Suppr超能文献

METTL3 介导的 SIRT1 mRNA m6A 修饰通过细胞自噬和衰老影响糖尿病性白内障的进展。

METTL3-mediated m6A modification of SIRT1 mRNA affects the progression of diabetic cataracts through cellular autophagy and senescence.

机构信息

Department of Ophthalmology, The Second Affiliated Hospital of Harbin Medical University, Harbin, 150086, China.

Laboratory Animal Center, The Second Affiliated Hospital of Harbin Medical University, Harbin, 150086, China.

出版信息

J Transl Med. 2024 Sep 27;22(1):865. doi: 10.1186/s12967-024-05691-w.

Abstract

BACKGROUND

The increasing incidence of diabetes mellitus has established diabetic cataracts (DC) as a significant worldwide public health issue. The mechanisms underlying DC remain unknown, and effective prevention and treatment strategies are lacking. Accordingly, we aimed to explore the role and mechanism behind N6-methyladenosine (m6A) in DC progression.

METHODS

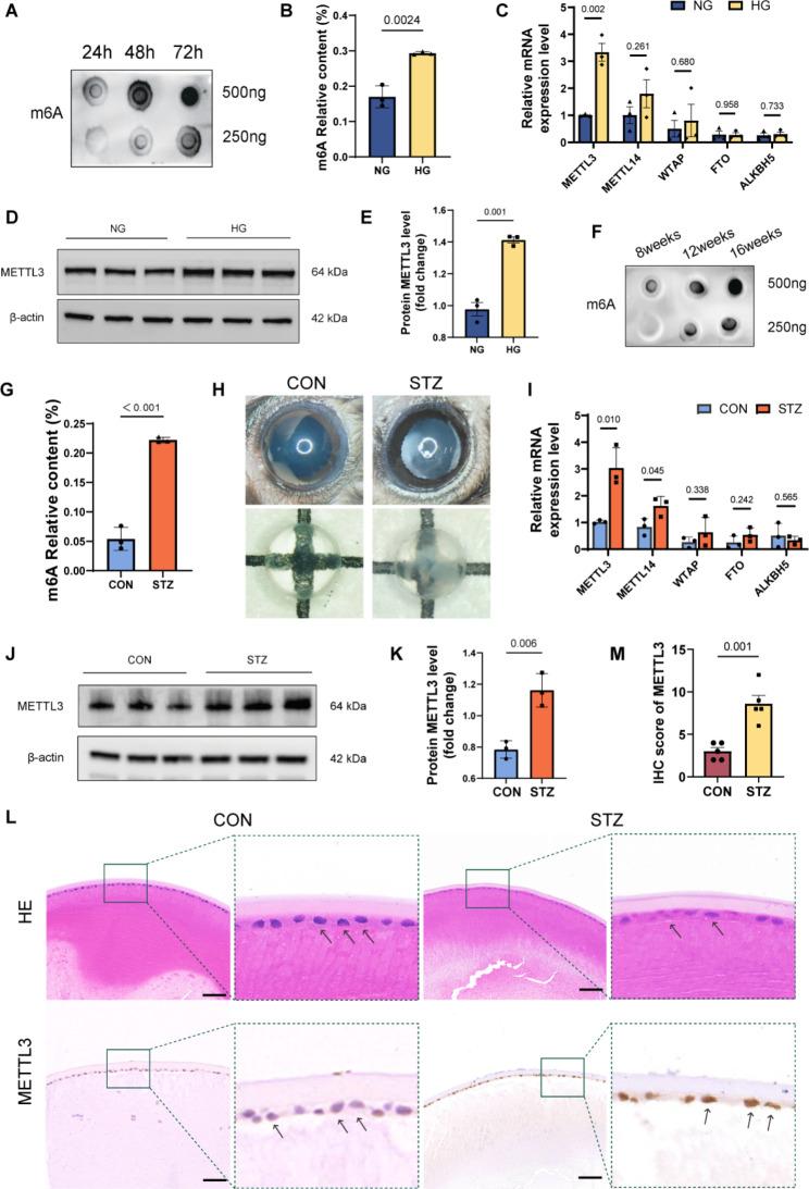
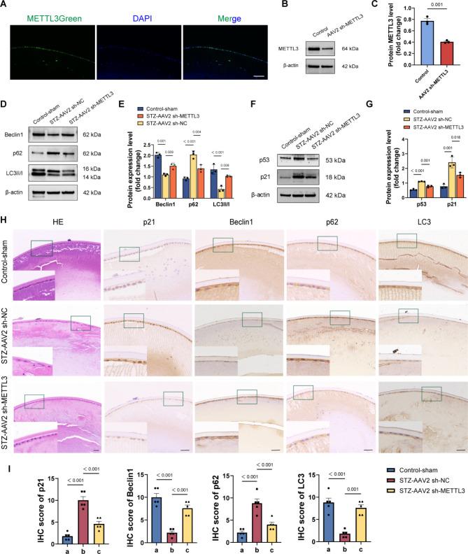
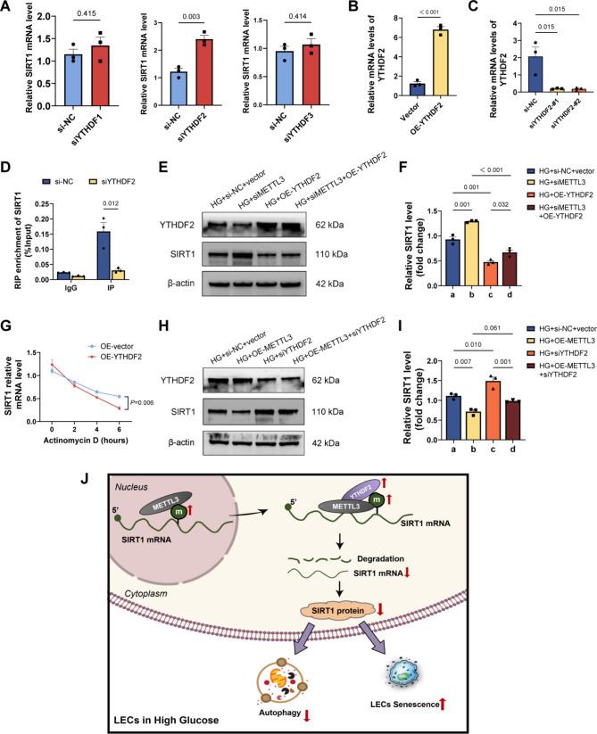
Methyltransferase-like 3 (METTL3), p21, Beclin1, LC3, and p62 expression levels were measured in human tissues. This study assessed total m6A levels and common m6A-regulated biomarkers in both in vitro and in vivo DC models. Autophagy flux was detected in vitro through Ad-mCherry-GFP-LC3B and Monodansylcadaverine (MDC) staining. Cellular senescence was assessed utilizing the senescence-associated β-galactosidase (SA-β-Gal) assay. Furthermore, the effect of METTL3 on SIRT1 mRNA modification was demonstrated, and its mechanism was elucidated using RT-qPCR, western blot, RNA stability assays, and RIP analysis.

