Suppr超能文献

探讨紫檀芪诱导癌细胞铁死亡的机制:NRF2/xCT/GPX4 轴介导的线粒体功能障碍研究进展。

Exploring the Mechanism of Ferroptosis Induction by Sappanone A in Cancer: Insights into the Mitochondrial Dysfunction Mediated by NRF2/xCT/GPX4 Axis.

机构信息

School of Pharmaceutical Sciences, Guangzhou University of Chinese Medicine, Guangzhou, Guangdong, 510006, China.

State Key Laboratory of Dampness Syndrome of Chinese Medicine, The Second Affiliated Hospital of Guangzhou University of Chinese Medicine, Guangzhou, Guangdong, 510006, China.

出版信息

Int J Biol Sci. 2024 Sep 23;20(13):5145-5161. doi: 10.7150/ijbs.96748. eCollection 2024.

Abstract

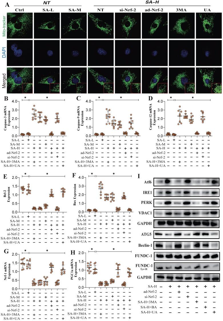
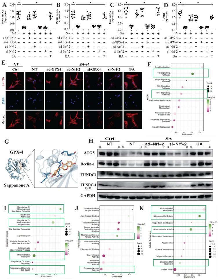
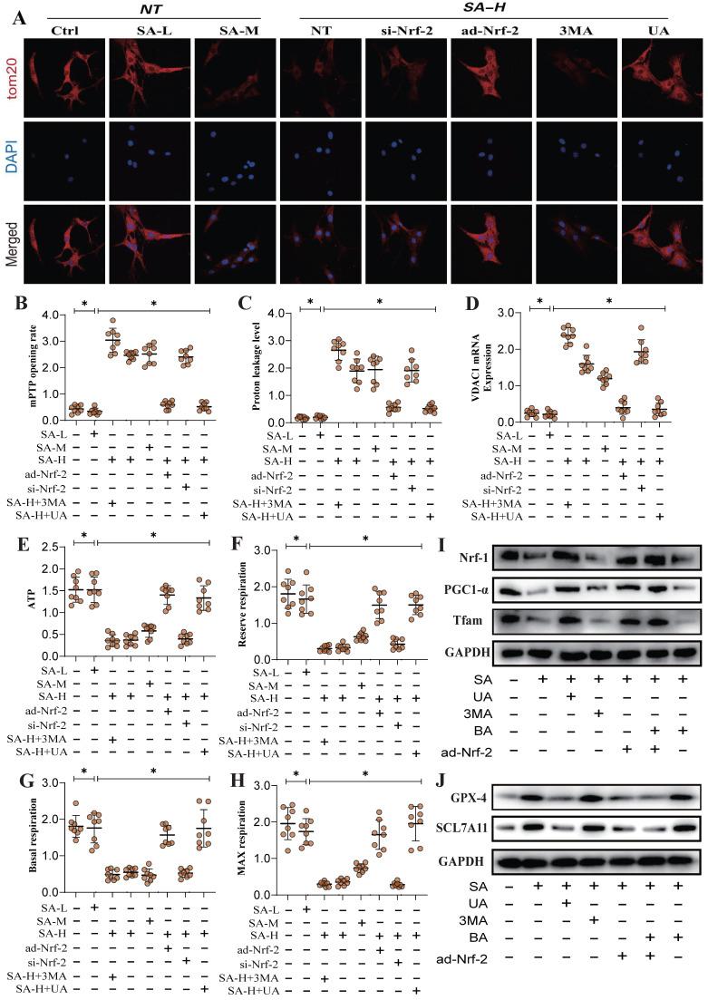
Non-small cell lung cancer (NSCLC), a major subtype of lung cancer, encompasses squamous cell carcinoma, adenocarcinoma, and large cell carcinoma. Compared to small cell lung cancer, NSCLC cells grow and divide more slowly, and their metastasis occurs at a later stage. Currently, chemotherapy is the primary treatment for this disease. Sappanone A (SA) is a flavonoid compound extracted from the plant Caesalpinia sappan, known for its antitumor, redox-regulating, and anti-inflammatory properties. Recent studies have investigated the interaction of SA with mitochondrial pathways in regulating cell death through the Nrf-2/GPX-4/xCT axis. This study specifically explores the mechanism by which SA affects mitochondrial morphology and structure through the regulation of mitophagy and mitochondrial biogenesis in tumor cells. The study primarily utilizes second-generation transcriptomic sequencing data and molecular docking techniques to elucidate the role of SA in regulating programmed cell death in tumor cells. The omics results indicate that SA treatment significantly targets genes involved in oxidative phosphorylation, mitophagy, mitochondrial dynamics, and oxidative stress. Further findings confirmed that the Nrf-2/GPX4/xCT pathway serves as a crucial target of SA in the treatment of NSCLC. Knockdown of Nrf-2 (si-Nrf-2) and Nrf-2 overexpression (ad-Nrf-2) were shown to modulate the therapeutic efficacy of SA to varying degrees. Additionally, modifications to the GPX4/xCT genes significantly affected the regulatory effects of SA on mitochondrial autophagy, biogenesis, and energy metabolism. These regulatory mechanisms may be mediated through the caspase pathway and ferroptosis-related signaling. Molecular biology experiments have demonstrated that SA intervention further inhibits the phosphorylation of FUNDC1 at Tyr18 and downregulates TOM20 expression. SA treatment was found to reduce the expression of PGC1α, Nrf-1, and Tfam, resulting in a decrease in mitochondrial respiration and energy metabolism. Overexpression of Nrf-2 was shown to counteract the regulatory effects of SA on mitophagy and mitochondrial biogenesis. Confocal microscopy experiments further revealed that SA treatment increases mitochondrial fragmentation, subsequently inducing mitochondrial pathway-mediated programmed cell death. However, genetic modification of the Nrf-2/GPX4/xCT pathway significantly altered the regulatory effects of SA on tumor cells. In conclusion, SA has been identified as a promising therapeutic agent for NSCLC. The mitochondrial pathway-mediated apoptosis and ferroptosis may represent key mechanisms in regulating tumor cell death. Targeting the Nrf-2/GPX-4/xCT axis offers a novel therapeutic approach for maintaining mitochondrial homeostasis within the cellular microenvironment.

