Suppr超能文献

一氧化氮合酶在呼吸健康和疾病中的作用:三重一氧化氮合酶敲除小鼠的研究进展。

Role of Nitric Oxide Synthases in Respiratory Health and Disease: Insights from Triple Nitric Oxide Synthases Knockout Mice.

机构信息

Department of Respiratory Medicine, Kokura Memorial Hospital, 1-1 Asano, Kokura-kita-ku, Kitakyushu 803-0802, Japan.

Department of Respiratory Medicine, University of Occupational and Environmental Health, Japan, 1-1 Iseigaoka, Yahata-nishi-ku, Kitakyushu 807-8555, Japan.

出版信息

Int J Mol Sci. 2024 Aug 28;25(17):9317. doi: 10.3390/ijms25179317.

Abstract

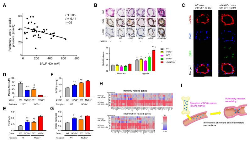
The system of nitric oxide synthases (NOSs) is comprised of three isoforms: nNOS, iNOS, and eNOS. The roles of NOSs in respiratory diseases in vivo have been studied by using inhibitors of NOSs and NOS-knockout mice. Their exact roles remain uncertain, however, because of the non-specificity of inhibitors of NOSs and compensatory up-regulation of other NOSs in NOS-KO mice. We addressed this point in our triple-n/i/eNOSs-KO mice. Triple-n/i/eNOSs-KO mice spontaneously developed pulmonary emphysema and displayed exacerbation of bleomycin-induced pulmonary fibrosis as compared with wild-type (WT) mice. Triple-n/i/eNOSs-KO mice exhibited worsening of hypoxic pulmonary hypertension (PH), which was reversed by treatment with sodium nitrate, and WT mice that underwent triple-n/i/eNOSs-KO bone marrow transplantation (BMT) also showed aggravation of hypoxic PH compared with those that underwent WT BMT. Conversely, ovalbumin-evoked asthma was milder in triple-n/i/eNOSs-KO than WT mice. These results suggest that the roles of NOSs are different in different pathologic states, even in the same respiratory diseases, indicating the diversity of the roles of NOSs. In this review, we describe these previous studies and discuss the roles of NOSs in respiratory health and disease. We also explain the current state of development of inorganic nitrate as a new drug for respiratory diseases.

摘要

一氧化氮合酶(NOS)系统由三种同工酶组成:nNOS、iNOS 和 eNOS。通过使用 NOS 抑制剂和 NOS 敲除小鼠研究了 NOS 在体内呼吸疾病中的作用。然而,由于 NOS 抑制剂的非特异性和 NOS-KO 小鼠中其他 NOS 的代偿性上调,它们的确切作用仍不确定。我们在三重 n/i/eNOSs-KO 小鼠中解决了这一问题。三重 n/i/eNOSs-KO 小鼠自发发展为肺气肿,并表现出博来霉素诱导的肺纤维化加重,与野生型(WT)小鼠相比。三重 n/i/eNOSs-KO 小鼠表现出缺氧性肺动脉高压(PH)恶化,用硝酸钠治疗可逆转,并且接受三重 n/i/eNOSs-KO 骨髓移植(BMT)的 WT 小鼠也表现出缺氧性 PH 加重,与接受 WT BMT 的小鼠相比。相反,三重 n/i/eNOSs-KO 小鼠的卵清蛋白诱发哮喘比 WT 小鼠轻。这些结果表明,NOS 在不同的病理状态下的作用不同,即使在相同的呼吸疾病中也是如此,表明 NOS 的作用具有多样性。在这篇综述中,我们描述了这些先前的研究,并讨论了 NOS 在呼吸健康和疾病中的作用。我们还解释了无机硝酸盐作为一种治疗呼吸疾病的新药的当前发展状况。

https://cdn.ncbi.nlm.nih.gov/pmc/blobs/b369/11395504/f83ebc6d2433/ijms-25-09317-g001.jpg

文献AI研究员

20分钟写一篇综述,助力文献阅读效率提升50倍。

立即体验

用中文搜PubMed

大模型驱动的PubMed中文搜索引擎

马上搜索

文档翻译

学术文献翻译模型,支持多种主流文档格式。

立即体验