Suppr超能文献

地塞米松诱导的抑郁/焦虑模型前额叶皮层中 GABA 能标志物表达的特征。

Characterization of GABAergic marker expression in prefrontal cortex in dexamethasone induced depression/anxiety model.

机构信息

Department of Pathogen Biology, School of Basic Medical Sciences, Henan University, Kaifeng, China.

State Key Laboratory of Medical Neurobiology and MOE Frontiers Center for Brain Science, Institutes of Brain Science, Fudan University, Shanghai, China.

出版信息

Front Endocrinol (Lausanne). 2024 Oct 17;15:1433026. doi: 10.3389/fendo.2024.1433026. eCollection 2024.

Abstract

BACKGROUND

The pivotal responsibility of GABAergic interneurons is inhibitory neurotransmission; in this way, their significance lies in regulating the maintenance of excitation/inhibition (E/I) balance in cortical circuits. An abundance of glucocorticoids (GCs) exposure results in a disorder of GABAergic interneurons in the prefrontal cortex (PFC); the relationship between this status and an enhanced vulnerability to neuropsychiatric ailments, like depression and anxiety, has been identified, but this connection is still poorly understood because systematic and comprehensive research is lacking. Here, we aim to investigate the impact of dexamethasone (DEX, a GC receptor agonist) on GABAergic interneurons in the PFC of eight-week-old adult male mice.

METHODS

A double-blind study was conducted where thirty-two mice were treated subcutaneously either saline or DEX (0.2 mg/10 ml per kg of body weight) dissolved in saline daily for 21 days. Weight measurements were taken at five-day intervals to assess the emotional changes in mice as well as the response to DEX treatment. Following the 21-day regimen of DEX injections, mice underwent examinations for depression/anxiety-like behaviours and GABAergic marker expression in PFC.

RESULTS

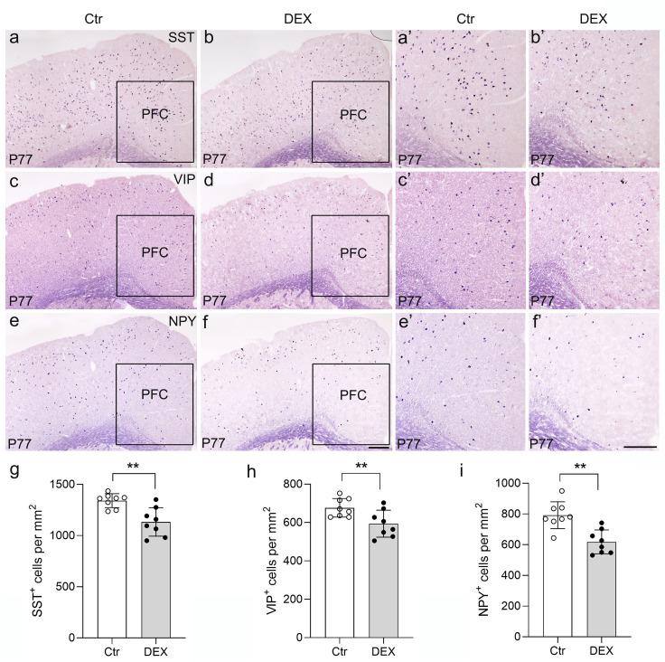
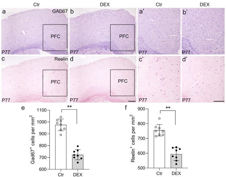
In a depression/anxiety model generated by chronic DEX treatment, we found that our DEX procedure did trigger depression/anxiety-like behaviors in mice. Furthermore, DEX treatment reduced the expression levels of a GABA-synthesizing enzyme (GAD67), Reelin, calcium-binding proteins (parvalbumin and calretinin) and neuropeptides co-expressed in GABAergic neurons (somatostatin, neuropeptide Y and vasoactive intestinal peptide) in the PFC were reduced after 21 days of DEX treatment; these reductions were accompanied by decreases in brain size and cerebral cortex thickness.

CONCLUSION

Our results indicate that a reduction in the number of GABAergic interneurons may result in deficiencies in cortical inhibitory neurotransmission, potentially causing an E/I imbalance in the PFC; this insight suggests a potential breakthrough strategy for the treatment of depression and anxiety.

摘要

背景

γ-氨基丁酸能中间神经元的关键职责是抑制性神经传递;因此,它们的重要性在于调节皮质回路中兴奋/抑制(E/I)平衡的维持。大量糖皮质激素(GCs)暴露会导致前额叶皮质(PFC)中的 GABA 能中间神经元紊乱;这种状态与易患神经精神疾病(如抑郁症和焦虑症)之间的关系已被确定,但这种联系仍知之甚少,因为缺乏系统和全面的研究。在这里,我们旨在研究地塞米松(DEX,GC 受体激动剂)对 8 周龄成年雄性小鼠 PFC 中 GABA 能中间神经元的影响。

方法

进行了一项双盲研究,其中 32 只小鼠每天皮下接受生理盐水或 DEX(0.2 mg/10 ml 每公斤体重)溶解在盐水中治疗 21 天。每隔五天测量体重,以评估小鼠的情绪变化以及对 DEX 治疗的反应。在 21 天的 DEX 注射治疗后,对小鼠进行抑郁/焦虑样行为和 PFC 中 GABA 标记物表达的检查。

结果

在慢性 DEX 治疗引起的抑郁/焦虑模型中,我们发现我们的 DEX 程序确实会引发小鼠的抑郁/焦虑样行为。此外,DEX 治疗降低了 GABA 合成酶(GAD67)、Reelin、钙结合蛋白(parvalbumin 和 calretinin)和神经肽(生长抑素、神经肽 Y 和血管活性肠肽)在 PFC 中的表达水平在 21 天的 DEX 治疗后,这些减少伴随着大脑大小和大脑皮层厚度的减少。

结论

我们的结果表明,GABA 能中间神经元数量的减少可能导致皮质抑制性神经传递不足,从而导致 PFC 中的 E/I 失衡;这一观点为治疗抑郁症和焦虑症提供了一种潜在的突破策略。

https://cdn.ncbi.nlm.nih.gov/pmc/blobs/a8e4/11524930/408094ed15af/fendo-15-1433026-g001.jpg

文献AI研究员

20分钟写一篇综述,助力文献阅读效率提升50倍。

立即体验

用中文搜PubMed

大模型驱动的PubMed中文搜索引擎

马上搜索

文档翻译

学术文献翻译模型,支持多种主流文档格式。

立即体验