Suppr超能文献

铜补充缓解低氧诱导的神经元细胞铁死亡和氧化应激。

Copper supplementation alleviates hypoxia‑induced ferroptosis and oxidative stress in neuronal cells.

机构信息

Department of Occupational and Environmental Health and the Ministry‑of‑Education's Key Laboratory of Hazard Assessment and Control in Special Operational Environment, School of Preventive Medicine, Fourth Military Medical University, Xi'an, Shaanxi 710032, P.R. China.

出版信息

Int J Mol Med. 2024 Dec;54(6). doi: 10.3892/ijmm.2024.5441. Epub 2024 Oct 18.

Abstract

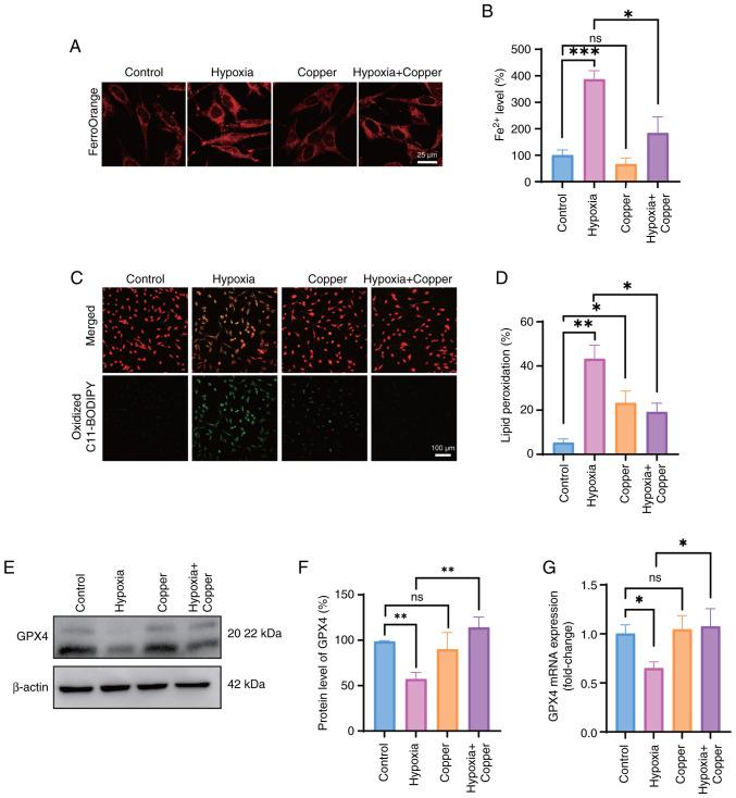
Hypoxic ischemia is the primary cause of brain damage in newborns. Notably, copper supplementation has potential benefits in ischemic brain damage; however, the precise mechanisms underlying this protective effect remain unclear. In the present study, a hypoxic HT22 cell model was developed to examine the mechanism by which copper mitigates hypoxia‑induced oxidative stress. Cell viability was assessed using the Cell Counting Kit‑8 assay, mitochondrial structure was examined with a transmission electron microscope, intracellular ferrous ions and lipid reactive oxygen species levels in HT22 cells were measured using FerroOrange and BODIPY 581/591 C11 staining, copper content was determined using graphite furnace atomic absorption spectroscopy, and gene and protein expression were analyzed by reverse transcription‑quantitative PCR and western blotting. The present findings indicated that hypoxic exposure may lead to reduced cell viability, along with the upregulation of various markers associated with ferroptosis. Furthermore, hypoxia elevated the levels of reactive oxygen species, hydrogen peroxide and malondialdehyde, and decreased the activity of superoxide dismutase 1 (SOD1) in HT22 cells. In addition, the intracellular copper concentration exhibited a notable decrease, while supplementation with an appropriate dose of copper effectively shielded neurons from hypoxia‑induced oxidative stress and ferroptosis, and elevated cell viability in hypoxia‑exposed HT22 cells through the copper chaperone for superoxide dismutase/SOD1/glutathione peroxidase 4 axis. In conclusion, the present study identified a novel function of copper in protecting neurons from oxidative stress and ferroptosis under hypoxic conditions, providing fresh insights into the therapeutic potential of copper in mitigating hypoxia‑induced neuronal injury.

摘要

缺氧缺血是新生儿脑损伤的主要原因。值得注意的是,铜补充剂对缺血性脑损伤具有潜在益处;然而,这种保护作用的确切机制仍不清楚。在本研究中,建立了缺氧 HT22 细胞模型,以研究铜减轻缺氧诱导的氧化应激的机制。使用细胞计数试剂盒-8 测定细胞活力,用透射电子显微镜检查线粒体结构,用 FerroOrange 和 BODIPY 581/591 C11 染色测定 HT22 细胞内亚铁离子和脂质活性氧水平,用石墨炉原子吸收光谱法测定铜含量,用逆转录-定量 PCR 和蛋白质印迹分析基因和蛋白质表达。本研究结果表明,缺氧暴露可能导致细胞活力降低,并上调与铁死亡相关的各种标志物。此外,缺氧增加了活性氧、过氧化氢和丙二醛的水平,并降低了 HT22 细胞中超氧化物歧化酶 1 (SOD1)的活性。此外,细胞内铜浓度显著下降,而适当剂量的铜补充剂可有效保护神经元免受缺氧诱导的氧化应激和铁死亡,并通过超氧化物歧化酶/SOD1/谷胱甘肽过氧化物酶 4 轴的铜伴侣提高缺氧暴露的 HT22 细胞中的细胞活力。总之,本研究确定了铜在保护神经元免受缺氧条件下氧化应激和铁死亡中的新功能,为铜在减轻缺氧诱导的神经元损伤中的治疗潜力提供了新的见解。

https://cdn.ncbi.nlm.nih.gov/pmc/blobs/04e6/11518577/c4c86f2aae19/ijmm-54-06-05441-g00.jpg

文献AI研究员

20分钟写一篇综述,助力文献阅读效率提升50倍。

立即体验

用中文搜PubMed

大模型驱动的PubMed中文搜索引擎

马上搜索

文档翻译

学术文献翻译模型,支持多种主流文档格式。

立即体验