Suppr超能文献

骨肉瘤的影像学:呈现的表现、转移模式及与预后相关的特征

Imaging of Osteosarcoma: Presenting Findings, Metastatic Patterns, and Features Related to Prognosis.

作者信息

Crombé Amandine, Simonetti Mario, Longhi Alessandra, Hauger Olivier, Fadli David, Spinnato Paolo

机构信息

SARCOTARGET Team, Bordeaux Research Institute in Oncology (BRIC) INSERM U1312 & University of Bordeaux, F-33076 Bordeaux, France.

Department of Skeletal Radiology, Pellegrin University Hospital, F-33076 Bordeaux, France.

出版信息

J Clin Med. 2024 Sep 25;13(19):5710. doi: 10.3390/jcm13195710.

Abstract

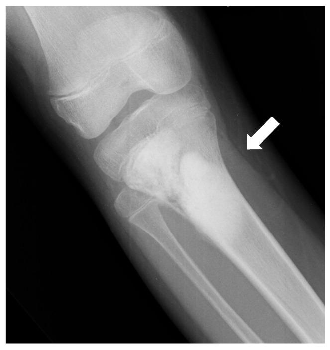
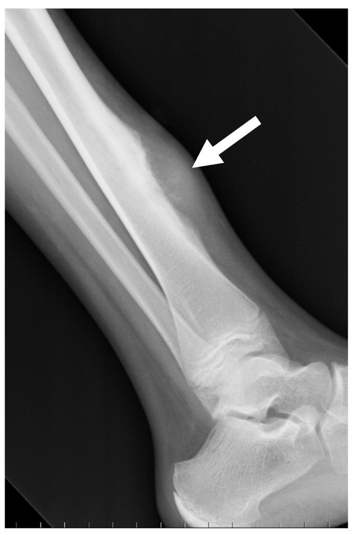
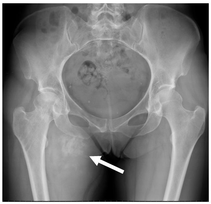
Osteosarcomas are rare malignancies (<1% of all cancers) that produce an osteoid matrix. Osteosarcomas are the second most frequent type of primary bone tumor after multiple myeloma and the most prevalent primary bone tumor in children. The spectrum of imaging findings of these malignancies varies significantly, reflecting different histological subtypes. For instance, conventional osteosarcoma typically presents with a mixed radiological pattern (lytic and bone mineralization) or with a completely eburneous one; aggressive periosteal reactions such as sunburst, Codman triangle, and soft-tissue components are frequently displayed. On the other hand, telangiectatic osteosarcoma usually presents as a purely lytic lesion with multiple fluid-fluid levels on MRI fluid-sensitive sequences. Other typical and atypical radiological patterns of presentation in other subtypes of osteosarcomas are described in this review. In addition to the characteristics associated with osteosarcoma subtyping, this review article also focuses on imaging features that have been associated with patient outcomes, namely response to chemotherapy and event-free and overall survivals. This includes simple semantic radiological features (such as tumor dimensions, anatomical location with difficulty of radical surgery, occurrence of pathological fractures, and presence of distant metastases), but also quantitative imaging parameters from diffusion-weighted imaging, dynamic contrast-enhanced MRI, and 18F-FDG positron emission tomography and radiomics approaches. Other particular features are described in the text. Overall, this comprehensive literature review aims to be a practical tool for oncologists, pathologists, surgeons, and radiologists involved in these patients' care.

摘要

骨肉瘤是一种罕见的恶性肿瘤(占所有癌症的比例不到1%),可产生类骨质基质。骨肉瘤是继多发性骨髓瘤之后第二常见的原发性骨肿瘤类型,也是儿童中最常见的原发性骨肿瘤。这些恶性肿瘤的影像学表现谱差异很大,反映了不同的组织学亚型。例如,传统骨肉瘤通常表现为混合性放射学模式(溶骨性和骨矿化)或完全骨化模式;常显示侵袭性骨膜反应,如日光放射状、科德曼三角和软组织成分。另一方面,毛细血管扩张性骨肉瘤通常表现为纯溶骨性病变,在MRI液体敏感序列上有多个液-液平面。本文综述了骨肉瘤其他亚型的其他典型和非典型放射学表现模式。除了与骨肉瘤亚型相关的特征外,本文还重点关注与患者预后相关的影像学特征,即对化疗的反应、无事件生存期和总生存期。这包括简单的语义放射学特征(如肿瘤大小、根治性手术困难的解剖位置、病理性骨折的发生以及远处转移的存在),也包括扩散加权成像、动态对比增强MRI、18F-FDG正电子发射断层扫描和放射组学方法的定量成像参数。文中还描述了其他特殊特征。总体而言,这篇全面的文献综述旨在成为参与这些患者护理的肿瘤学家、病理学家、外科医生和放射科医生的实用工具。

https://cdn.ncbi.nlm.nih.gov/pmc/blobs/1c1e/11477067/75b569c2475a/jcm-13-05710-g001.jpg

文献AI研究员

20分钟写一篇综述,助力文献阅读效率提升50倍。

立即体验

用中文搜PubMed

大模型驱动的PubMed中文搜索引擎

马上搜索

文档翻译

学术文献翻译模型,支持多种主流文档格式。

立即体验