Suppr超能文献

替尔泊肽相关性结肠缺血

Tirzepatide-Associated Colonic Ischemia.

作者信息

Bayless David, Singh Jasraj, Park Byoung Uk, Sweetser Seth

机构信息

Department of Laboratory Medicine and Pathology, Mayo Clinic, Rochester, MN.

Division of Gastroenterology and Hepatology, Mayo Clinic, Rochester, MN.

出版信息

ACG Case Rep J. 2024 Nov 6;11(11):e01551. doi: 10.14309/crj.0000000000001551. eCollection 2024 Nov.

Abstract

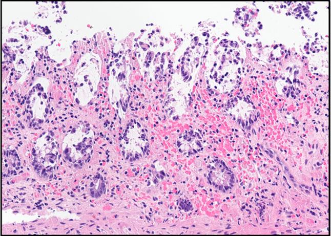
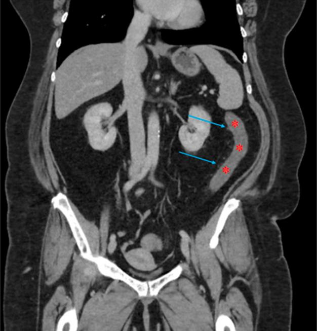
The use of the glucagon-like peptide-1 (GLP-1) and glucose-dependent insulinotropic polypeptide (GIP) receptor agonist tirzepatide has markedly increased for the treatment of weight loss and management of diabetes mellitus. Gastrointestinal adverse effects of GLP-1/GIP agonist therapy, including nausea, vomiting, and constipation, are common. We report a case of colonic ischemia in a 62-year-old woman which developed in association with the use of tirzepatide for weight loss. This report highlights a potential risk relationship between GLP-1/GIP agonist therapy and colonic ischemia and identifies risk factors that should be considered before prescribing tirzepatide.

摘要

胰高血糖素样肽-1(GLP-1)和葡萄糖依赖性促胰岛素多肽(GIP)受体激动剂替尔泊肽在减肥和糖尿病管理治疗中的使用显著增加。GLP-1/GIP激动剂疗法的胃肠道不良反应,包括恶心、呕吐和便秘,很常见。我们报告一例62岁女性的结肠缺血病例,该病例与使用替尔泊肽减肥有关。本报告强调了GLP-1/GIP激动剂疗法与结肠缺血之间的潜在风险关系,并确定了在开具替尔泊肽处方前应考虑的风险因素。

https://cdn.ncbi.nlm.nih.gov/pmc/blobs/f412/11540430/424e73fb549f/ac9-11-e01551-g001.jpg

文献AI研究员

20分钟写一篇综述,助力文献阅读效率提升50倍。

立即体验

用中文搜PubMed

大模型驱动的PubMed中文搜索引擎

马上搜索

文档翻译

学术文献翻译模型,支持多种主流文档格式。

立即体验