Suppr超能文献

三维经阴道超声诊断弓形子宫及其与围产期并发症相关性的研究

Diagnosis of arcuate uterus using three-dimensional transvaginal ultrasound and investigation of its association with perinatal complications.

作者信息

Yoshihara Tatsuya, Okuda Yasuhiko, Yoshino Osamu

机构信息

Department of Obstetrics and Gynecology, Faculty of medicine, University of Yamanashi, Yamanashi, Japan.

出版信息

Int J Gynaecol Obstet. 2025 Mar;168(3):1073-1078. doi: 10.1002/ijgo.15961. Epub 2024 Oct 30.

Abstract

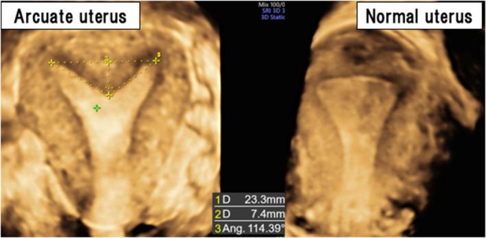
Arcuate uterus does not impact the success of infertility treatments, but there is no consensus on whether it influences perinatal outcomes. The objective of the present study was to investigate whether minor congenital uterine anomalies such as an arcuate uterus contribute to perinatal complications. This was a retrospective cohort study at a single institution. The study included 1097 deliveries after 22 weeks of gestation. Transvaginal ultrasound, with three-dimensional functionality, assessed uterine morphology based on American Society for Reproductive Medicine criteria. We compared maternal backgrounds and perinatal complications between arcuate uterus and normal uterus groups. Statistical analyses, including multivariate analysis, aimed to identify independent risk factors. A total of 69 patients (7.5%) with diagnosed arcuate uterus were included. Maternal background factors showed no significant differences between groups. In perinatal complications, an arcuate uterus was associated with a significantly higher incidence of preterm delivery (13% versus 4.7%, P = 0.01), preterm premature rupture of membranes (7.2% versus 1.6%, P = 0.01), fetal growth restriction (FGR; 16% versus 6.7%, P = 0.01), and abnormal placental cord insertion (33% versus 7.6%, P < 0.01). After multivariate analysis, arcuate uterus emerged as an independent risk factor for preterm delivery (adjusted odds ratio [aOR], 4.0 [95% confidence interval (CI), 1.6-9.9], P < 0.01), FGR (aOR, 2.6 [95% CI, 1.2-5.6], P = 0.02), and abnormal placental cord insertion (aOR, 6.0 [95% CI, 3.4-10.6], P < 0.01). Arcuate uterus stands as an independent risk factor for preterm delivery, FGR, and abnormal placental cord insertion. The findings emphasize the importance of recognizing even minor uterine morphological abnormalities in assessing and managing perinatal complications.

摘要

弓形子宫不影响不孕治疗的成功率,但对于它是否会影响围产期结局尚无共识。本研究的目的是调查诸如弓形子宫等轻微先天性子宫异常是否会导致围产期并发症。这是一项在单一机构进行的回顾性队列研究。该研究纳入了妊娠22周后分娩的1097例产妇。采用具有三维功能的经阴道超声,根据美国生殖医学学会标准评估子宫形态。我们比较了弓形子宫组和正常子宫组的产妇背景和围产期并发症。包括多变量分析在内的统计分析旨在确定独立危险因素。总共纳入了69例(7.5%)诊断为弓形子宫的患者。两组间产妇背景因素无显著差异。在围产期并发症方面,弓形子宫与早产(13%对4.7%,P = 0.01)、早产胎膜早破(7.2%对1.6%,P = 0.01)、胎儿生长受限(FGR;16%对6.7%,P = 0.01)以及胎盘脐带插入异常(33%对7.6%,P < 0.01)的发生率显著较高相关。多变量分析后,弓形子宫成为早产(调整优势比[aOR],4.0[95%置信区间(CI),1.6 - 9.9],P < 0.01)、FGR(aOR,2.6[95%CI,1.2 - 5.6],P = 0.02)和胎盘脐带插入异常(aOR,6.0[95%CI,3.4 - 10.6],P < 0.01)的独立危险因素。弓形子宫是早产、FGR和胎盘脐带插入异常的独立危险因素。这些发现强调了在评估和管理围产期并发症时识别即使是轻微子宫形态异常的重要性。

https://cdn.ncbi.nlm.nih.gov/pmc/blobs/4202/11823371/52981a68a2a9/IJGO-168-1073-g002.jpg

文献AI研究员

20分钟写一篇综述,助力文献阅读效率提升50倍。

立即体验

用中文搜PubMed

大模型驱动的PubMed中文搜索引擎

马上搜索

文档翻译

学术文献翻译模型,支持多种主流文档格式。

立即体验