Suppr超能文献

蓝花参对大鼠短暂性脑缺血后通过抑制JNK/TLR4/T3JAM/NF-κB信号通路促进M2小胶质细胞极化的神经保护作用。

Neuroprotective effects of Blume on promoting M2 microglial polarization by inhibiting JNK/TLR4/T3JAM/NF-κB signaling after transient ischemic stroke in rats.

作者信息

Huang Shang-Chih, Huang Hui-Chi, Liao Wen-Ling, Kao Shung-Te, Cheng Chin-Yi

机构信息

Department of Neurology, China Medical University Hospital, Taichung, Taiwan.

School of Chinese Medicine, College of Chinese Medicine, China Medical University, Taichung, Taiwan.

出版信息

Front Pharmacol. 2024 Sep 25;15:1469602. doi: 10.3389/fphar.2024.1469602. eCollection 2024.

Abstract

BACKGROUND

Blume, also called Tian Ma (TM), has been used to treat stroke for centuries. However, its effects on inflammation in acute cerebral ischemic injury and underlying mechanisms involved in microglial polarization remain unknown. The present study explored the effects of the TM extract on the modulation of microglial M1/M2 polarization 2 days after transient cerebral ischemia.

METHODS

Male Sprague Dawley rats were intracerebroventricularly administered with 1% dimethyl sulfoxide 25 min before cerebral ischemia and subsequently intraperitoneally administered 0.25 g/kg (DO + TM-0.25 g), 0.5 g/kg (DO + TM-0.5 g), or 1 g/kg (DO + TM-1 g) of the TM extract after cerebral ischemia onset.

RESULTS

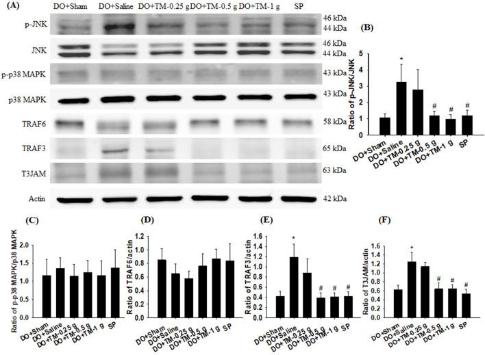
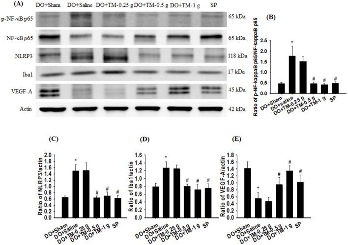
DO + TM-0.5 g and DO + TM-1 g treatments downregulated the following: phospho-c-Jun N-terminal kinase (p-JNK)/JNK, tumor necrosis factor (TNF) receptor-associated factor 3 (TRAF3), TRAF3-interacting JNK-activating modulator (T3JAM), p-nuclear factor-kappa B p65 (p-NF-κB p65)/NF-κB p65, ionized calcium-binding adapter molecule 1 (Iba1), CD86, TNF-α, interleukin (IL)-1β, and IL-6 expression and toll-like receptor 4 (TLR4)/Iba1, CD86/Iba1, and p-NF-κB p65/Iba1 coexpression. These treatments also upregulated IL-10, nerve growth factor, and vascular endothelial growth factor A expression and YM-1/2/Iba1 and IL-10/neuronal nuclei coexpression in the cortical ischemic rim. The JNK inhibitor SP600125 exerted similar treatment effects as the DO + TM-0.5 g and DO + TM-1 g treatments.

CONCLUSION

DO + TM-0.5 g and DO + TM-1 g/kg treatments attenuate cerebral infarction by inhibiting JNK-mediated signaling. TM likely exerts the neuroprotective effects of promoting M1 to M2 microglial polarization by inhibiting JNK/TLR4/T3JAM/NF-κB-mediated signaling in the cortical ischemic rim 2 days after transient cerebral ischemia.

摘要

背景

天麻,又称天麻(TM),数世纪以来一直用于治疗中风。然而,其对急性脑缺血损伤炎症的影响以及小胶质细胞极化所涉及的潜在机制仍不清楚。本研究探讨了天麻提取物对短暂性脑缺血2天后小胶质细胞M1/M2极化调节的影响。

方法

雄性Sprague Dawley大鼠在脑缺血前25分钟脑室内注射1%二甲基亚砜,随后在脑缺血发作后腹腔注射0.25 g/kg(DO + TM-0.25 g)、0.5 g/kg(DO + TM-0.5 g)或1 g/kg(DO + TM-1 g)的天麻提取物。

结果

DO + TM-0.5 g和DO + TM-1 g治疗下调了以下指标:磷酸化c-Jun氨基末端激酶(p-JNK)/JNK、肿瘤坏死因子(TNF)受体相关因子3(TRAF3)、TRAF3相互作用的JNK激活调节剂(T3JAM)、磷酸化核因子-κB p65(p-NF-κB p65)/NF-κB p65、离子钙结合衔接分子1(Iba1)、CD86、TNF-α、白细胞介素(IL)-1β和IL-6的表达以及Toll样受体4(TLR4)/Iba1、CD8/Iba1和p-NF-κB p65/Iba1的共表达。这些治疗还上调了皮质缺血边缘区IL-10、神经生长因子和血管内皮生长因子A的表达以及Ym-1/2/Iba1和IL-10/神经元核的共表达。JNK抑制剂SP600125发挥了与DO + TM-0.5 g和DO + TM-1 g治疗相似的治疗效果。

结论

DO + TM-0.5 g和DO + TM-1 g/kg治疗通过抑制JNK介导的信号传导减轻脑梗死。天麻可能通过在短暂性脑缺血2天后抑制皮质缺血边缘区JNK/TLR4/T3JAM/NF-κB介导的信号传导,发挥促进小胶质细胞从M1向M2极化的神经保护作用。

https://cdn.ncbi.nlm.nih.gov/pmc/blobs/5321/11465390/957519234c43/fphar-15-1469602-g001.jpg

文献AI研究员

20分钟写一篇综述,助力文献阅读效率提升50倍。

立即体验

用中文搜PubMed

大模型驱动的PubMed中文搜索引擎

马上搜索

文档翻译

学术文献翻译模型,支持多种主流文档格式。

立即体验