Suppr超能文献

玻利维亚肉鸡中 GI-1 和 GI-23 禽传染性支气管炎病毒的检测和分子特征表明新基因型的出现。

Detection and Molecular Characterization of GI-1 and GI-23 Avian Infectious Bronchitis Virus in Broilers Indicate the Emergence of New Genotypes in Bolivia.

机构信息

Research and Development Laboratories, FARVET, Carretera Panamericana Sur N° 766 Km 198.5, Chincha Alta 11702, Peru.

Escuela Profesional de Medicina Humana, Universidad Privada San Juan Bautista, Lima 15067, Peru.

出版信息

Viruses. 2024 Sep 14;16(9):1463. doi: 10.3390/v16091463.

Abstract

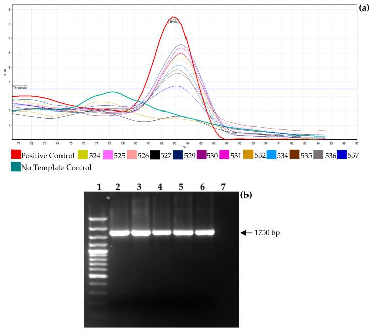
Infectious Bronchitis Virus (IBV) is a major threat to the poultry industry worldwide, causing significant economic losses. While the virus's genetic structure is well understood, the specific strains circulating in Bolivia have remained uncharacterized until now. This study aimed to identify and characterize new IBV strains in Bolivia. Tissue samples from broilers exhibiting clinical signs of Infectious Bronchitis were screened to detect IBV using real-time RT-PCR (RT-qPCR). Positive samples with low cycle threshold (Ct) values were selected for sequencing the full S1 gene. Of the 12 samples analyzed, 10 were determined to be positive for IBV. However, only four samples yielded sufficient genetic material for sequencing and subsequent phylogenetic analysis. The results revealed the presence of GI-1 and GI-23 lineages, both belonging to genotype I (GI). The GI-1 lineage showed >99% sequence identity to the H120 and Massachusetts vaccine strains, suggesting a close relationship. In contrast, the GI-23 lineage clustered with other IBV strains, showing a distinct subclade that is genetically distant from Brazilian strains. No evidence of recombination was found. Furthermore, amino acid substitution analysis identified specific mutations in the S1 subunit, particularly in the hypervariable regions 1, 2, and 3. These mutations could potentially alter the virus's antigenicity, leading to reduced vaccine efficacy. The findings of this study highlight the importance of continued and broad genomic surveillance of circulating IBV strains and the need to improve vaccination strategies in Bolivia.

摘要

传染性支气管炎病毒(IBV)是全球家禽业的主要威胁,造成了巨大的经济损失。尽管该病毒的遗传结构已被充分了解,但直到现在,玻利维亚流行的具体毒株仍未得到描述。本研究旨在鉴定和描述玻利维亚的新型 IBV 毒株。使用实时 RT-PCR(RT-qPCR)对表现出传染性支气管炎临床症状的肉鸡组织样本进行筛选,以检测 IBV。选择具有低循环阈值(Ct)值的阳性样本进行全长 S1 基因测序。在分析的 12 个样本中,有 10 个被确定为 IBV 阳性。然而,只有 4 个样本产生了足够的遗传物质进行测序和随后的系统发育分析。结果显示存在 GI-1 和 GI-23 谱系,均属于基因型 I(GI)。GI-1 谱系与 H120 和马萨诸塞疫苗株的序列同一性>99%,表明存在密切关系。相比之下,GI-23 谱系与其他 IBV 株聚类,形成一个与巴西株遗传距离较远的独特亚分支。未发现重组证据。此外,氨基酸取代分析确定了 S1 亚单位中的特定突变,特别是在高变区 1、2 和 3 中。这些突变可能会改变病毒的抗原性,导致疫苗效力降低。本研究的结果强调了持续广泛监测循环 IBV 株以及在玻利维亚改进疫苗接种策略的重要性。

https://cdn.ncbi.nlm.nih.gov/pmc/blobs/b3da/11437422/f89c19bbc9d4/viruses-16-01463-g001.jpg

文献AI研究员

20分钟写一篇综述,助力文献阅读效率提升50倍。

立即体验

用中文搜PubMed

大模型驱动的PubMed中文搜索引擎

马上搜索

文档翻译

学术文献翻译模型,支持多种主流文档格式。

立即体验