Suppr超能文献

基质在健康前列腺和前列腺癌中的多方面作用。

The multifaceted role of the stroma in the healthy prostate and prostate cancer.

机构信息

Department of Medicine and Sciences of Aging, "G. d'Annunzio" University of Chieti- Pescara, Via dei Vestini, Chieti, 66100, Italy.

Anatomic Pathology and Immuno-Oncology Unit, Center for Advanced Studies and Technology (CAST), "G. d'Annunzio" University of Chieti-Pescara, Via L. Polacchi 11, Chieti, 66100, Italy.

出版信息

J Transl Med. 2024 Sep 5;22(1):825. doi: 10.1186/s12967-024-05564-2.

Abstract

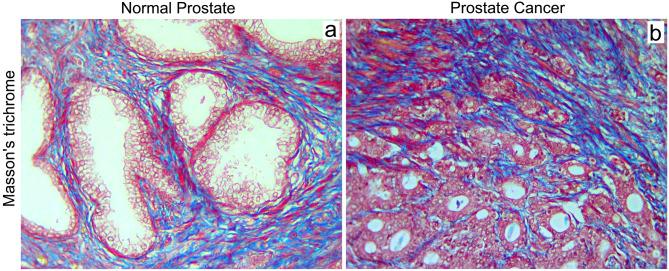
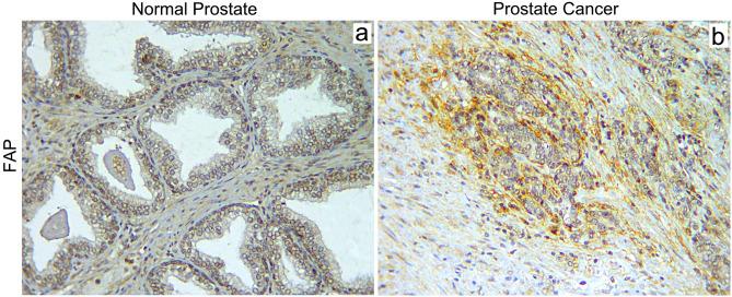
Prostate cancer (PC) is an age-related disease and represents, after lung cancer, the second cause of cancer death in males worldwide. Mortality is due to the metastatic disease, which mainly involves the bones, lungs, and liver. In the last 20 years, the incidence of metastatic PC has increased in Western Countries, and a further increase is expected in the near future, due to the population ageing. Current treatment options, including state of the art cancer immunotherapy, need to be more effective to achieve long-term disease control. The most significant anatomical barrier to overcome to improve the effectiveness of current and newly designed drug strategies consists of the prostatic stroma, in particular the fibroblasts and the extracellular matrix, which are the most abundant components of both the normal and tumor prostatic microenvironment. By weaving a complex communication network with the glandular epithelium, the immune cells, the microbiota, the endothelium, and the nerves, in the healthy prostatic microenvironment, the fibroblasts and the extracellular matrix support organ development and homeostasis. However, during inflammation, ageing and prostate tumorigenesis, they undergo dramatic phenotypic and genotypic changes, which impact on tumor growth and progression and on the development of therapy resistance. Here, we focus on the characteristics and functions of the prostate associated fibroblasts and of the extracellular matrix in health and cancer. We emphasize their roles in shaping tumor behavior and the feasibility of manipulating and/or targeting these stromal components to overcome the limitations of current treatments and to improve precision medicine's chances of success.

摘要

前列腺癌(PC)是一种与年龄相关的疾病,是全球男性癌症死亡的第二大原因,仅次于肺癌。死亡率归因于转移性疾病,主要涉及骨骼、肺部和肝脏。在过去的 20 年中,西方国家转移性 PC 的发病率有所增加,由于人口老龄化,预计在不久的将来还会进一步增加。目前的治疗选择,包括最先进的癌症免疫疗法,需要更加有效,以实现长期疾病控制。为了提高现有和新设计的药物策略的有效性,需要克服的最显著的解剖学障碍包括前列腺基质,特别是成纤维细胞和细胞外基质,它们是正常和肿瘤前列腺微环境中最丰富的成分。通过与腺上皮、免疫细胞、微生物群、内皮细胞和神经交织成一个复杂的通讯网络,在健康的前列腺微环境中,成纤维细胞和细胞外基质支持器官发育和稳态。然而,在炎症、衰老和前列腺肿瘤发生过程中,它们经历了显著的表型和基因型变化,这影响了肿瘤的生长和进展,以及治疗耐药性的发展。在这里,我们重点关注前列腺相关成纤维细胞和细胞外基质在健康和癌症中的特征和功能。我们强调它们在塑造肿瘤行为中的作用,以及操纵和/或靶向这些基质成分以克服现有治疗方法的局限性并提高精准医学成功机会的可行性。

https://cdn.ncbi.nlm.nih.gov/pmc/blobs/f18d/11378418/8c990f45ab3e/12967_2024_5564_Fig1_HTML.jpg

文献AI研究员

20分钟写一篇综述,助力文献阅读效率提升50倍。

立即体验

用中文搜PubMed

大模型驱动的PubMed中文搜索引擎

马上搜索

文档翻译

学术文献翻译模型,支持多种主流文档格式。

立即体验