Suppr超能文献

低浓度聚乳酸微塑料和铬单独及联合暴露对海洋青鳉幼鱼的应激效应()

Stressful Effects of Individual and Combined Exposure to Low-Concentration Polylactic Acid Microplastics and Chromium on Marine Medaka Larvae ().

作者信息

Yin Yuan, Ma Yini, Li Qiang, Chen Nan, Wen Shaobai

机构信息

NHC Key Laboratory of Tropical Disease Control, School of Tropical Medicine, Hainan Medical University, Haikou 571199, China.

School of Environmental Science and Engineering, Hainan University, Haikou 570228, China.

出版信息

Toxics. 2024 Aug 16;12(8):594. doi: 10.3390/toxics12080594.

Abstract

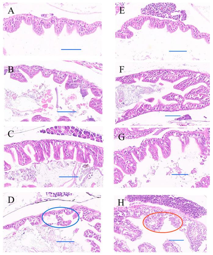
Microplastics and heavy metal pollution frequently co-occur in the marine environment, raising concerns about their potentially harmful impacts on marine fish. This study undertook a comprehensive evaluation of the individual and combined stress effects of polylactide microplastics (PLA-MPs) and chromium (Cr) on marine medaka larvae. Following a 14-day exposure to PLA-MPs (100 μg/L) and Cr (50 μg/L), both individually and in combination, significant increases in heart rate and body length were observed. Notably, the combined exposure to PLA-MPs and Cr caused marked histopathological alterations, including shedding, atrophy, and lysis of the intestinal tissues. Furthermore, both individual and combined exposure induced oxidative stress in fish larvae, leading to changes in various enzyme activity indices. Individual exposure to either PLA-MPs or Cr led to anxious behavior in the larvae, whereas combined exposure not only caused anxious behavior but also altered swimming patterns. These findings suggest that combined exposure to PLA-MPs and Cr can exacerbate the toxic effects on marine medaka larvae.

摘要

微塑料和重金属污染在海洋环境中经常同时出现,这引发了人们对它们可能对海洋鱼类产生有害影响的担忧。本研究对聚乳酸微塑料(PLA-MPs)和铬(Cr)对海洋青鳉幼鱼的单独和联合应激效应进行了全面评估。在分别或联合暴露于PLA-MPs(100μg/L)和Cr(50μg/L)14天后,观察到心率和体长显著增加。值得注意的是,PLA-MPs和Cr的联合暴露导致了明显的组织病理学改变,包括肠道组织的脱落、萎缩和溶解。此外,单独和联合暴露均诱导了幼鱼的氧化应激,导致各种酶活性指标发生变化。单独暴露于PLA-MPs或Cr会导致幼鱼出现焦虑行为,而联合暴露不仅会导致焦虑行为,还会改变游泳模式。这些发现表明,PLA-MPs和Cr的联合暴露会加剧对海洋青鳉幼鱼的毒性作用。

https://cdn.ncbi.nlm.nih.gov/pmc/blobs/a5fa/11359823/252786445621/toxics-12-00594-g001.jpg

文献AI研究员

20分钟写一篇综述,助力文献阅读效率提升50倍。

立即体验

用中文搜PubMed

大模型驱动的PubMed中文搜索引擎

马上搜索

文档翻译

学术文献翻译模型,支持多种主流文档格式。

立即体验