RESULTS

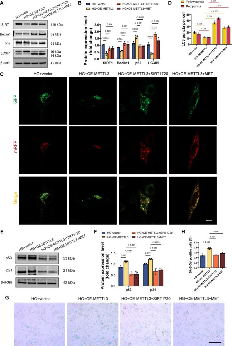
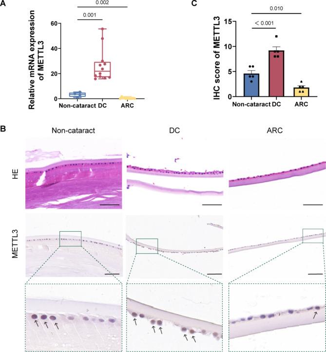
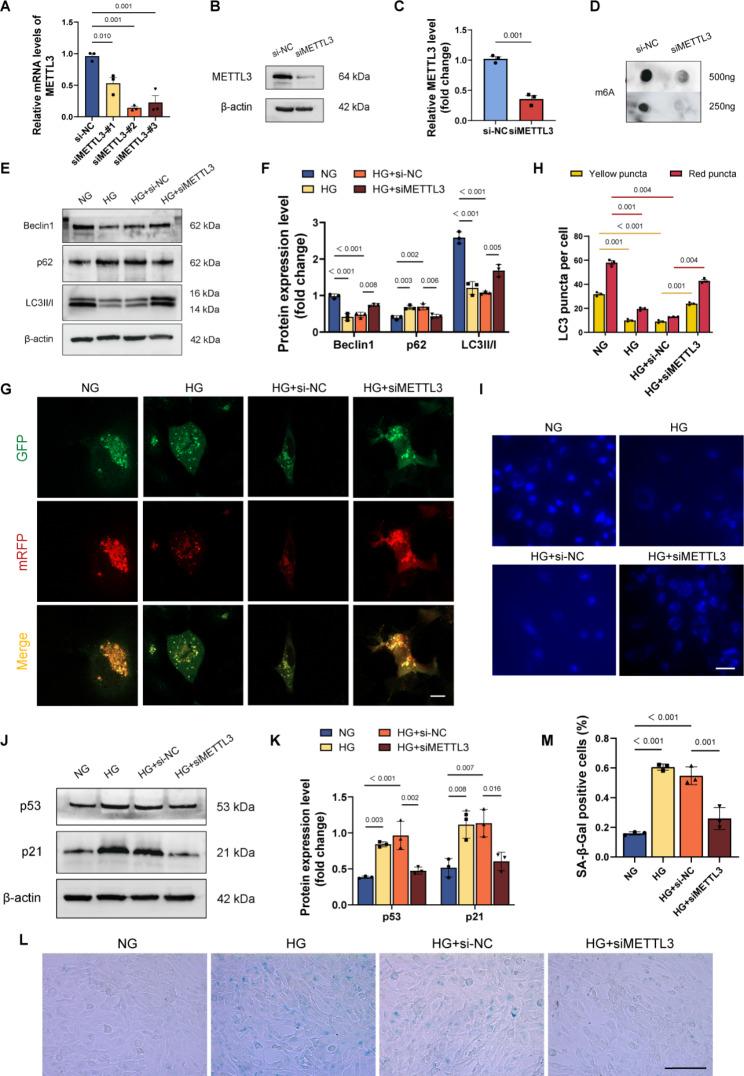
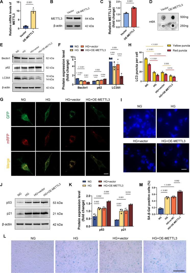
METTL3, p21, and p62 expression levels were elevated in lens epithelial cells (LECs) from DC patients, while Beclin1 and LC3 levels were reduced. Silencing METTL3-mediated m6A modifications restored high-glucose-induced autophagy inhibition and prevented premature senescence in LECs. Notably, SIRT1720 and Metformin significantly enhanced autophagosome generation and delayed cellular senescence. The m6A-reading protein YTHDF2 bound to m6A modifications, and YTHDF2 silencing significantly reduced METTL3-mediated SIRT1 inactivation.

CONCLUSIONS

METTL3 induces senescence in DC by destabilizing SIRT1 mRNA in an m6A-YTHDF2-dependent manner. The METTL3-YTHDF2-SIRT1 axis is a key target and potential pathogenic mechanism in DC.

摘要

背景

糖尿病的发病率不断上升,使糖尿病性白内障(DC)成为一个重大的全球公共卫生问题。DC 的发病机制尚不清楚,也缺乏有效的预防和治疗策略。因此,我们旨在探讨 N6-甲基腺苷(m6A)在 DC 进展中的作用和机制。

方法

在人组织中测量甲基转移酶样 3(METTL3)、p21、Beclin1、LC3 和 p62 的表达水平。本研究评估了体外和体内 DC 模型中总 m6A 水平和常见 m6A 调节生物标志物。通过 Ad-mCherry-GFP-LC3B 和 Monodansylcadaverine(MDC)染色在体外检测自噬流。利用衰老相关β-半乳糖苷酶(SA-β-Gal)测定法评估细胞衰老。此外,还证明了 METTL3 对 SIRT1 mRNA 修饰的影响,并通过 RT-qPCR、western blot、RNA 稳定性测定和 RIP 分析阐明了其机制。

结果

DC 患者晶状体上皮细胞(LEC)中 METTL3、p21 和 p62 的表达水平升高,而 Beclin1 和 LC3 的表达水平降低。沉默 METTL3 介导的 m6A 修饰可恢复高糖诱导的自噬抑制并防止 LEC 过早衰老。值得注意的是,SIRT1720 和二甲双胍显著增强自噬体生成并延缓细胞衰老。m6A 阅读蛋白 YTHDF2 与 m6A 修饰结合,沉默 YTHDF2 可显著降低 METTL3 介导的 SIRT1 失活。

结论

METTL3 通过 m6A-YTHDF2 依赖性方式使 SIRT1 mRNA 不稳定,从而诱导 DC 衰老。METTL3-YTHDF2-SIRT1 轴是 DC 的关键靶点和潜在发病机制。

https://cdn.ncbi.nlm.nih.gov/pmc/blobs/d23c/11429169/a2053d179cf0/12967_2024_5691_Fig1_HTML.jpg

文献AI研究员

20分钟写一篇综述,助力文献阅读效率提升50倍。

立即体验

用中文搜PubMed

大模型驱动的PubMed中文搜索引擎

马上搜索

文档翻译

学术文献翻译模型,支持多种主流文档格式。

立即体验