Suppr超能文献

AGMB00912可保护断奶小鼠免受肠产毒性大肠杆菌感染,并增强肠道健康。

AGMB00912 protects weaning mice from ETEC infection and enhances gut health.

作者信息

Yoon Ki-Nam, Yang Jihye, Yeom Seo-Joon, Kim Sang-Su, Park Jong-Heum, Song Beom-Seok, Eun Jong-Bang, Park Seung-Hwan, Lee Ju Huck, Kim Hyeun Bum, Lee Ju-Hoon, Kim Jae-Kyung

机构信息

Advanced Radiation Technology Institute, Korea Atomic Energy Research Institute, Jeongeup-si, Republic of Korea.

Department of Food Science and Technology, Graduate School of Chonnam National University, Gwangju, Republic of Korea.

出版信息

Front Microbiol. 2024 Sep 10;15:1440134. doi: 10.3389/fmicb.2024.1440134. eCollection 2024.

Abstract

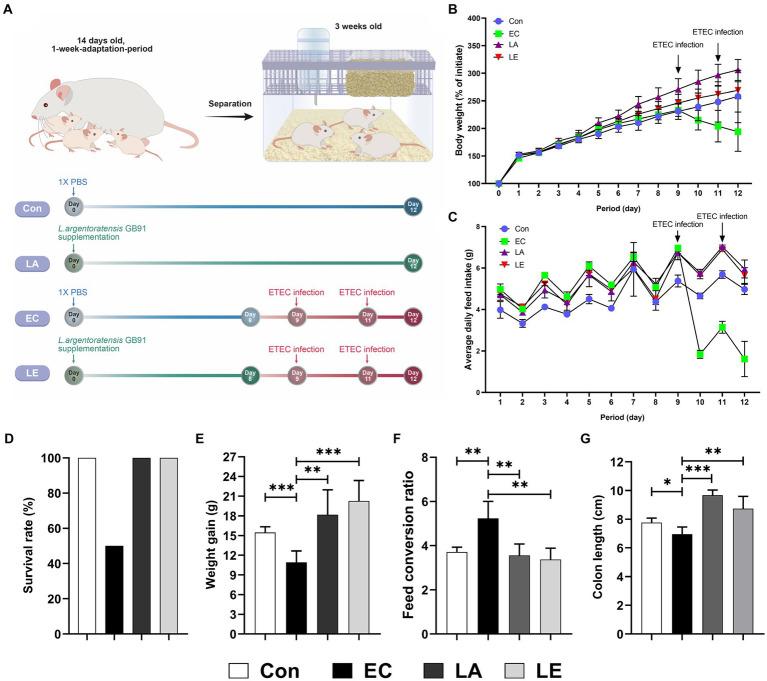
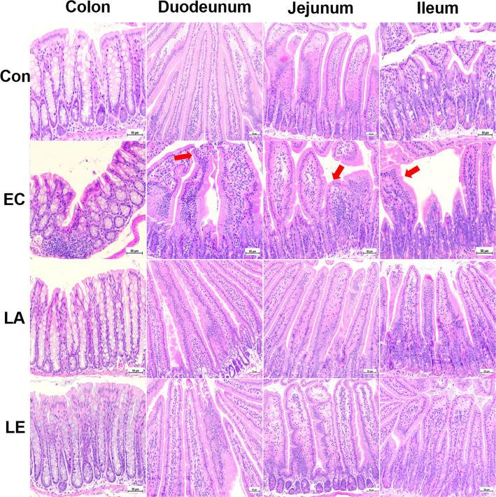
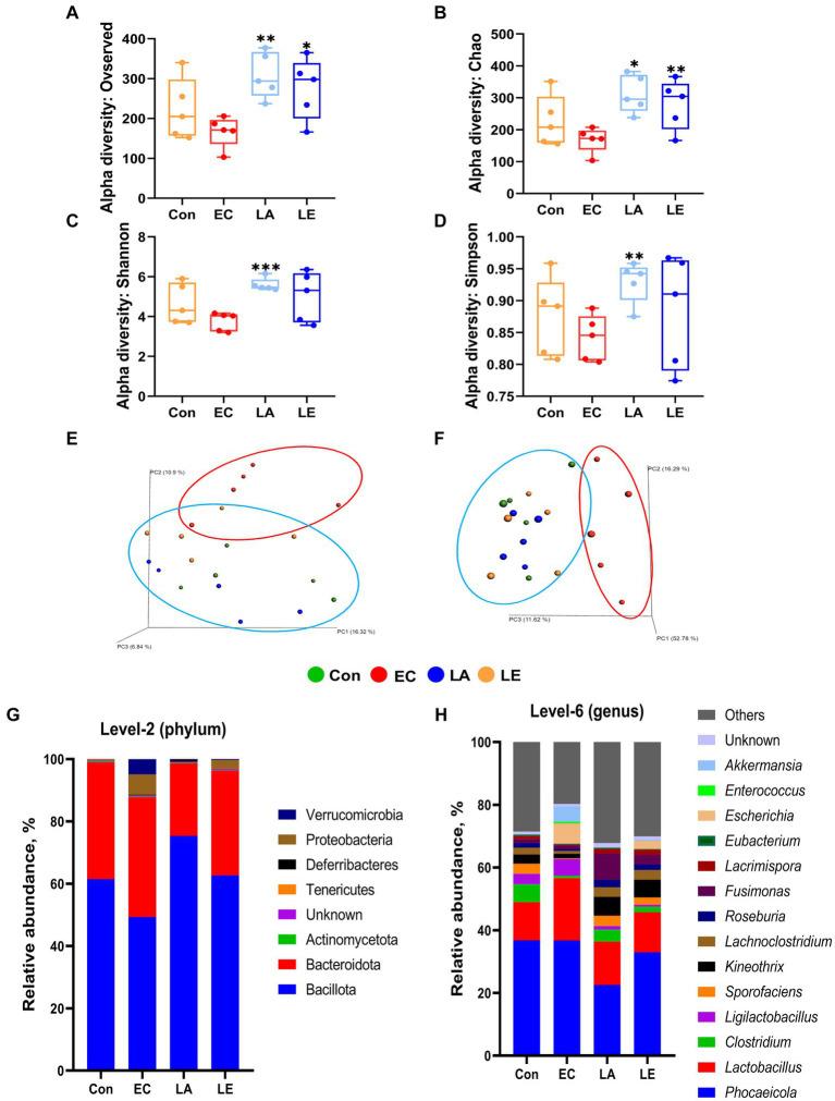
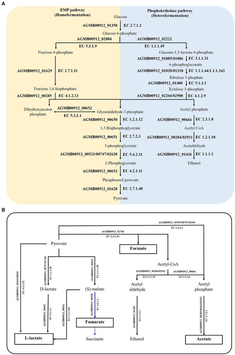
Maintaining a healthy intestinal environment, optimal epithelial barrier integrity, and balanced gut microbiota composition are essential for the growth performance of weaning pigs. We identified AGMB00912 (LA) in healthy porcine feces as having antimicrobial activity against pathogens and enhanced short-chain fatty acid (SCFA) production. Herein, we assess the protective role of LA using a weaning mouse model with enterotoxigenic (ETEC) infection. LA treatment improves feed intake and weight gain and alleviates colon shortening. Furthermore, LA inhibits intestinal damage, increases the small intestine villus height compared with the ETEC group, and enhances SCFA production. Using the Kyoto Encyclopedia of Genes and Genomes and other bioinformatic tools, including InterProScan and COGNIZER, we validated the presence of SCFA-producing pathways of LA and after whole genome sequencing. LA mitigates ETEC-induced shifts in the gut microbiota, decreasing the proportion of and and increasing SCFA-producing bacteria, including , , , , , and . Metabolic functional prediction analysis revealed enhanced functions linked to carbohydrate, amino acid, and vitamin biosynthesis, along with decreased functions associated with infectious bacterial diseases compared to the ETEC group. LA mitigates the adverse effects of ETEC infection in weaning mice, enhances growth performance and intestinal integrity, rebalances gut microbiota, and promotes beneficial metabolic functions. These findings validate the functionality of LA in a small animal model, supporting its potential application in improving the health and growth performance of weaning pigs.

