Suppr超能文献

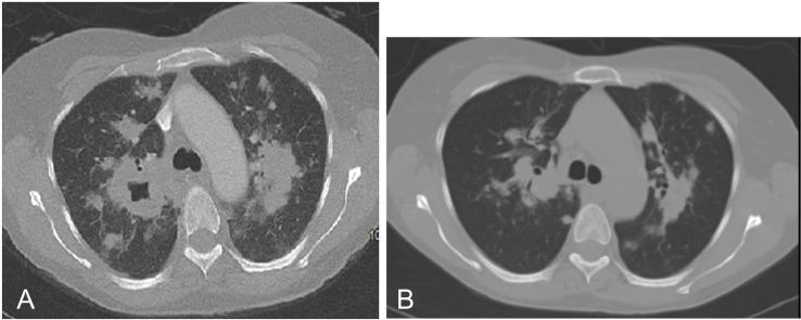
骨髓纤维化患者服用芦可替尼后肺部空洞性病变。

Cavitary lung lesions caused by in a patient with myelofibrosis on ruxolitinib.

机构信息

Kent Hospital Internal Medicine, Brown University, Warwick, Rhode Island, USA

Kent Hospital Internal Medicine, Brown University, Warwick, Rhode Island, USA.

出版信息

BMJ Case Rep. 2024 Aug 30;17(8):e258468. doi: 10.1136/bcr-2023-258468.

Abstract

We report a rare case of a patient with Janus kinase 2-positive myelofibrosis on ruxolitinib, presenting with indolent pneumonia and cavitary lung lesions. Initial transthoracic biopsy was non-specific, but thoracoscopic biopsy revealed necrotising granulomatous disease caused by pneumonia (PJP). The patient, initially treated with trimethoprim-sulfamethoxazole, was switched to atovaquone due to gastrointestinal intolerance. Given the patient's immunosuppression and extensive cavitary lesions, an extended course of atovaquone was administered, guided by serial imaging, resulting in clinical and radiological improvement. Unfortunately, the patient later passed away from a severe SARS-CoV-2 infection before complete radiographic resolution was observed. This case highlights the importance of recognising atypical PJP presentations causing granulomatous disease in immunosuppressed patients. While rare, documenting such cases may improve diagnosis using less invasive methods and help determine optimal treatment durations for resolution of these atypical infections.

摘要

我们报告了一例接受鲁索替尼治疗的 Janus 激酶 2 阳性骨髓纤维化患者,表现为惰性肺炎和空洞性肺病变。初始经胸活检无特异性,但胸腔镜活检显示由肺炎(PCP)引起的坏死性肉芽肿性疾病。由于胃肠道不耐受,患者最初接受甲氧苄啶-磺胺甲噁唑治疗,随后改为阿托伐醌。鉴于患者免疫抑制和广泛的空洞性病变,根据连续影像学检查结果,给予阿托伐醌延长疗程,从而改善了临床和影像学结果。不幸的是,患者后来因严重的 SARS-CoV-2 感染而去世,在此之前尚未完全观察到放射学缓解。本病例强调了识别导致免疫抑制患者发生肉芽肿性疾病的非典型 PCP 表现的重要性。虽然罕见,但记录此类病例可能有助于使用侵入性较小的方法进行诊断,并有助于确定这些非典型感染的最佳治疗持续时间以达到缓解。

https://cdn.ncbi.nlm.nih.gov/pmc/blobs/1cfa/11409334/317ec55cd32f/bcr-17-8-g001.jpg

文献AI研究员

20分钟写一篇综述,助力文献阅读效率提升50倍。

立即体验

用中文搜PubMed

大模型驱动的PubMed中文搜索引擎

马上搜索

文档翻译

学术文献翻译模型,支持多种主流文档格式。

立即体验