摘要

非小细胞肺癌(NSCLC)是肺癌的主要亚型之一,包括鳞状细胞癌、腺癌和大细胞癌。与小细胞肺癌相比,NSCLC 细胞生长和分裂速度较慢,转移发生在较晚的阶段。目前,化疗是这种疾病的主要治疗方法。苏木酮 A(SA)是从植物苏木中提取的一种类黄酮化合物,具有抗肿瘤、氧化还原调节和抗炎作用。最近的研究表明,SA 通过 Nrf-2/GPX-4/xCT 轴与线粒体途径相互作用调节细胞死亡。这项研究专门探讨了 SA 通过调节肿瘤细胞中的自噬和线粒体生物发生来影响线粒体形态和结构的机制。该研究主要利用第二代转录组测序数据和分子对接技术来阐明 SA 在调节肿瘤细胞程序性细胞死亡中的作用。组学结果表明,SA 处理显著靶向参与氧化磷酸化、自噬、线粒体动力学和氧化应激的基因。进一步的研究结果证实,Nrf-2/GPX4/xCT 通路是 SA 治疗 NSCLC 的关键靶点。Nrf-2 的敲低(si-Nrf-2)和 Nrf-2 的过表达(ad-Nrf-2)显示出对 SA 治疗效果的不同程度的调节作用。此外,GPX4/xCT 基因的修饰显著影响了 SA 对线粒体自噬、生物发生和能量代谢的调节作用。这些调节机制可能是通过半胱氨酸蛋白酶途径和铁死亡相关信号转导介导的。分子生物学实验表明,SA 干预进一步抑制 FUNDC1 在 Tyr18 处的磷酸化,并下调 TOM20 的表达。SA 处理导致 PGC1α、Nrf-1 和 Tfam 的表达减少,从而降低线粒体呼吸和能量代谢。Nrf-2 的过表达抵消了 SA 对自噬和线粒体生物发生的调节作用。共聚焦显微镜实验进一步表明,SA 处理增加线粒体片段化,随后诱导线粒体途径介导的程序性细胞死亡。然而,Nrf-2/GPX4/xCT 通路的遗传修饰显著改变了 SA 对肿瘤细胞的调节作用。总之,SA 被鉴定为 NSCLC 的一种有前途的治疗药物。线粒体途径介导的细胞凋亡和铁死亡可能是调节肿瘤细胞死亡的关键机制。靶向 Nrf-2/GPX-4/xCT 轴为维持细胞微环境中的线粒体动态平衡提供了一种新的治疗方法。

https://cdn.ncbi.nlm.nih.gov/pmc/blobs/6895/11488586/2f6401abfb91/ijbsv20p5145g001.jpg

文献AI研究员

20分钟写一篇综述,助力文献阅读效率提升50倍。

立即体验

用中文搜PubMed

大模型驱动的PubMed中文搜索引擎

马上搜索

文档翻译

学术文献翻译模型,支持多种主流文档格式。

立即体验