Suppr超能文献

应用尿超声预测自发性输尿管结石排出的风险:一项回顾性队列研究。

Applying urinary ultrasound to predict the risk of spontaneous ureteral stone passage: a retrospective cohort study.

机构信息

Department of Ultrasound, The First Affiliated Hospital of Zhengzhou University, Zhengzhou, China.

Department of Cardiology, The First Affiliated Hospital of Zhengzhou University, Street Name & Number: No. 1, Jianshe East Road, Erqi District, Zhengzhou, Henan, 450000, China.

出版信息

BMC Urol. 2024 Aug 12;24(1):171. doi: 10.1186/s12894-024-01558-w.

Abstract

BACKGROUND

To assess the value of urological ultrasound in predicting the risk of spontaneous passage of ureteral stones.

METHODS

Clinical and ultrasound data were collected consecutively from patients receiving conservative treatment for ureteral stones, and the outcome of spontaneous passage was followed up for 1 month. Ultrasound variables independently associated with the risk of spontaneous stone passage were screened. A logistic regression prediction model was constructed based on the independent risk factors, and the discriminative efficacy and clinical utility of the prediction model in inferring the risk of spontaneous passing were assessed by the receiver operating characteristic (ROC) curve, calibration curve and clinical decision curve.

RESULTS

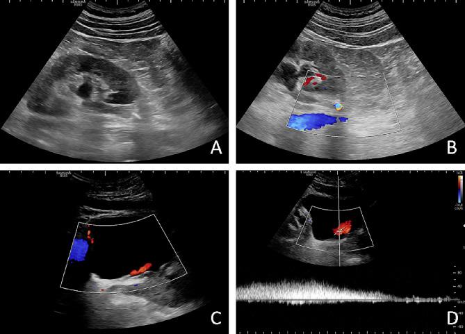
A total of 163 patients undergoing conservative treatment for ureteral stones were included in the study, with a mean age of 45.95 ± 13.01 years. Among them, 47 cases (28.83%) experienced failure of spontaneous stone passage. Multivariable analysis revealed that stone length (OR: 2.622, P = 0.027), distal stone location (OR: 0.219, P = 0.003), and ureteral jetting frequency (OR: 6.541, P < 0.001) were independent risk factors for spontaneous stone passage. A prediction model incorporating stone length, stone location, and affected ureteral jetting frequency was developed to assess the risk of spontaneous stone passage. The area under the ROC curve was 0.814 (95% CI: 0.747-0.882), indicating good discriminatory power. The prediction model also demonstrated favorable net clinical benefit.

CONCLUSION

A prediction model based on ultrasound-derived stone length, location, and ureteral jetting frequency can accurately evaluate the risk of spontaneous stone passage in patients with ureteral stones, providing a basis for optimizing the clinical decision-making on ureteral stones, and has reliable clinical application value.

摘要

背景

评估泌尿科超声在预测输尿管结石自行排出风险中的价值。

方法

连续收集接受保守治疗的输尿管结石患者的临床和超声数据,并对自行排石的结局进行 1 个月的随访。筛选与自行排石风险相关的独立超声变量。基于独立风险因素构建逻辑回归预测模型,并通过接受者操作特征(ROC)曲线、校准曲线和临床决策曲线评估预测模型推断自行排石风险的判别效能和临床实用性。

结果

共纳入 163 例接受保守治疗的输尿管结石患者,平均年龄为 45.95±13.01 岁。其中 47 例(28.83%)发生自行排石失败。多变量分析显示,结石长度(OR:2.622,P=0.027)、结石下段位置(OR:0.219,P=0.003)和输尿管喷流频率(OR:6.541,P<0.001)是自行排石的独立危险因素。建立了一个包含结石长度、结石位置和受累输尿管喷流频率的预测模型,以评估自行排石的风险。ROC 曲线下面积为 0.814(95%CI:0.747-0.882),表明具有良好的判别能力。该预测模型还显示出良好的净临床获益。

结论

基于超声测量的结石长度、位置和输尿管喷流频率的预测模型可以准确评估输尿管结石患者自行排石的风险,为优化输尿管结石的临床决策提供依据,具有可靠的临床应用价值。

https://cdn.ncbi.nlm.nih.gov/pmc/blobs/293a/11318165/2b49bf861e9a/12894_2024_1558_Fig1_HTML.jpg

文献AI研究员

20分钟写一篇综述,助力文献阅读效率提升50倍。

立即体验

用中文搜PubMed

大模型驱动的PubMed中文搜索引擎

马上搜索

文档翻译

学术文献翻译模型,支持多种主流文档格式。

立即体验