Suppr超能文献

胆囊结石患者结肠次全切除术后艰难梭菌感染:一例病例报告及文献复习

Clostridium difficile infection following colon subtotal resection in a patient with gallstones: A case report and review of literature.

作者信息

Ke Feng, Dong Zhen-Hua, Bu Fan, Li Cheng-Nan, He Qi-Tong, Liu Zhi-Cheng, Lu Ji, Yu Kai, Wang Da-Guang, Xu He-Nan, Ye Chang-Tao

机构信息

Department of General Surgery, Affiliated Hospital of Changchun University of Chinese Medicine, Changchun 130000, Jilin Province, China.

Department of Gastrointestinal Surgery, The First Hospital of Jilin University, Changchun 130061, Jilin Province, China.

出版信息

World J Gastrointest Surg. 2024 Sep 27;16(9):3048-3056. doi: 10.4240/wjgs.v16.i9.3048.

Abstract

BACKGROUND

() infection (CDI) is a rare clinical disease caused by changes in the intestinal microenvironment, which has a variety of causes and a poor prognosis, and for which there is no standardized clinical treatment.

CASE SUMMARY

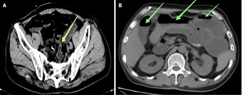
A patient experienced recurrent difficulty in bowel movements over the past decade. Recently, symptoms worsened within the last ten days, leading to a clinic visit due to constipation. The patient was subsequently referred to our department. Preoperatively, the patient was diagnosed with obstructed colon accompanied by gallstones. Empirical antibiotics were administered both before and after surgery to prevent infection. On the fourth day post-surgery, symptoms of CDI emerged. Stool cultures confirmed the presence of DNA. Treatment involved a combination of vancomycin and linezolid, resulting in the patient's successful recovery upon discharge. However, the patient failed to adhere to the prescribed medication after discharge and was discovered deceased during a follow-up two months later.

CONCLUSION

CDI is the leading cause of nosocomial post-operative care, with limited clinical cases and poor patient prognosis, and comprehensive clinical treatment guidelines are still lacking. This infection can be triggered by a variety of factors, including intestinal hypoxia, inappropriate antibiotic use, and bile acid circulation disorders. In patients with chronic bowel disease and related etiologies, prompt preoperative attention to possible CDI and preoperative bowel preparation is critical. Adequate and prolonged medication should be maintained in the treatment of CDI to prevent recurrence of the disease.

摘要

背景

艰难梭菌感染(CDI)是一种由肠道微环境变化引起的罕见临床疾病,病因多样,预后较差,且尚无标准化的临床治疗方法。

病例摘要

一名患者在过去十年中反复出现排便困难。最近,症状在过去十天内加重,因便秘前来就诊。该患者随后被转诊至我科。术前,患者被诊断为结肠梗阻伴胆结石。手术前后均给予经验性抗生素以预防感染。术后第四天,出现了CDI症状。粪便培养证实存在艰难梭菌DNA。治疗采用万古霉素和利奈唑胺联合使用,患者出院时成功康复。然而,患者出院后未遵医嘱服药,两个月后随访时被发现死亡。

结论

CDI是医院术后护理的主要原因,临床病例有限,患者预后较差,且仍缺乏全面的临床治疗指南。这种感染可由多种因素引发,包括肠道缺氧、不适当使用抗生素和胆汁酸循环紊乱。对于患有慢性肠道疾病及相关病因的患者,术前及时关注可能的CDI并进行术前肠道准备至关重要。在CDI治疗中应维持足够疗程的用药以防止疾病复发。

https://cdn.ncbi.nlm.nih.gov/pmc/blobs/45ab/11438826/cf8b8a2c55a7/WJGS-16-3048-g001.jpg

文献AI研究员

20分钟写一篇综述,助力文献阅读效率提升50倍。

立即体验

用中文搜PubMed

大模型驱动的PubMed中文搜索引擎

马上搜索

文档翻译

学术文献翻译模型,支持多种主流文档格式。

立即体验