Suppr超能文献

皮肤 Telocytes 可能为富血小板血浆治疗中伤口愈合的细胞机制提供基础。

Skin Telocytes Could Fundament the Cellular Mechanisms of Wound Healing in Platelet-Rich Plasma Administration.

机构信息

Department of Cellular and Molecular Biology and Histology, "Carol Davila" University of Medicine and Pharmacy, 020021 Bucharest, Romania.

Ultrastructural Pathology Laboratory, "Victor Babeș" National Institute of Pathology, 050096 Bucharest, Romania.

出版信息

Cells. 2024 Aug 8;13(16):1321. doi: 10.3390/cells13161321.

Abstract

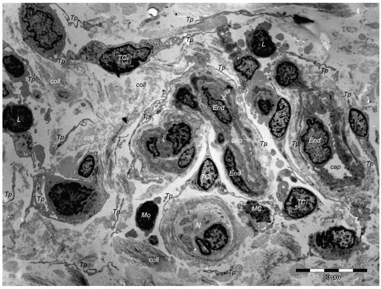
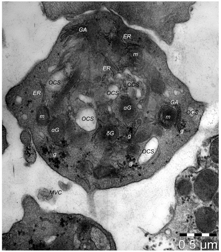
For more than 40 years, autologous platelet concentrates have been used in clinical medicine. Since the first formula used, namely platelet-rich plasma (PRP), other platelet concentrates have been experimented with, including platelet-rich fibrin and concentrated growth factor. Platelet concentrates have three standard characteristics: they act as scaffolds, they serve as a source of growth factors and cytokines, and they contain live cells. PRP has become extensively used in regenerative medicine for the successful treatment of a variety of clinical (non-)dermatological conditions like alopecies, acne scars, skin burns, skin ulcers, muscle, cartilage, and bone repair, and as an adjuvant in post-surgery wound healing, with obvious benefits in terms of functionality and aesthetic recovery of affected tissues/organs. These indications were well documented, and a large amount of evidence has already been published supporting the efficacy of this method. The primordial principle behind minimally invasive PRP treatments is the usage of the patient's own platelets. The benefits of the autologous transplantation of thrombocytes are significant, representing a fast and economic method that requires only basic equipment and training, and it is biocompatible, thus being a low risk for the patient (infection and immunological reactions can be virtually disregarded). Usually, the structural benefits of applying PRP are attributed to fibroblasts only, as they are considered the most numerous cell population within the interstitium. However, this apparent simplistic explanation is still eluding those different types of interstitial cells (distinct from fibroblasts) that are residing within stromal tissue, e.g., telocytes (TCs). Moreover, dermal TCs have an already documented potential in angiogenesis (extra-cutaneous, but also within skin), and their implication in skin recovery in a few dermatological conditions was attested and described ultrastructurally and immunophenotypically. Interestingly, PRP biochemically consists of a series of growth factors, cytokines, and other molecules, to which TCs have also proven to have a positive expression. Thus, it is attractive to hypothesize and to document any tissular collaboration between cutaneous administered PRP and local dermal TCs in skin recovery/repair/regeneration. Therefore, TCs could be perceived as the missing link necessary to provide a solid explanation of the good results achieved by administering PRP in skin-repairing processes.

摘要

四十多年来,自体血小板浓缩物一直被应用于临床医学。自最初使用的富血小板血浆(PRP)以来,已经尝试了其他血小板浓缩物,包括富含血小板纤维蛋白和浓缩生长因子。血小板浓缩物具有三个标准特征:它们作为支架发挥作用,是生长因子和细胞因子的来源,并且含有活细胞。PRP 已广泛应用于再生医学,成功治疗了多种临床(非)皮肤科疾病,如脱发、痤疮疤痕、皮肤烧伤、皮肤溃疡、肌肉、软骨和骨骼修复,以及作为术后伤口愈合的辅助手段,在受影响组织/器官的功能和美学恢复方面具有明显的益处。这些适应症有充分的文献记载,并且已经发表了大量证据支持这种方法的疗效。微创 PRP 治疗的基本原理是使用患者自身的血小板。血小板自体移植的益处非常显著,代表了一种快速且经济的方法,只需要基本的设备和培训,而且具有生物相容性,因此对患者的风险较低(感染和免疫反应几乎可以忽略不计)。通常,应用 PRP 的结构益处归因于成纤维细胞,因为它们被认为是间质中数量最多的细胞群体。然而,这种看似简单的解释仍然难以解释那些存在于间质组织中的不同类型的间质细胞(与成纤维细胞不同),例如,间质细胞(TCs)。此外,真皮 TCs 已经在血管生成(皮肤外,也在皮肤内)方面具有已记录的潜力,并且它们在几种皮肤病况下的皮肤恢复中的作用已经通过超微结构和免疫表型得到证实和描述。有趣的是,PRP 在生化上由一系列生长因子、细胞因子和其他分子组成,TCs 对这些分子也表现出阳性表达。因此,假设并记录在皮肤修复/修复/再生过程中,经皮给予的 PRP 与局部真皮 TCs 之间的任何组织协作是很有吸引力的。因此,TCs 可以被视为提供在皮肤修复过程中给予 PRP 可获得良好效果的合理解释所必需的缺失环节。

https://cdn.ncbi.nlm.nih.gov/pmc/blobs/3641/11353115/ced2e7bab6b4/cells-13-01321-g001.jpg

文献AI研究员

20分钟写一篇综述,助力文献阅读效率提升50倍。

立即体验

用中文搜PubMed

大模型驱动的PubMed中文搜索引擎

马上搜索

文档翻译

学术文献翻译模型,支持多种主流文档格式。

立即体验