摘要

维持健康的肠道环境、最佳的上皮屏障完整性以及平衡的肠道微生物群组成对于断奶仔猪的生长性能至关重要。我们在健康猪粪便中鉴定出AGMB00912(LA),其对病原体具有抗菌活性,并能增强短链脂肪酸(SCFA)的产生。在此,我们使用产肠毒素大肠杆菌(ETEC)感染的断奶小鼠模型评估LA的保护作用。LA处理可改善采食量和体重增加,并减轻结肠缩短。此外,LA可抑制肠道损伤,与ETEC组相比增加小肠绒毛高度,并增强SCFA的产生。使用京都基因与基因组百科全书以及其他生物信息学工具,包括InterProScan和COGNIZER,我们在全基因组测序后验证了LA产生SCFA的途径的存在。LA减轻了ETEC诱导的肠道微生物群变化,降低了[未提及的细菌名称]和[未提及的细菌名称]的比例,并增加了产生SCFA的细菌,包括[未提及的细菌名称]、[未提及的细菌名称]、[未提及的细菌名称]、[未提及的细菌名称]、[未提及的细菌名称]和[未提及的细菌名称]。代谢功能预测分析显示,与ETEC组相比,与碳水化合物、氨基酸和维生素生物合成相关的功能增强,而与传染性细菌疾病相关的功能降低。LA减轻了ETEC感染对断奶小鼠的不利影响,增强了生长性能和肠道完整性,重新平衡了肠道微生物群,并促进了有益的代谢功能。这些发现验证了LA在小动物模型中的功能,支持其在改善断奶仔猪健康和生长性能方面的潜在应用。

https://cdn.ncbi.nlm.nih.gov/pmc/blobs/9eec/11420142/d4bb35b7f9ed/fmicb-15-1440134-g001.jpg

文献AI研究员

20分钟写一篇综述,助力文献阅读效率提升50倍。

立即体验

用中文搜PubMed

大模型驱动的PubMed中文搜索引擎

马上搜索

文档翻译

学术文献翻译模型,支持多种主流文档格式。

立即体验