Suppr超能文献

BRCA1相关蛋白-1失活的黑素细胞肿瘤:黑色素瘤中临床病理谱及优先表达抗原免疫组化表达模式的特征分析

BRCA1-associated-protein-1 inactivated melanocytic tumours: characterisation of the clinicopathological spectrum and immunohistochemical expression pattern of preferentially expressed antigen in melanoma.

作者信息

Xu Yitong, Gru Alejandro A, Brenn Thomas, Wiedemeyer Katharina

机构信息

Department of Pathology and Laboratory Medicine, University of Calgary, Calgary, AB, Canada.

Department of Pathology, University of Virginia, Charlottesville, VA, USA.

出版信息

Histopathology. 2025 Jan;86(2):294-301. doi: 10.1111/his.15318. Epub 2024 Sep 13.

Abstract

AIMS

BRCA1-associaed protein-1 (BAP1) inactivated tumours (BIMT) are rare melanocytic tumours that may be mistaken for Spitz tumours or melanoma. They occur sporadically or in association with the BAP1 tumour predisposition syndrome (BAP1-TPDS), which may be complicated by uveal or cutaneous melanoma, mesothelioma, basal cell carcinoma and renal cell carcinoma. The aim of this study was to characterise the clinicopathological features and the immunohistochemical expression pattern of preferentially expressed antigen in melanoma (PRAME) of BIMT in a large patient cohort.

METHODS AND RESULTS

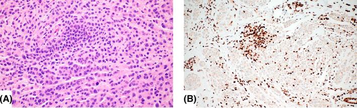
Ethical approval was obtained, haematoxylin and eosin-stained slides were reviewed, PRAME immunohistochemistry was performed and clinical follow-up was obtained from patient records. Sixty-five BIMT from 38 patients (F:M = 4.4:1) were identified. BIMT were typically located on the trunk and head and neck (median size = 0.5 cm). Seven patients with BAP1-TPDS (range = 16-66 years, median = 25) had multiple BIMT (median = 5), while sporadic BIMT were solitary (median patient age = 39 years). One of seven patients with BAP1-TPDS developed additional malignancies (mesothelioma and cutaneous spindle cell melanoma) and died of complications of mesothelioma. All other patients are alive without recurrence of BIMT (median follow-up = 42 months). BIMT presented as intradermal, nodular aggregates of epithelioid melanocytes with low mitotic activity and moderate to severe cytological atypia in 63% of cases. A background conventional naevus was present in 64%. PRAME immunohistochemistry showed negative or weakly patchy positive staining in all BIMT.

CONCLUSIONS

BIMT are more common in a sporadic setting and behave indolently, despite worrying cytological atypia. PRAME immunohistochemistry is a reassuring tool in distinguishing BIMT from melanoma.

摘要

目的

BRCA1相关蛋白1(BAP1)失活肿瘤(BIMT)是罕见的黑素细胞肿瘤,可能被误诊为Spitz肿瘤或黑色素瘤。它们可散发性发生或与BAP1肿瘤易感综合征(BAP1-TPDS)相关,后者可能并发葡萄膜或皮肤黑色素瘤、间皮瘤、基底细胞癌和肾细胞癌。本研究的目的是在一个大型患者队列中描述BIMT的临床病理特征以及黑色素瘤优先表达抗原(PRAME)的免疫组化表达模式。

方法与结果

获得伦理批准,复查苏木精-伊红染色切片,进行PRAME免疫组化检测,并从患者记录中获取临床随访信息。共鉴定出38例患者的65个BIMT(女性:男性 = 4.4:1)。BIMT通常位于躯干、头颈部(中位大小 = 0.5 cm)。7例BAP1-TPDS患者(年龄范围 = 16 - 66岁,中位年龄 = 25岁)有多个BIMT(中位数量 = 5个),而散发性BIMT为单个(患者中位年龄 = 39岁)。7例BAP1-TPDS患者中有1例发生了其他恶性肿瘤(间皮瘤和皮肤梭形细胞黑色素瘤),并死于间皮瘤并发症。所有其他患者均存活,无BIMT复发(中位随访时间 = 42个月)。63%的病例中,BIMT表现为真皮内上皮样黑素细胞的结节状聚集,有低有丝分裂活性和中度至重度细胞学异型性。64%的病例有背景常规痣。PRAME免疫组化显示所有BIMT均为阴性或弱阳性斑片状染色。

结论

BIMT在散发性情况下更常见,尽管细胞学异型性令人担忧,但行为惰性。PRAME免疫组化是区分BIMT与黑色素瘤的可靠工具。

https://cdn.ncbi.nlm.nih.gov/pmc/blobs/0fca/11649512/7484c55e3b23/HIS-86-294-g005.jpg

文献AI研究员

20分钟写一篇综述,助力文献阅读效率提升50倍。

立即体验

用中文搜PubMed

大模型驱动的PubMed中文搜索引擎

马上搜索

文档翻译

学术文献翻译模型,支持多种主流文档格式。

立即体验