Suppr超能文献

5-氟尿嘧啶联合 CalliSphere 载药微球与常规经动脉化疗栓塞治疗不可切除肝细胞癌:倾向评分加权分析。

5-Fluorouracil combined with CalliSphere drug-eluting beads or conventional transarterial chemoembolization for unresectable hepatocellular carcinoma: a propensity score weighting analysis.

机构信息

Sichuan Key Laboratory of Medical Imaging, Department of Radiology, The Affiliated Hospital of North Sichuan Medical College, Nanchong, 637000, China.

Sichuan Key Laboratory of Medical Imaging, Department of Ultrasound, The Affiliated Hospital of North Sichuan Medical College, Nanchong, 637000, China.

出版信息

Sci Rep. 2024 Oct 26;14(1):25588. doi: 10.1038/s41598-024-77531-2.

Abstract

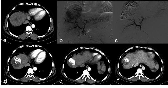
This study aimed to assess the effectiveness and safety of 5-Fluorouracil (5-Fu) combined with conventional transarterial chemoembolization (cTACE) compared to 5-Fu combined with drug-eluting bead transarterial chemoembolization (DEB-TACE) using CalliSpheres for the treatment of unresectable hepatocellular carcinoma (HCC) using propensity score weighting methods. This retrospective analysis included 131 patients with HCC treated with 5-Fu combined with cTACE (5-Fu-cTACE group, n = 65) or DEB-TACE (5-Fu-DEB-TACE group, n = 66) at the Affiliated Hospital of North Sichuan Medical College from January 2019 to December 2022. Based on the baseline data and laboratory indicators, propensity score weighting was used to reduce confounding bias. Modified response evaluation criteria in solid tumors (mRECIST) were used to evaluate clinical efficacy. The primary endpoint was progression-free survival (PFS), and the secondary endpoints were the disease control rate (DCR), objective response rate (ORR) and adverse events (AEs). PFS was assessed using Kaplan‒Meier analysis and Cox proportional hazards models. The ORRs at 1 month (M1) after treatment in the 5-Fu-DEB-TACE group and 5-Fu-cTACE group were 90.9% and 76.9%, respectively (P = 0.029), while at this time, the DCRs were 93.9% in the 5-Fu-DEB-TACE group and 90.8% in the 5-Fu-cTACE group (P = 0.494). At 3 months (M3) after treatment, the 5-Fu-DEB-TACE group had a higher ORR (84.8% vs. 56.9%, P < 0.001) and DCR (84.8% vs. 72.3%, P = 0.08). The ORR at 6 months (M6) was also higher in the 5-Fu-DEB-TACE group than in the 5-Fu-cTACE group (72.7% vs. 50.8%, P = 0.01). The median PFS after treatment with 5-Fu-DEB-TACE was longer than that after treatment with 5-Fu-cTACE (11 months vs. 6 months) (P = 0.004). Cox proportional hazards regression analysis indicated that 5-Fu-DEB-TACE (HR = 0.590, P = 0.044), Model for End-Stage Liver Disease (MELD) intermediate risk (HR = 2.470, P = 0.010), BCLC stage B (HR = 2.303, P = 0.036), BCLC stage C (HR = 3.354, P = 0.002) and ascitic fluid (HR = 2.004, P = 0.046) were independent predictors of PFS. No treatment-related deaths occurred in this study. The 5-Fu-DEB-TACE group had a greater incidence of abdominal pain (72.7% vs. 47.7%, P = 0.003). However, the incidence of postoperative elevated transaminase levels was higher in the 5-Fu-cTACE group (83.1% vs. 66.6%, P = 0.031). Subgroups analysis showed patients receiving 5-Fu-DEB-TACE have better PFS compared to those receiving 5-Fu-cTACE in the BCLC stage A group (P = 0.0093), BCLC stage B group (P = 0.0096), multifocal group (P = 0.0056), Child-Pugh stage A group (P<0.001), non- extrahepatic metastasis group (P = 0.022), non-vascular invasion group (P = 0.0093), and the group with a largest tumor diameter ≥ 5 cm (P = 0.0048). At M1, M3, and M6, patients with preserved liver function and in some cases of low tumor burden had higher Objective Response Rate (ORR) and Disease Control Rate (DCR) (P < 0.05). Compared with 5-Fu-cTACE, 5-Fu-DEB-TACE has superior therapeutic efficacy, prolongs PFS, and reduces hepatotoxicity. However, it is associated with an increased incidence of postoperative abdominal pain.

