Suppr超能文献

经血来源间充质干细胞通过 CXCL13-CXCR5 信号轴修复宫腔粘连及其机制。

Intrauterine adhesions repair with menstrual blood-derived mesenchymal stem cells via CXCL13-CXCR5 signal axis and its mechanism.

机构信息

Department of Obstetrics and Gynecology, West China Second University Hospital, Sichuan University, Number 20, Third Section of People's South Road, Chengdu, 610000, China.

Key Laboratory of Birth Defects and Related Diseases of Women and Children, Sichuan University, Ministry of Education, Chengdu, China.

出版信息

Stem Cell Res Ther. 2024 Oct 25;15(1):380. doi: 10.1186/s13287-024-03996-7.

Abstract

BACKGROUD

Intrauterine Adhesions (IUA) is a common gynecological disease which is seriously endangers the reproductive function of women without any ideal treatment. Some researchers found Menstrual Blood-derived Mesenchymal Stem Cells (MenSCs) can repair of damaged endometrium, however, has not been fully clarified. This study aims to evaluate the therapeutic effects of MenSCs in IUA and the repair mechanism in vivo.

METHODS

This study is Laboratory-based study. To evaluate the therapeutic effects of MenSCs in IUA, We cultivated MenSCs, established mouse endometrial injury model, observed the uterine morphology and degree of endometrial fibrosis and compared the expression of CXC chemokine ligand-13 (CXCL13)、CXC chemokine receptor-5 (CXCR5)、Plasmin Activating Inhibitor-1(Pai-1), Transforming Growth Faction-β1(TGF- β1) and Matrix Metalloproteinase-9 (Mmp-9) among each groups. GraphPad Prism 8.0 was used for statistical processing. Data were expressed as mean ± SD. Statistical comparisons among groups were performed with one-way ANOVA. P < 0.05 were considered statistically significant.

RESULTS

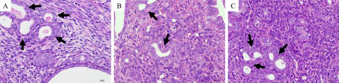
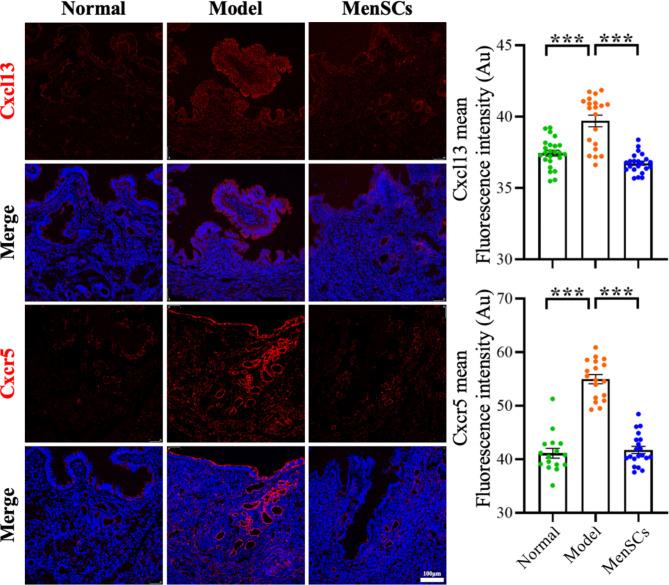
We successfully cultured and identified MenSCs and established mice model of uterine adhesion. After treatment with MenSCs, endometrial morphology of mice was partially restored, endometrial thickness was increased, and glands were multipiled. The concentrations of CXCL13 and CXCR5 were significantly increased by immunofluorescence detection compared with the control group. The results of RT-qPCR showed that the expressions of Pai-1 and Mmp-9 were significantly lower than those of the control group.

CONCLUSIONS

MenSCs may reduce endometrial fibrosis and the down-regulating expression of Pai-1、Mmp-9 and CXCL13-CXCR5 axis were involved in the process of MenSCs repaired IUA.

摘要

背景

宫腔粘连(IUA)是一种常见的妇科疾病,严重危害着女性的生殖功能,目前尚无理想的治疗方法。一些研究人员发现,经血来源的间充质干细胞(MenSCs)可以修复受损的子宫内膜,但具体机制尚不清楚。本研究旨在评估 MenSCs 治疗 IUA 的疗效及其在体内的修复机制。

方法

这是一项基于实验室的研究。为了评估 MenSCs 在 IUA 中的治疗效果,我们培养了 MenSCs,建立了小鼠子宫内膜损伤模型,观察了子宫形态和子宫内膜纤维化程度,并比较了各组中趋化因子配体 13(CXCL13)、趋化因子受体 5(CXCR5)、纤溶酶原激活物抑制剂 1(Pai-1)、转化生长因子-β1(TGF-β1)和基质金属蛋白酶-9(Mmp-9)的表达。GraphPad Prism 8.0 用于统计处理。数据表示为平均值±标准差。采用单因素方差分析比较组间差异。P<0.05 表示具有统计学意义。

结果

我们成功培养和鉴定了 MenSCs,并建立了小鼠子宫粘连模型。经 MenSCs 治疗后,小鼠子宫内膜形态部分恢复,子宫内膜厚度增加,腺体增多。免疫荧光检测显示,与对照组相比,CXCL13 和 CXCR5 的浓度明显升高。RT-qPCR 结果显示,Pai-1 和 Mmp-9 的表达明显低于对照组。

结论

MenSCs 可能通过减少子宫内膜纤维化,下调 Pai-1、Mmp-9 和 CXCL13-CXCR5 轴的表达,参与 MenSCs 修复 IUA 的过程。

https://cdn.ncbi.nlm.nih.gov/pmc/blobs/58b3/11515831/42a38f2f85a5/13287_2024_3996_Fig1_HTML.jpg

文献AI研究员

20分钟写一篇综述,助力文献阅读效率提升50倍。

立即体验

用中文搜PubMed

大模型驱动的PubMed中文搜索引擎

马上搜索

文档翻译

学术文献翻译模型,支持多种主流文档格式。

立即体验