Suppr超能文献

曲美他嗪通过靶向长链非编码 RNA CBR3-AS1 介导的 miRNA-29 和抵抗素样分子 alpha 1 缓解博来霉素诱导的肺纤维化:揭示长链非编码 RNA CBR3-AS1/miRNA-29/FIZZ1 轴在肺纤维化中的三重作用机制。

Trimetazidine Alleviates Bleomycin-Induced Pulmonary Fibrosis by Targeting the Long Noncoding RNA CBR3-AS1-Mediated miRNA-29 and Resistin-Like Molecule alpha 1: Deciphering a Novel Trifecta Role of LncRNA CBR3-AS1/miRNA-29/FIZZ1 Axis in Lung Fibrosis.

机构信息

Department of Pharmacology and Toxicology, Faculty of Medicine, Umm Al-Qura University, Makkah, Saudi Arabia.

Department of Clinical Pharmacology and Therapeutics, Faculty of Medicine, Ain Shams University, Cairo, Egypt.

出版信息

Drug Des Devel Ther. 2024 Sep 5;18:3959-3986. doi: 10.2147/DDDT.S463626. eCollection 2024.

Abstract

INTRODUCTION

Pulmonary fibrosis (PF) and tissue remodeling can greatly impair pulmonary function and often lead to fatal outcomes.

METHODOLOGY

In the present study, we explored a novel molecular interplay of long noncoding (Lnc) RNA CBR3-AS1/ miRNA-29/ FIZZ1 axis in moderating the inflammatory processes, immunological responses, and oxidative stress pathways in bleomycin (BLM)-induced lung fibrosis. Furthermore, we investigated the pharmacological potential of Trimetazidine (TMZ) in ameliorating lung fibrosis.

RESULTS

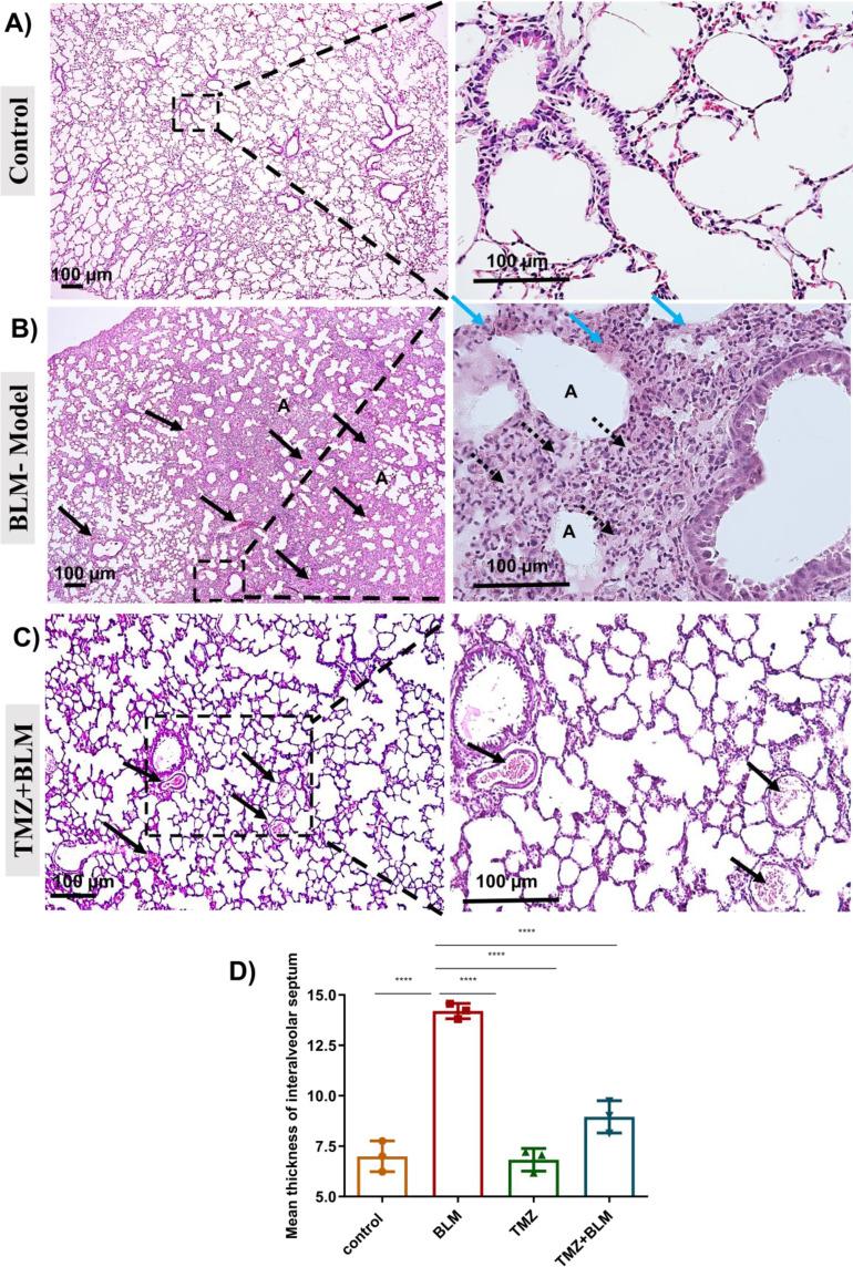
Our results revealed that the BLM-treated group exhibited a significant upregulation in the expression of epigenetic regulators, lncRNA CBR3-AS1 and FIZZ1, compared to the control group (P<0.0001), along with the downregulation of miRNA-29 expression. Furthermore, Correlation analysis showed a significant positive association between lnc CBR3-AS1 and FIZZ1 (R=0.7723, p<0.05) and a significant negative association between miRNA-29 and FIZZ1 (R=-0.7535, p<0.05), suggesting lnc CBR3-AS1 as an epigenetic regulator of FIZZ1 in lung fibrosis. BLM treatment significantly increased the expression of Notch, Jagged1, Smad3, TGFB1, and hydroxyproline. Interestingly, the administration of TMZ demonstrated the ability to attenuate the deterioration effects caused by BLM treatment, as indicated by biochemical and histological analyses. Our investigations revealed that the therapeutic potential of TMZ as an antifibrotic drug could be ascribed to its ability to directly target the epigenetic regulators lncRNA CBR3-AS1/ miRNA-29/ FIZZ1, which in turn resulted in the mitigation of lung fibrosis. Histological and immunohistochemical analyses further validated the potential antifibrotic effects of TMZ by mitigating the structural damage associated with fibrosis.

