Suppr超能文献

硼替佐米联合维奈托克靶向 EBV 的 LMP-1 和 EBNA-3C 的生存功能。

Combination of bortezomib and venetoclax targets the pro-survival function of LMP-1 and EBNA-3C of Epstein-Barr virus in spontaneous lymphoblastoid cell lines.

机构信息

Department of Pediatrics and Adolescent Medicine, School of Clinical Medicine, LKS Faculty of Medicine, The University of Hong Kong, Hong Kong SAR, China.

Department of Pathology, School of Clinical Medicine, LKS Faculty of Medicine, The University of Hong Kong, Hong Kong SAR, China.

出版信息

PLoS Pathog. 2024 Sep 26;20(9):e1012250. doi: 10.1371/journal.ppat.1012250. eCollection 2024 Sep.

Abstract

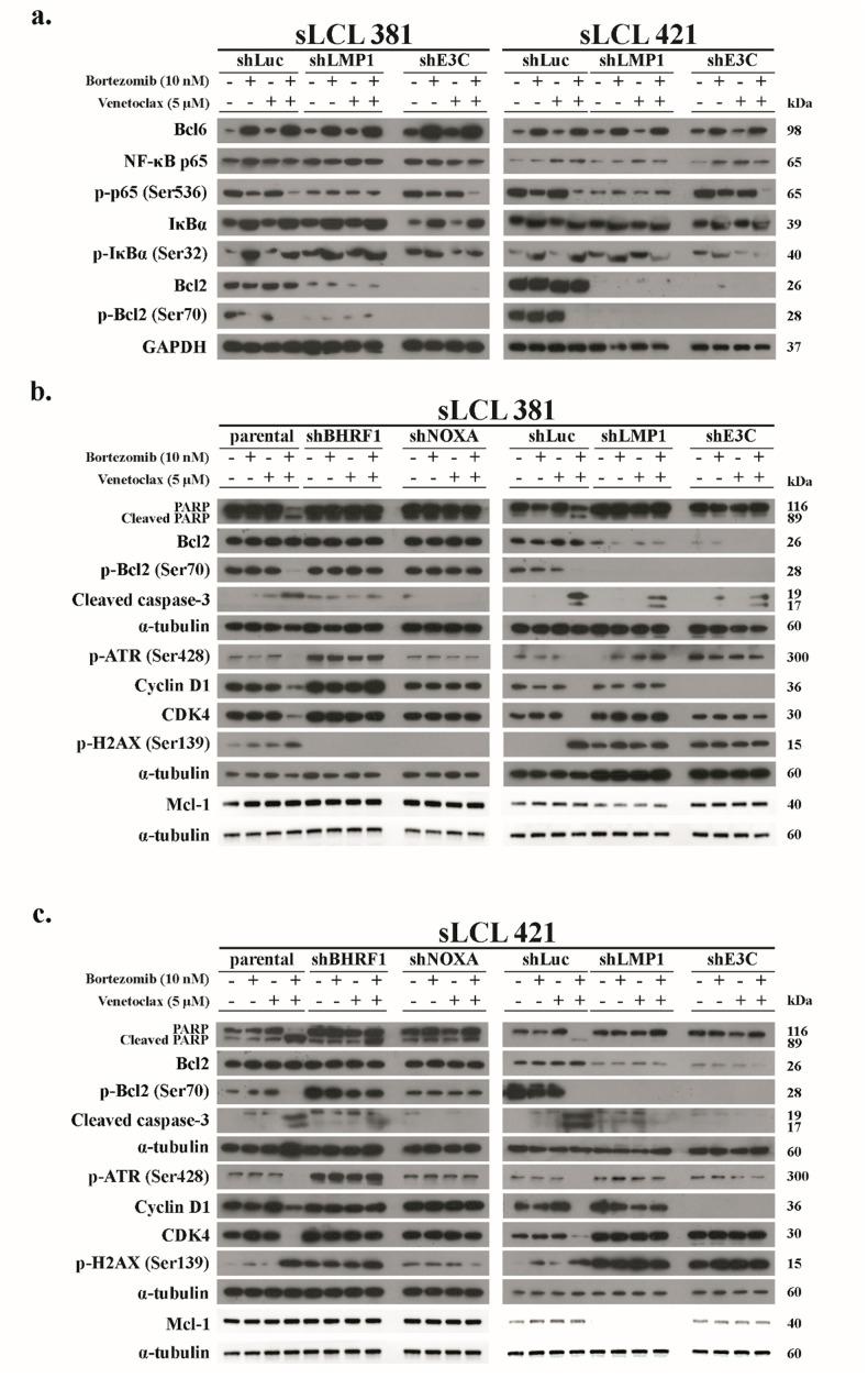
Epstein-Barr virus (EBV) manipulates the ubiquitin-proteasome system and regulators of Bcl-2 family to enable the persistence of the virus and survival of the host cells through the expression of viral proteins in distinct latency patterns. We postulate that the combination of bortezomib (proteasome inhibitor) and venetoclax (Bcl-2 inhibitor) [bort/venetoclax] will cause synergistic killing of post-transplant lymphoproliferative disorder (PTLD) through targeting the pro-survival function of latent viral proteins such as latent membrane protein-1 (LMP-1) and EBV nuclear antigen-3C (EBNA-3C). Bort/venetoclax could synergistically kill spontaneous lymphoblastoid cell lines (sLCLs) derived from patients with PTLD and EBV-associated hemophagocytic lymphohistiocytosis by inducing DNA damage response, apoptosis and G1-S cell cycle arrest in a ROS-dependent manner. Bortezomib potently induced the expression of Noxa, a pro-apoptotic initiator and when combined with venetoclax, inhibited Mcl-1 and Bcl-2 simultaneously. Bortezomib prevented LMP-1 induced proteasomal degradation of IκBα leading to the suppression of the NF-κB signaling pathway. Bortezomib also rescued Bcl-6 from EBNA-3C mediated proteasomal degradation thus maintaining the repression of cyclin D1 and Bcl-2 causing G1-S arrest and apoptosis. Concurrently, venetoclax inhibited Bcl-2 upregulated by either LMP-1 or EBNA-3C. Bort/venetoclax decreased the expression of phosphorylated p65 and Bcl-2 at serine 70 thereby suppressing the NF-κB signaling pathway and promoting apoptosis, respectively. These data corroborated the marked suppression of the growth of xenograft of sLCL in SCID mice (p<0.001). Taken together, the combination of bortezomib and venetoclax targets the pro-survival function of LMP-1 and EBNA-3C of Epstein-Barr virus in spontaneous lymphoblastoid cell lines.