摘要

本研究旨在使用倾向性评分加权方法评估氟尿嘧啶(5-Fu)联合常规经导管动脉化疗栓塞(cTACE)与 5-Fu 联合载药微球经导管动脉化疗栓塞(DEB-TACE)用于治疗不可切除肝细胞癌(HCC)的有效性和安全性。这项回顾性分析纳入了 2019 年 1 月至 2022 年 12 月在川北医学院附属医院接受 5-Fu 联合 cTACE(5-Fu-cTACE 组,n=65)或 DEB-TACE(5-Fu-DEB-TACE 组,n=66)治疗的 131 例 HCC 患者。根据基线数据和实验室指标,采用倾向性评分加权法降低混杂偏倚。采用改良实体瘤反应评价标准(mRECIST)评价临床疗效。主要终点为无进展生存期(PFS),次要终点为疾病控制率(DCR)、客观缓解率(ORR)和不良事件(AEs)。采用 Kaplan-Meier 分析和 Cox 比例风险模型评估 PFS。治疗后 1 个月(M1)时,5-Fu-DEB-TACE 组和 5-Fu-cTACE 组的 ORR 分别为 90.9%和 76.9%(P=0.029),而此时,5-Fu-DEB-TACE 组和 5-Fu-cTACE 组的 DCR 分别为 93.9%和 90.8%(P=0.494)。治疗后 3 个月(M3)时,5-Fu-DEB-TACE 组的 ORR(84.8% vs. 56.9%,P<0.001)和 DCR(84.8% vs. 72.3%,P=0.08)更高。6 个月(M6)时,5-Fu-DEB-TACE 组的 ORR 也高于 5-Fu-cTACE 组(72.7% vs. 50.8%,P=0.01)。5-Fu-DEB-TACE 治疗后的中位 PFS 长于 5-Fu-cTACE 治疗后的中位 PFS(11 个月 vs. 6 个月)(P=0.004)。Cox 比例风险回归分析表明,5-Fu-DEB-TACE(HR=0.590,P=0.044)、终末期肝病模型(MELD)中危(HR=2.470,P=0.010)、BCLC 分期 B(HR=2.303,P=0.036)、BCLC 分期 C(HR=3.354,P=0.002)和腹水(HR=2.004,P=0.046)是 PFS 的独立预测因素。本研究无治疗相关死亡病例。5-Fu-DEB-TACE 组腹痛发生率更高(72.7% vs. 47.7%,P=0.003)。然而,5-Fu-cTACE 组术后转氨酶升高的发生率更高(83.1% vs. 66.6%,P=0.031)。亚组分析显示,BCLC 分期 A 组(P=0.0093)、BCLC 分期 B 组(P=0.0096)、多灶性组(P=0.0056)、Child-Pugh 分级 A 组(P<0.001)、无肝外转移组(P=0.022)、无血管侵犯组(P=0.0093)和最大肿瘤直径≥5 cm 组(P=0.0048)中,接受 5-Fu-DEB-TACE 治疗的患者与接受 5-Fu-cTACE 治疗的患者相比,PFS 更好。在 M1、M3 和 M6,保留肝功能和某些情况下低肿瘤负荷的患者具有更高的客观缓解率(ORR)和疾病控制率(DCR)(P<0.05)。与 5-Fu-cTACE 相比,5-Fu-DEB-TACE 具有更好的治疗效果,可延长 PFS,并降低肝毒性。然而,它与术后腹痛发生率增加有关。

https://cdn.ncbi.nlm.nih.gov/pmc/blobs/73b7/11513126/443223551e4c/41598_2024_77531_Fig1_HTML.jpg

文献AI研究员

20分钟写一篇综述,助力文献阅读效率提升50倍。

立即体验

用中文搜PubMed

大模型驱动的PubMed中文搜索引擎

马上搜索

文档翻译

学术文献翻译模型,支持多种主流文档格式。

立即体验