Suppr超能文献

SARS-CoV-2 奥密克戎亚变种逐渐适应宿主细胞进入机制改变的人类细胞。

SARS-CoV-2 Omicron subvariants progressively adapt to human cells with altered host cell entry.

机构信息

Department of Emerging Infectious Diseases, Institute of Tropical Medicine (NEKKEN), Nagasaki University, Nagasaki, Japan.

Department of Emerging Infectious Diseases, National Research Center for the Control and Prevention of Infectious Diseases (CCPID), Nagasaki University, Nagasaki, Japan.

出版信息

mSphere. 2024 Sep 25;9(9):e0033824. doi: 10.1128/msphere.00338-24. Epub 2024 Aug 27.

Abstract

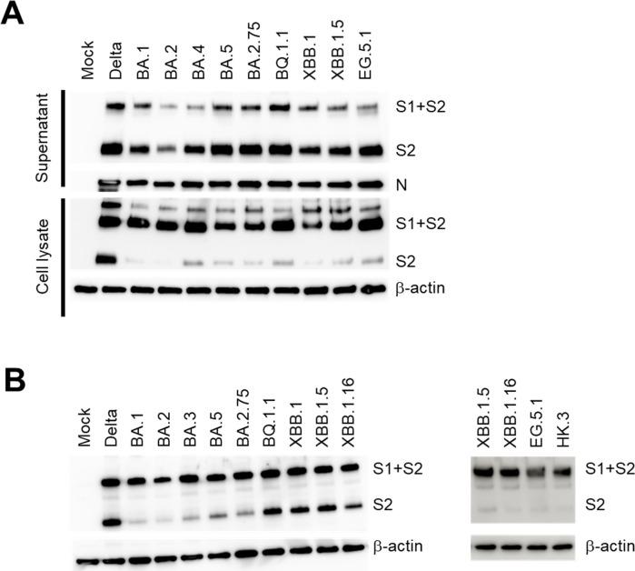
The severe acute respiratory syndrome coronavirus 2 (SARS-CoV-2) Omicron variant exhibits high transmissibility with a strong immune escape ability and causes frequent large-scale global infections by producing predominant subvariants. Here, using human upper/lower airway and intestinal cells, we examined the previously dominant BA.1-BA.5 and BA.2.75 subvariants, together with the recently emerged XBB/BQ lineages, in comparison to the former Delta variant. We observed a tendency for each virus to demonstrate higher growth capability than the previously dominant subvariants. Unlike human bronchial and intestinal cells, nasal epithelial cells accommodated the efficient entry of certain Omicron subvariants, similar to the Delta variant. In contrast to the Delta's reliance on cell-surface transmembrane protease serine 2, all tested Omicron variants depended on endosomal cathepsin L. Moreover, S1/S2 cleavage of early Omicron spikes was less efficient, whereas recent viruses exhibit improved cleavage efficacy. Our results show that the Omicron variant progressively adapts to human cells through continuous endosome-mediated host cell entry.IMPORTANCESARS-CoV-2, the causative agent of coronavirus disease 2019, has evolved into a number of variants/subvariants, which have generated multiple global waves of infection. In order to monitor/predict virological features of emerging variants and determine appropriate strategies for anti-viral development, understanding conserved or altered features of evolving SARS-CoV-2 is important. In this study, we addressed previously or recently predominant Omicron subvariants and demonstrated the gradual adaptation to human cells. The host cell entry route, which was altered from the former Delta variant, was conserved among all tested Omicron subvariants. Collectively, this study revealed both changing and maintained features of SARS-CoV-2 during the Omicron variant evolution.

摘要

严重急性呼吸综合征冠状病毒 2(SARS-CoV-2)的奥密克戎变体具有很强的传染性和免疫逃逸能力,通过产生主要的亚变体频繁引起全球大规模感染。在这里,我们使用人上/下呼吸道和肠道细胞,与之前的德尔塔变体相比,研究了之前占主导地位的 BA.1-BA.5 和 BA.2.75 亚变体,以及最近出现的 XBB/BQ 谱系。我们观察到每种病毒的生长能力都有比之前占主导地位的亚变体更高的趋势。与人类支气管和肠道细胞不同,鼻上皮细胞允许某些奥密克戎亚变体的有效进入,类似于德尔塔变体。与德尔塔依赖细胞表面跨膜丝氨酸蛋白酶 2 不同,所有测试的奥密克戎变体都依赖内体组织蛋白酶 L。此外,早期奥密克戎刺突的 S1/S2 裂解效率较低,而最近的病毒则表现出更好的裂解效率。我们的结果表明,奥密克戎变体通过持续的内体介导的宿主细胞进入逐渐适应人类细胞。

重要提示

导致 2019 年冠状病毒病的严重急性呼吸综合征冠状病毒 2 已进化成多种变体/亚变体,这些变体引发了多波全球感染。为了监测/预测新兴变体的病毒学特征并确定抗病毒发展的适当策略,了解不断进化的 SARS-CoV-2 的保守或改变特征很重要。在这项研究中,我们研究了之前或最近占主导地位的奥密克戎亚变体,并证明了它们逐渐适应人类细胞。宿主细胞进入途径与之前的德尔塔变体不同,但在所有测试的奥密克戎亚变体中都得到了保留。总的来说,这项研究揭示了 SARS-CoV-2 在奥密克戎变体进化过程中不断变化和保持的特征。

https://cdn.ncbi.nlm.nih.gov/pmc/blobs/3360/11423564/e88287ceaa32/msphere.00338-24.f001.jpg

文献AI研究员

20分钟写一篇综述,助力文献阅读效率提升50倍。

立即体验

用中文搜PubMed

大模型驱动的PubMed中文搜索引擎

马上搜索

文档翻译

学术文献翻译模型,支持多种主流文档格式。

立即体验