Suppr超能文献

刚地弓形虫棒状体分泌蛋白 3 对入侵和微管相关囊泡生物发生是必需的。

Toxoplasma gondii rhoptry discharge factor 3 is essential for invasion and microtubule-associated vesicle biogenesis.

机构信息

Department of Microbiology and Molecular Medicine, Faculty of Medicine, University of Geneva, Geneva, Switzerland.

Department of Biochemistry and Biophysics, Perelman School of Medicine, University of Pennsylvania, Philadelphia, Pennsylvania, United States of America.

出版信息

PLoS Biol. 2024 Aug 13;22(8):e3002745. doi: 10.1371/journal.pbio.3002745. eCollection 2024 Aug.

Abstract

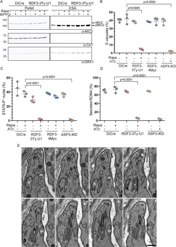
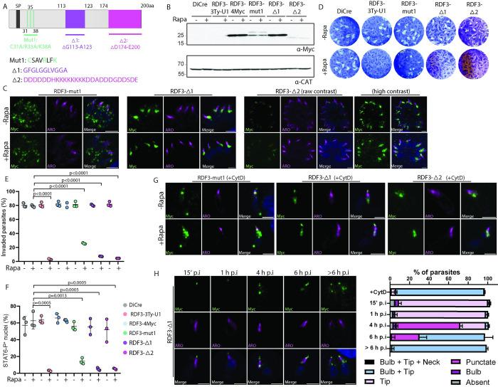
Rhoptries are specialized secretory organelles conserved across the Apicomplexa phylum, essential for host cell invasion and critical for subverting of host cellular and immune functions. They contain proteins and membranous materials injected directly into the host cells, participating in parasitophorous vacuole formation. Toxoplasma gondii tachyzoites harbor 8 to 12 rhoptries, 2 of which are docked to an apical vesicle (AV), a central element associated with a rhoptry secretory apparatus prior to injection into the host cell. This parasite is also equipped with 5 to 6 microtubule-associated vesicles, presumably serving as AV replenishment for iterative rhoptry discharge. Here, we characterized a rhoptry protein, rhoptry discharge factor 3 (RDF3), crucial for rhoptry discharge and invasion. RDF3 enters the secretory pathway, localizing near the AV and associated with the rhoptry bulb. Upon invasion, RDF3 dynamically delocalizes, suggesting a critical role at the time of rhoptry discharge. Cryo-electron tomography analysis of RDF3-depleted parasites reveals irregularity in microtubule-associated vesicles morphology, presumably impacting on their preparedness to function as an AV. Our findings suggest that RDF3 is priming the microtubule-associated vesicles for rhoptry discharge by a mechanism distinct from the rhoptry secretory apparatus contribution.

摘要

顶质体是锥体虫门中保守的特化分泌细胞器,对于宿主细胞的入侵至关重要,并且对于颠覆宿主细胞和免疫功能也至关重要。它们包含直接注入宿主细胞的蛋白质和膜材料,参与寄生泡的形成。刚地弓形虫速殖子含有 8 到 12 个顶质体,其中 2 个与一个顶端囊泡 (AV) 对接,AV 是与顶质体分泌装置相关的中心元件,在注入宿主细胞之前。这种寄生虫还配备了 5 到 6 个微管相关囊泡,可能作为 AV 的补充,用于迭代的顶质体排出。在这里,我们对顶质体蛋白顶质体排出因子 3 (RDF3) 进行了表征,它对顶质体的排出和入侵至关重要。RDF3 进入分泌途径,定位于 AV 附近,并与顶质体球相关联。在入侵时,RDF3 动态去定位,表明在顶质体排出时具有关键作用。RDF3 耗尽的寄生虫的冷冻电子断层扫描分析显示微管相关囊泡形态不规则,可能会影响它们作为 AV 的功能准备。我们的研究结果表明,RDF3 通过一种与顶质体分泌装置贡献不同的机制为微管相关囊泡的顶质体排出做好准备。

https://cdn.ncbi.nlm.nih.gov/pmc/blobs/9d8a/11343613/8a82568dfa58/pbio.3002745.g001.jpg

文献AI研究员

20分钟写一篇综述,助力文献阅读效率提升50倍。

立即体验

用中文搜PubMed

大模型驱动的PubMed中文搜索引擎

马上搜索

文档翻译

学术文献翻译模型,支持多种主流文档格式。

立即体验