Suppr超能文献

临床及支气管镜检查评估对原发性中央型肺肿瘤组织病理学类型的诊断价值

Clinical and Bronchoscopy Assessment in Diagnosing the Histopathology Type of Primary Central Lung Tumors.

作者信息

Elhidsi Mia, Zaini Jamal, Rachmadi Lisnawati, Asmarinah Asmarinah, Kekalih Aria, Soeroso Noni, Rasmin Menaldi

机构信息

Department of Pulmonology and Respiratory Medicine, Faculty of Medicine, Universitas Indonesia, Indonesia.

Department of Anatomic Pathology, Faculty of Medicine, Universitas Indonesia, Indonesia.

出版信息

Open Respir Med J. 2024 Jun 6;18:e18743064318977. doi: 10.2174/0118743064318977240531100045. eCollection 2024.

Abstract

BACKGROUND

The location and type of a tumor influence the prognosis of lung cancer. Primary Central Lung Tumors (PCLTs) are correlated with poor prognoses and certain histologic types. This study aimed to present a comprehensive exploration of clinical and bronchoscopic assessments for diagnosing the histopathology types of PCLTs and identified the factors associated with certain histologic types.

METHODS

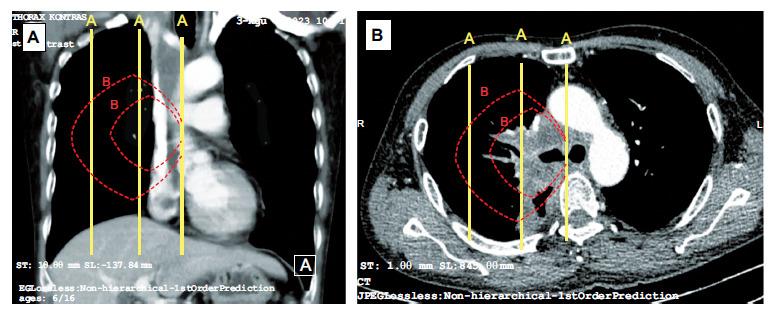
This was an observational cross-sectional study of PCLTs, defined as tumors in direct contact with hilar structures or located within the inner two-thirds of the hemithorax. We gathered demographic and clinical data, as well as data on bronchoscopy assessment and histopathology type. Tumor stage, symptoms of superior vena cava syndrome, and enlargement of lymph nodes in the paratracheal and subcarinal regions were also documented.

RESULTS

Of the 895 patients, 37.87% had primary lung tumors, with 17.76% classified as PCLTs. Notably, PCLT cases exhibited a higher proportion of stage III (28.9% . 18.3%; = 0.03) and Squamous Cell Carcinoma (SCC) histopathology (37.1% . 17.2%; = 0.00) compared with non-PCLT cases. Bronchoscopic findings in PCLTs revealed a predilection for central airway masses (25.2%) and compressive distal airway stenosis (25.2%). Subgroup analysis of 159 PCLT cases identified 37.10% as SCC. Multivariate analysis underscored that intraluminal masses predict central SCC (odds ratio 2.075, 95% confidence interval 1.07-3.99; = 0.028).

CONCLUSION

The proportion of stage III, SCC histopathological type, and intraluminal lesions was higher in patients with PCLT than in non-PCLT cases. The presence of intraluminal lesions can predict the histopathological type of SCC in patients with PCLTs.

摘要

背景

肿瘤的位置和类型会影响肺癌的预后。原发性中央型肺癌(PCLTs)与预后不良及某些组织学类型相关。本研究旨在全面探讨用于诊断PCLTs组织病理学类型的临床和支气管镜评估,并确定与某些组织学类型相关的因素。

方法

这是一项对PCLTs的观察性横断面研究,PCLTs定义为与肺门结构直接接触或位于半侧胸腔内三分之二区域的肿瘤。我们收集了人口统计学和临床数据,以及支气管镜评估和组织病理学类型的数据。还记录了肿瘤分期、上腔静脉综合征症状以及气管旁和隆突下区域淋巴结肿大情况。

结果

在895例患者中,37.87%患有原发性肺癌,其中17.76%被归类为PCLTs。值得注意的是,与非PCLTs病例相比,PCLTs病例中III期(28.9%对18.3%;P = 0.03)和鳞状细胞癌(SCC)组织病理学类型(37.1%对17.2%;P = 0.00)的比例更高。PCLTs的支气管镜检查结果显示,中央气道肿物(25.2%)和远端气道受压狭窄(25.2%)较为常见。对159例PCLTs病例的亚组分析发现,37.10%为SCC。多因素分析强调,腔内肿物可预测中央型SCC(优势比2.075,95%置信区间1.07 - 3.99;P = 0.028)。

结论

PCLTs患者中III期、SCC组织病理学类型和腔内病变的比例高于非PCLTs病例。腔内病变的存在可预测PCLTs患者的SCC组织病理学类型。

https://cdn.ncbi.nlm.nih.gov/pmc/blobs/0660/11311725/8899f34b5b1c/TORMJ-18-E18743064318977_F1.jpg

文献AI研究员

20分钟写一篇综述,助力文献阅读效率提升50倍。

立即体验

用中文搜PubMed

大模型驱动的PubMed中文搜索引擎

马上搜索

文档翻译

学术文献翻译模型,支持多种主流文档格式。

立即体验