距(Tb.Sp)(P<0.05)。抗酒石酸酸性磷酸酶染色结果显示,瑞戈非尼治疗后破骨细胞数量减少(P<0.01)。这些结果表明,瑞戈非尼通过抑制RANKL诱导的NF-κB、NFAT、ERK和p-38信号通路,对破骨细胞相关溶骨性疾病发挥保护作用。本研究证明瑞戈非尼可能是一种治疗破骨细胞相关溶骨性疾病的潜在治疗药物。

https://cdn.ncbi.nlm.nih.gov/pmc/blobs/d9b0/11307286/adbab5d609d0/ao4c01308_0001.jpg

文献AI研究员

20分钟写一篇综述,助力文献阅读效率提升50倍。

立即体验

用中文搜PubMed

大模型驱动的PubMed中文搜索引擎

马上搜索

文档翻译

学术文献翻译模型,支持多种主流文档格式。

立即体验