Suppr超能文献

病灶内和病灶外组织、迁移学习和微调在乳腺病变稳健分类中的作用。

Role of inter- and extra-lesion tissue, transfer learning, and fine-tuning in the robust classification of breast lesions.

机构信息

The Modeling & Simulation Laboratory, Dunarea de Jos University of Galati, 47 Domneasca Street, Galati, 800008, Romania.

Emil Racovita Theoretical Highschool, 12-14, Regiment 11 Siret Street, Galati, 800332, Romania.

出版信息

Sci Rep. 2024 Oct 1;14(1):22754. doi: 10.1038/s41598-024-74316-5.

Abstract

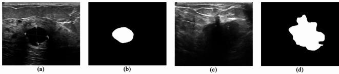
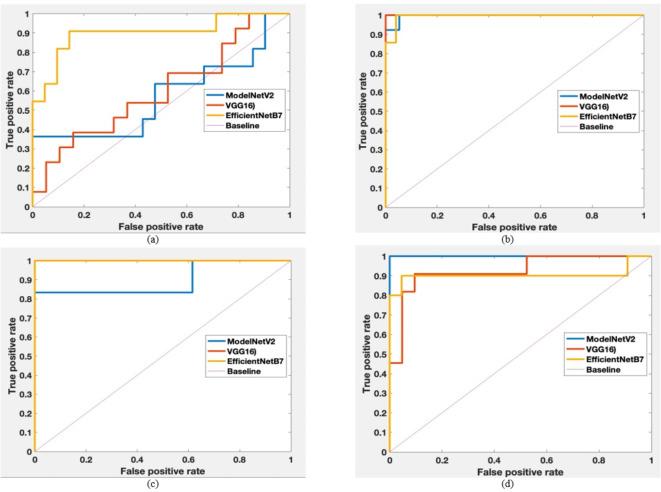
Accurate and unbiased classification of breast lesions is pivotal for early diagnosis and treatment, and a deep learning approach can effectively represent and utilize the digital content of images for more precise medical image analysis. Breast ultrasound imaging is useful for detecting and distinguishing benign masses from malignant masses. Based on the different ways in which benign and malignant tumors affect neighboring tissues, i.e., the pattern of growth and border irregularities, the penetration degree of the adjacent tissue, and tissue-level changes, we investigated the relationship between breast cancer imaging features and the roles of inter- and extra-lesional tissues and their impact on refining the performance of deep learning classification. The novelty of the proposed approach lies in considering the features extracted from the tissue inside the tumor (by performing an erosion operation) and from the lesion and surrounding tissue (by performing a dilation operation) for classification. This study uses these new features and three pre-trained deep neuronal networks to address the challenge of breast lesion classification in ultrasound images. To improve the classification accuracy and interpretability of the model, the proposed model leverages transfer learning to accelerate the training process. Three modern pre-trained CNN architectures (MobileNetV2, VGG16, and EfficientNetB7) are used for transfer learning and fine-tuning for optimization. There are concerns related to the neuronal networks producing erroneous outputs in the presence of noisy images, variations in input data, or adversarial attacks; thus, the proposed system uses the BUS-BRA database (two classes/benign and malignant) for training and testing and the unseen BUSI database (two classes/benign and malignant) for testing. Extensive experiments have recorded accuracy and AUC as performance parameters. The results indicate that the proposed system outperforms the existing breast cancer detection algorithms reported in the literature. AUC values of 1.00 are calculated for VGG16 and EfficientNet-B7 in the dilation cases. The proposed approach will facilitate this challenging and time-consuming classification task.

摘要

准确和无偏的乳腺病变分类对于早期诊断和治疗至关重要,深度学习方法可以有效地表示和利用图像的数字内容,从而进行更精确的医学图像分析。乳腺超声成像是检测和区分良性和恶性肿块的有用工具。基于良性和恶性肿瘤对邻近组织的不同影响方式,即生长模式和边界不规则性、相邻组织的穿透程度以及组织级别的变化,我们研究了乳腺癌成像特征与肿瘤内外组织的作用之间的关系,以及它们对改进深度学习分类性能的影响。所提出方法的新颖之处在于考虑了从肿瘤内部组织(通过执行腐蚀操作)和病变及周围组织(通过执行膨胀操作)中提取的特征进行分类。本研究使用这些新特征和三个预先训练的深度神经元网络来解决超声图像中乳腺病变分类的挑战。为了提高模型的分类准确性和可解释性,所提出的模型利用迁移学习来加速训练过程。使用三个现代预先训练的 CNN 架构(MobileNetV2、VGG16 和 EfficientNetB7)进行迁移学习和微调优化。存在神经元网络在存在噪声图像、输入数据变化或对抗攻击时产生错误输出的问题;因此,所提出的系统使用 BUS-BRA 数据库(良性和恶性两类)进行训练和测试,使用看不见的 BUSI 数据库(良性和恶性两类)进行测试。大量实验记录了准确性和 AUC 作为性能参数。结果表明,所提出的系统优于文献中报道的现有乳腺癌检测算法。在膨胀情况下,VGG16 和 EfficientNet-B7 的 AUC 值计算为 1.00。所提出的方法将有助于这项具有挑战性和耗时的分类任务。

https://cdn.ncbi.nlm.nih.gov/pmc/blobs/a994/11448494/2ca3185482f9/41598_2024_74316_Fig1_HTML.jpg

文献AI研究员

20分钟写一篇综述,助力文献阅读效率提升50倍。

立即体验

用中文搜PubMed

大模型驱动的PubMed中文搜索引擎

马上搜索

文档翻译

学术文献翻译模型,支持多种主流文档格式。

立即体验