摘要

EBV 通过不同潜伏模式下表达病毒蛋白来操纵泛素-蛋白酶体系统和 Bcl-2 家族的调节剂,从而使病毒持续存在并使宿主细胞存活。我们假设硼替佐米(蛋白酶体抑制剂)和 venetoclax(Bcl-2 抑制剂)[硼替佐米/venetoclax]的联合使用将通过靶向潜伏病毒蛋白的生存功能,如潜伏膜蛋白-1(LMP-1)和 EBV 核抗原-3C(EBNA-3C),导致移植后淋巴组织增生性疾病(PTLD)的协同杀伤。硼替佐米/venetoclax 可通过诱导 DNA 损伤反应、凋亡和 ROS 依赖性 G1-S 细胞周期停滞,协同杀伤源自 PTLD 患者和 EBV 相关噬血细胞性淋巴组织细胞增生症的自发性淋巴母细胞系(sLCL)。硼替佐米可强力诱导促凋亡起始因子 Noxa 的表达,与 venetoclax 联合使用时,可同时抑制 Mcl-1 和 Bcl-2。硼替佐米可防止 LMP-1 诱导的 IκBα 蛋白酶体降解,从而抑制 NF-κB 信号通路。硼替佐米还可挽救 EBNA-3C 介导的 Bcl-6 蛋白酶体降解,从而维持 cyclin D1 和 Bcl-2 的抑制,导致 G1-S 停滞和凋亡。同时,venetoclax 抑制由 LMP-1 或 EBNA-3C 上调的 Bcl-2。硼替佐米/venetoclax 降低了磷酸化 p65 和 Bcl-2 在丝氨酸 70 处的表达,从而分别抑制 NF-κB 信号通路和促进凋亡。这些数据证实了 sLCL 异种移植在 SCID 小鼠中的生长明显受到抑制(p<0.001)。综上所述,硼替佐米和 venetoclax 的联合使用靶向 EBV 中 LMP-1 和 EBNA-3C 的生存功能,从而在自发性淋巴母细胞系中发挥作用。

https://cdn.ncbi.nlm.nih.gov/pmc/blobs/b3ec/11481030/9c95ec4089f9/ppat.1012250.g001.jpg

文献AI研究员

20分钟写一篇综述,助力文献阅读效率提升50倍。

立即体验

用中文搜PubMed

大模型驱动的PubMed中文搜索引擎

马上搜索

文档翻译

学术文献翻译模型,支持多种主流文档格式。

立即体验