Suppr超能文献

富含特定成分的脂肪来源间充质干细胞外泌体通过调节BNIP3-MAP1LC3B-BBC3/PUMA通路减轻颗粒物暴露加剧的心脏缺血再灌注损伤。

and -enriched adsc-exosomes mitigate PM exposure-exacerbated cardiac ischemia-reperfusion injury through the modulation of the BNIP3-MAP1LC3B-BBC3/PUMA pathway.

作者信息

Lee Tzu-Lin, Shen Wen-Chi, Chen Ya-Chun, Lai Tsai-Chun, Lin Shu-Rung, Lin Shu-Wha, Yu I-Shing, Yeh Yen-Hsiu, Li Tsai-Kun, Lee I-Ta, Lee Chiang-Wen, Chen Yuh-Lien

机构信息

Department of Anatomy and Cell Biology, College of Medicine, National Taiwan University, Taipei, Taiwan.

Department of Life Sciences, College of Life Sciences, National Chung Hsing University, Taichung, Taiwan.

出版信息

Autophagy. 2025 Feb;21(2):374-393. doi: 10.1080/15548627.2024.2395799. Epub 2024 Sep 8.

Abstract

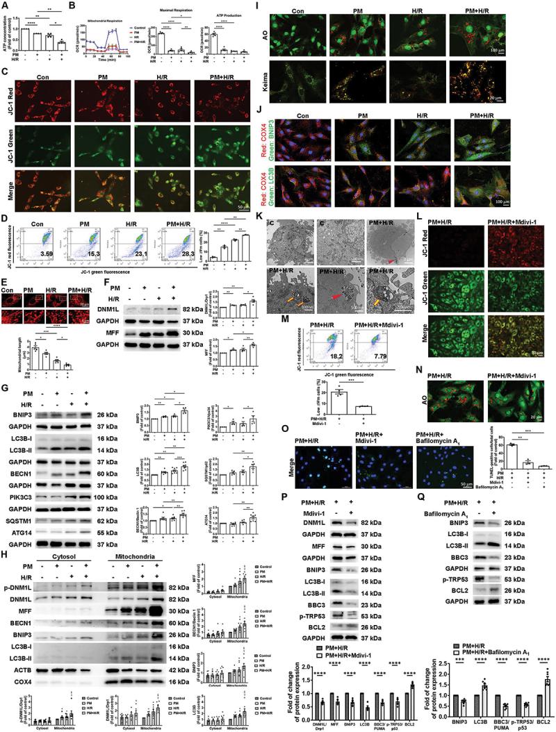
Epidemiology has shown a strong relationship between fine particulate matter (PM) exposure and cardiovascular disease. However, it remains unknown whether PM aggravates myocardial ischemia-reperfusion (I/R) injury, and the related mechanisms are unclear. Our previous study has shown that adipose stem cell-derived exosomes (ADSC-Exos) contain high levels of and . The present study investigated the effects of PM exposure on I/R-induced cardiac injury through mitophagy and apoptosis, as well as the potential role of and in ADSC-Exos. Wild-type, and knockout (KO), and and overexpressing transgenic (TG) mice were intratracheally injected with PM (10 mg/kg). After 24 h, mice underwent left coronary artery ligation for 30 min, followed by 3 h of reperfusion (I/R). H9c2 cardiomyocytes were cultured under 1% O for 6 h, then reoxygenated for 12 h (hypoxia-reoxygenation [H/R]). PM aggravated I/R (or H/R) cardiac injury by increasing ROS levels and causing mitochondrial dysfunction, which increased the expression of mitochondrial fission-related proteins (DNM1L/Drp1 and MFF) and mitophagy-related proteins (BNIP3 and MAP1LC3B/LC3B) and . Treatment with ADSC-Exos or and mimics significantly reduced PM+I/R-induced cardiac injury. Importantly, ADSC-Exos contain and , which directly targets BNIP3, MAP1LC3B/LC3B, and BBC3/PUMA, decreasing their expression and ultimately reducing cardiomyocyte mitophagy and apoptosis. The present data showed that ADSC-Exos treatment regulated mitophagy and apoptosis through the and -BNIP3-MAP1LC3B-BBC3/PUMA pathway and significantly reduced the cardiac damage caused by PM+I/R. The present study revealed the novel therapeutic potential of ADSC-Exos in alleviating PM-induced exacerbation of myocardial I/R injury. ADSC-Exos: adipose-derived stem cell exosomes; AL: autolysosome; ATP: adenosine triphosphate; BBC3/PUMA: BCL2 binding component 3; BNIP3: BCL2/adenovirus E1B interacting protein 3; CASP3: caspase 3; CASP9: caspase 9; CDKN1B/p27: cyclin dependent kinase inhibitor 1B; CVD: cardiovascular disease; DCFH-DA: 2',7'-dichlorodihydrofluorescein diacetate; DHE: dihydroethidium; DNM1L/Drp1: dynamin 1-like; EF: ejection fraction; FS: fractional shortening; H/R: hypoxia-reoxygenation; I/R: ischemia-reperfusion; LDH: lactate dehydrogenase; MAP1LC3B/LC3B: microtubule-associated protein 1 light chain 3 beta; MFF: mitochondrial fission factor; miRNA: microRNA; NAC: N-acetylcysteine; OCR: oxygen consumption rate; PIK3C3/Vps34: phosphatidylinositol 3-kinase catalytic subunit type 3; PM: particulate matter; PRKAA1/AMPK: protein kinase AMP-activated catalytic subunit alpha 1; ROS: reactive oxygen species; SQSTM1/p62: sequestosome 1; TEM: transmission electron microscopy; TRP53/p53: transformation related protein 53; TUNEL: terminal deoxynucleotidyl transferase dUTP nick end labeling.

