Suppr超能文献

RBM15通过对SPOCK1进行m6A依赖的表观遗传沉默,促进肺腺癌对奥希替尼的耐药性。

RBM15 facilitates osimertinib resistance of lung adenocarcinoma through m6A-dependent epigenetic silencing of SPOCK1.

作者信息

Li Hongxiang, Li Yin, Zheng Xiaoxiao, Chen Fangqian, Zhang Shufen, Xu Shuguang, Mu Yinyu, Shen Wei, Tong Jingtao, Chen Hang, Hu Zeyang, Zhang Jiaheng, Qiu Keyue, Chen Wei, Cheng Xinghua, Xu Guodong

机构信息

Department of Thoracic Surgery, The Affiliated Lihuili Hospital of Ningbo University, Ningbo, Zhejiang, China.

Health Science Center, Ningbo University, Ningbo, Zhejiang, China.

出版信息

Oncogene. 2025 Feb;44(5):307-321. doi: 10.1038/s41388-024-03220-z. Epub 2024 Nov 11.

Abstract

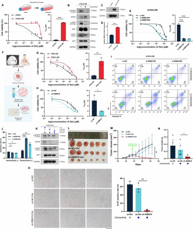
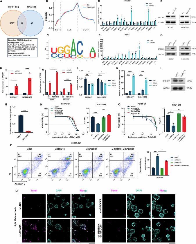
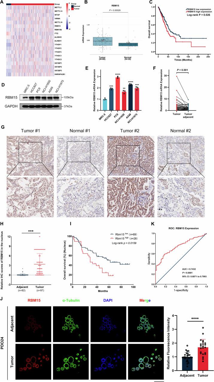
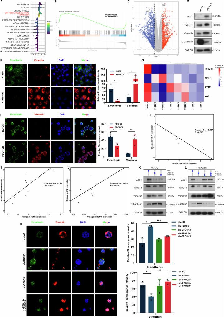
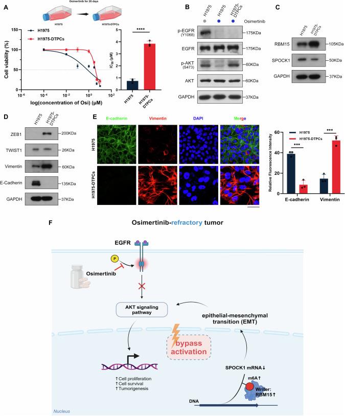
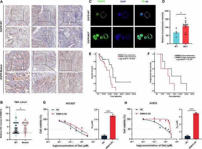
Lung cancer is the leading cause of cancer-related mortality globally. N6-methyladenosine (m6A) is the most abundant modification in mammalian mRNA and is involved in the biological regulation of tumors, including lung cancer. However, the role of m6A-related proteins, such as RNA-binding motif protein 15 (RBM15), in lung cancer progression remains largely unknown. Our study indicated that RBM15 is significantly overexpressed in lung adenocarcinoma, serving as an independent prognostic factor for poor outcomes and facilitating tumor cell proliferation and migration. RBM15 was markedly elevated in patients with EGFR mutations, correlating with a poorer prognosis, while it had negligible prognostic value in EGFR wild-type patients. As EGFR-tyrosine kinase inhibitors (TKIs) are the standard treatment for patients with EGFR mutations, we subsequently determined that RBM15 drives osimertinib resistance via a novel mechanism: enhancing m6A modification of cwcv- and kazal-like domains proteoglycan 1 (SPOCK1) mRNA, promoting epithelial-mesenchymal transition-mediated osimertinib resistance through a bypass activation pathway. These findings were validated in osimertinib-resistant H1975 cells and organoids from patients with osimertinib-resistant lung adenocarcinoma. Furthermore, the RBM15-SPOCK1 axis was activated in drug-tolerant persister cells, indicating that early targeting of RBM15 during EGFR-TKI treatment could dramatically extend the patient response and benefit from TKI therapy. Our results emphasize the critical role of RBM15 in reversing EGFR-TKI resistance and propose it as a promising therapeutic target for prolonging TKI treatment benefits in patients with lung adenocarcinoma.

摘要

肺癌是全球癌症相关死亡的主要原因。N6-甲基腺苷(m6A)是哺乳动物mRNA中最丰富的修饰,参与包括肺癌在内的肿瘤的生物学调控。然而,m6A相关蛋白,如RNA结合基序蛋白15(RBM15)在肺癌进展中的作用仍 largely未知。我们的研究表明,RBM15在肺腺癌中显著过表达,是不良预后的独立预后因素,并促进肿瘤细胞增殖和迁移。RBM15在EGFR突变患者中明显升高,与较差的预后相关,而在EGFR野生型患者中其预后价值可忽略不计。由于EGFR酪氨酸激酶抑制剂(TKIs)是EGFR突变患者的标准治疗方法,我们随后确定RBM15通过一种新机制导致奥希替尼耐药:增强富含半胱氨酸的分泌性蛋白、富含脯氨酸和kazal样结构域蛋白聚糖1(SPOCK1)mRNA的m6A修饰,通过旁路激活途径促进上皮-间质转化介导的奥希替尼耐药。这些发现已在奥希替尼耐药的H1975细胞和奥希替尼耐药的肺腺癌患者的类器官中得到验证。此外,RBM15-SPOCK1轴在耐药持久性细胞中被激活,这表明在EGFR-TKI治疗期间早期靶向RBM15可显著延长患者的反应并从TKI治疗中获益。我们的结果强调了RBM15在逆转EGFR-TKI耐药中的关键作用,并提出它是延长肺腺癌患者TKI治疗益处的有前景的治疗靶点。

https://cdn.ncbi.nlm.nih.gov/pmc/blobs/c3b7/11779629/9c5d8ff0096e/41388_2024_3220_Fig1_HTML.jpg

文献AI研究员

20分钟写一篇综述,助力文献阅读效率提升50倍。

立即体验

用中文搜PubMed

大模型驱动的PubMed中文搜索引擎

马上搜索

文档翻译

学术文献翻译模型,支持多种主流文档格式。

立即体验