Suppr超能文献

一例复发性弥漫性大B细胞淋巴瘤继发肠道穿孔的胃肠道球孢子菌病病例

A Case of Gastrointestinal Coccidiomycosis With Bowel Perforation Secondary to Relapsing DLBCL.

作者信息

Ahsan Mohammed, Browne Angelina, Anderson Zackary, Witherell Rebecca

机构信息

Resident at NCH Healthcare System, Naples, Florida, USA.

出版信息

J Community Hosp Intern Med Perspect. 2024 Jul 2;14(4):89-92. doi: 10.55729/2000-9666.1376. eCollection 2024.

Abstract

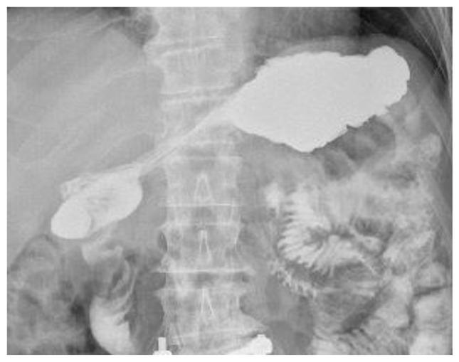
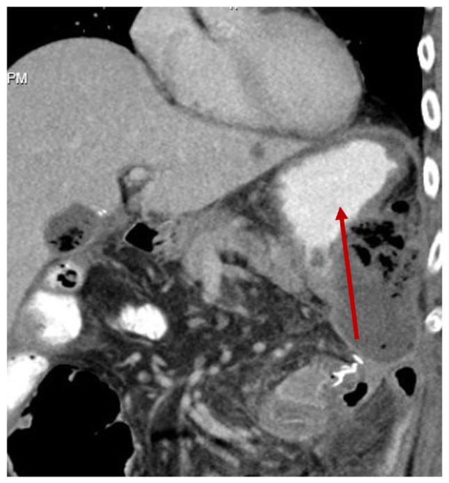
Coccidioides is a fungus endemic to the Southwestern United States, known for causing Valley Fever. While typically asymptomatic or presenting as a respiratory tract infection, rare cases of disseminated infection to the peritoneum have been reported. The patient in this case study presented with a small bowel obstruction, requiring an exploratory laparoscopy showing evidence of an inflammatory mass with a jejuna-colic fistula with adherence to the spleen. The patient underwent splenectomy with a cholecystectomy and small bowel resection. Intraabdominal cultures revealed Coccidioides, and so he started long-term antifungal treatment. The patient was also initiated on salvage chemotherapy for DLBCL, and ultimately received CAR T-Cell therapy at a tertiary center. This case report highlights a unique presentation of gastrointestinal Coccidioides infection, in the setting of an immunocompromised host with a hematologic malignancy. It also provides insight into the therapeutic challenges clinicians face when treating complicated patients such as this who require urgent chemotherapy while risking further immunosuppression in the setting of active infection.

摘要

球孢子菌是一种美国西南部特有的真菌,以引起山谷热而闻名。虽然通常无症状或表现为呼吸道感染,但也有罕见的播散至腹膜感染的病例报道。本病例研究中的患者表现为小肠梗阻,需要进行 exploratory laparoscopy(此处可能有误,推测为“ exploratory laparotomy”即剖腹探查术),结果显示有炎性肿块、空肠结肠瘘并与脾脏粘连。患者接受了脾切除术、胆囊切除术和小肠切除术。腹腔内培养发现了球孢子菌,因此他开始接受长期抗真菌治疗。该患者还开始接受弥漫性大 B 细胞淋巴瘤(DLBCL)的挽救性化疗,最终在一家三级中心接受了嵌合抗原受体 T 细胞(CAR T-Cell)治疗。本病例报告强调了在免疫功能低下且患有血液系统恶性肿瘤的宿主中,胃肠道球孢子菌感染的独特表现。它还揭示了临床医生在治疗此类复杂患者时所面临的治疗挑战,这些患者需要紧急化疗,同时在有活动性感染的情况下又有进一步免疫抑制的风险。

https://cdn.ncbi.nlm.nih.gov/pmc/blobs/22ab/11486447/3b5e3520369f/jchim-14-04-089f1.jpg

文献AI研究员

20分钟写一篇综述,助力文献阅读效率提升50倍。

立即体验

用中文搜PubMed

大模型驱动的PubMed中文搜索引擎

马上搜索

文档翻译

学术文献翻译模型,支持多种主流文档格式。

立即体验