摘要

流行病学研究表明,暴露于细颗粒物(PM)与心血管疾病之间存在密切关系。然而,PM是否会加重心肌缺血再灌注(I/R)损伤尚不清楚,相关机制也不明确。我们之前的研究表明,脂肪干细胞来源的外泌体(ADSC-Exos)含有高水平的[具体物质未给出]和[具体物质未给出]。本研究通过线粒体自噬和凋亡探讨了PM暴露对I/R诱导的心脏损伤的影响,以及[具体物质未给出]和[具体物质未给出]在ADSC-Exos中的潜在作用。将野生型、[基因敲除相关内容未完整给出]基因敲除(KO)小鼠以及[基因过表达相关内容未完整给出]基因过表达转基因(TG)小鼠经气管内注射PM(10 mg/kg)。24小时后,对小鼠进行左冠状动脉结扎30分钟,随后再灌注3小时(I/R)。将H9c2心肌细胞在1% O₂条件下培养6小时,然后复氧12小时(缺氧复氧[H/R])。PM通过增加活性氧(ROS)水平并导致线粒体功能障碍,加重I/R(或H/R)心脏损伤,这增加了线粒体分裂相关蛋白(DNM1L/Drp1和MFF)和线粒体自噬相关蛋白(BNIP3和MAP1LC3B/LC3B)[具体情况未完整给出]的表达。用ADSC-Exos或[具体物质未给出]和[具体物质未给出]模拟物处理可显著减轻PM+I/R诱导的心脏损伤。重要的是,ADSC-Exos含有[具体物质未给出]和[具体物质未给出],它们直接靶向BNIP3、MAP1LC3B/LC3B和BBC3/PUMA,降低它们的表达,最终减少心肌细胞的线粒体自噬和凋亡。目前的数据表明,ADSC-Exos治疗通过[具体信号通路未完整给出]和-BNIP3-MAP1LC3B-BBC3/PUMA途径调节线粒体自噬和凋亡,并显著减轻PM+I/R引起的心脏损伤。本研究揭示了ADSC-Exos在减轻PM诱导的心肌I/R损伤加重方面的新治疗潜力。ADSC-Exos:脂肪来源干细胞外泌体;AL:自噬溶酶体;ATP:三磷酸腺苷;BBC3/PUMA:BCL2结合成分3;BNIP3:BCL2/腺病毒E1B相互作用蛋白3;CASP3:半胱天冬酶3;CASP9:半胱天冬酶9;CDKN1B/p27:细胞周期蛋白依赖性激酶抑制剂1B;CVD:心血管疾病;DCFH-DA:2',7'-二氯二氢荧光素二乙酸酯;DHE:二氢乙锭;DNM1L/Drp1:动力蛋白1样蛋白;EF:射血分数;FS:缩短分数;H/R:缺氧复氧;I/R:缺血再灌注;LDH:乳酸脱氢酶;MAP1LC3B/LC3B:微管相关蛋白1轻链3β;MFF:线粒体分裂因子;miRNA:微小RNA;NAC:N-乙酰半胱氨酸;OCR:耗氧率;PIK3C3/Vps34:磷脂酰肌醇3激酶催化亚基3型;PM:颗粒物;PRKAA1/AMPK:蛋白激酶AMP激活催化亚基α1;ROS:活性氧;SQSTM1/p62:聚集体蛋白1;TEM:透射电子显微镜;TRP53/p53:转化相关蛋白53;TUNEL:末端脱氧核苷酸转移酶dUTP缺口末端标记

https://cdn.ncbi.nlm.nih.gov/pmc/blobs/2d8c/11760231/ffce5101d185/KAUP_A_2395799_F0001_C.jpg

文献AI研究员

20分钟写一篇综述,助力文献阅读效率提升50倍。

立即体验

用中文搜PubMed

大模型驱动的PubMed中文搜索引擎

马上搜索

文档翻译

学术文献翻译模型,支持多种主流文档格式。

立即体验