DISCUSSION

Taken together, our study showed for the first time the interplay between epigenetic lncRNAs CBR3-AS1 and miRNA-29 in lung fibrosis and demonstrated that FIZZ1 could be a downregulatory gene for lncRNA CBR3-AS1 and miRNA-29. Our key findings demonstrate that TMZ significantly reduces the expression of fibrotic, oxidative stress, immunomodulatory, and inflammatory markers, along with epigenetic regulators associated with lung fibrosis. This validates its potential as an effective antifibrotic agent by targeting the CBR3-AS1/miRNA-29/FIZZ1 axis.

摘要

简介

肺纤维化(PF)和组织重塑会极大地损害肺功能,常导致致命后果。

方法

本研究探索了长链非编码(lnc)RNA CBR3-AS1/miRNA-29/FIZZ1 轴在调节博来霉素(BLM)诱导的肺纤维化中的炎症过程、免疫反应和氧化应激途径中的新分子相互作用。此外,我们研究了曲美他嗪(TMZ)在改善肺纤维化方面的药理学潜力。

结果

我们的结果表明,BLM 处理组的表观遗传调节剂 lncRNA CBR3-AS1 和 FIZZ1 的表达显著上调,与对照组相比(P<0.0001),同时 miRNA-29 的表达下调。此外,相关性分析显示 lnc CBR3-AS1 和 FIZZ1 之间存在显著正相关(R=0.7723,p<0.05),miRNA-29 和 FIZZ1 之间存在显著负相关(R=-0.7535,p<0.05),提示 lnc CBR3-AS1 是肺纤维化中 FIZZ1 的表观遗传调节剂。BLM 处理显著增加了 Notch、Jagged1、Smad3、TGFB1 和羟脯氨酸的表达。有趣的是,TMZ 的给药表现出减轻 BLM 处理引起的恶化作用的能力,这通过生化和组织学分析得到证实。我们的研究表明,TMZ 作为一种抗纤维化药物的治疗潜力可归因于其直接靶向表观遗传调节剂 lncRNA CBR3-AS1/miRNA-29/FIZZ1 的能力,从而减轻肺纤维化。组织学和免疫组织化学分析进一步验证了 TMZ 通过减轻与纤维化相关的结构损伤具有潜在的抗纤维化作用。

讨论

综上所述,本研究首次展示了肺纤维化中表观遗传 lncRNAs CBR3-AS1 和 miRNA-29 之间的相互作用,并表明 FIZZ1 可能是 lncRNA CBR3-AS1 和 miRNA-29 的下调基因。我们的关键发现表明,TMZ 显著降低了与肺纤维化相关的纤维化、氧化应激、免疫调节和炎症标志物以及表观遗传调节剂的表达。这验证了其通过靶向 CBR3-AS1/miRNA-29/FIZZ1 轴作为有效抗纤维化剂的潜力。

https://cdn.ncbi.nlm.nih.gov/pmc/blobs/b4b9/11382803/3c58e2756662/DDDT-18-3959-g0001.jpg

文献AI研究员

20分钟写一篇综述,助力文献阅读效率提升50倍。

立即体验

用中文搜PubMed

大模型驱动的PubMed中文搜索引擎

马上搜索

文档翻译

学术文献翻译模型,支持多种主流文档格式。

立即体验