School of Life Sciences, Henan University, Kaifeng, Henan Province, China.
Nat Commun. 2024 Nov 15;15(1):9909. doi: 10.1038/s41467-024-54400-0.
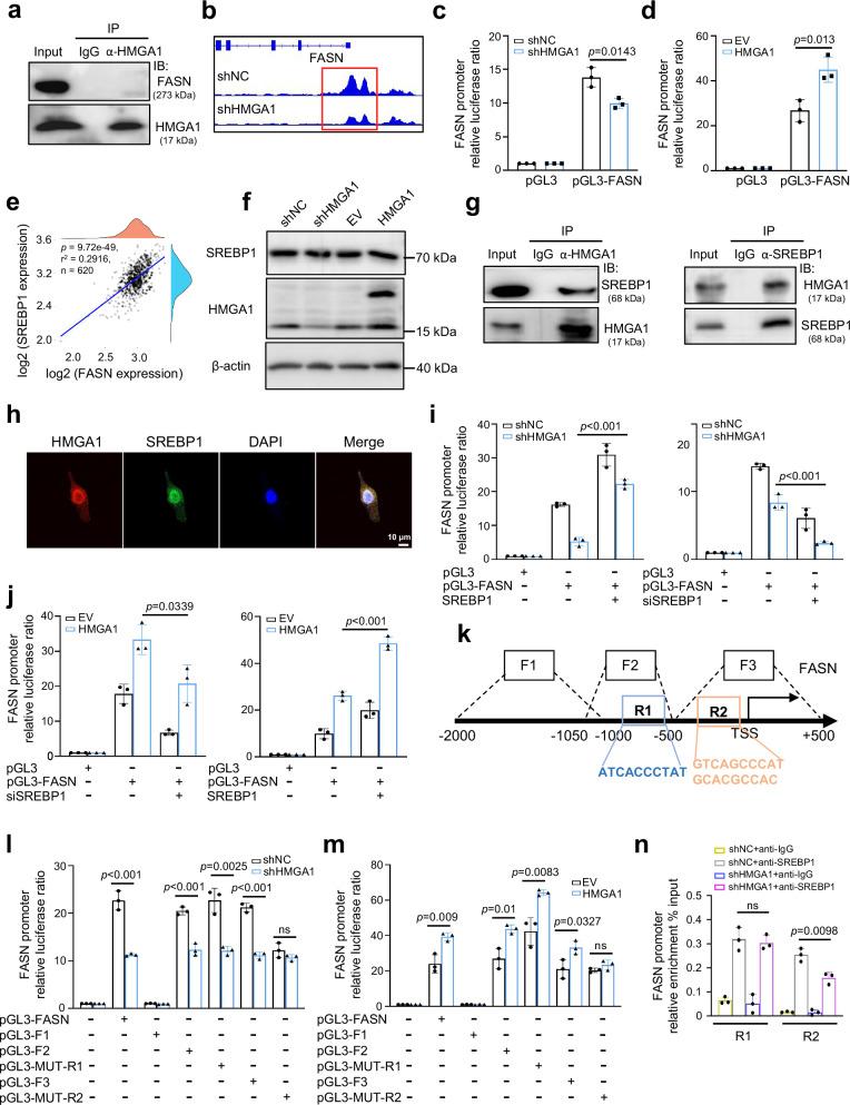
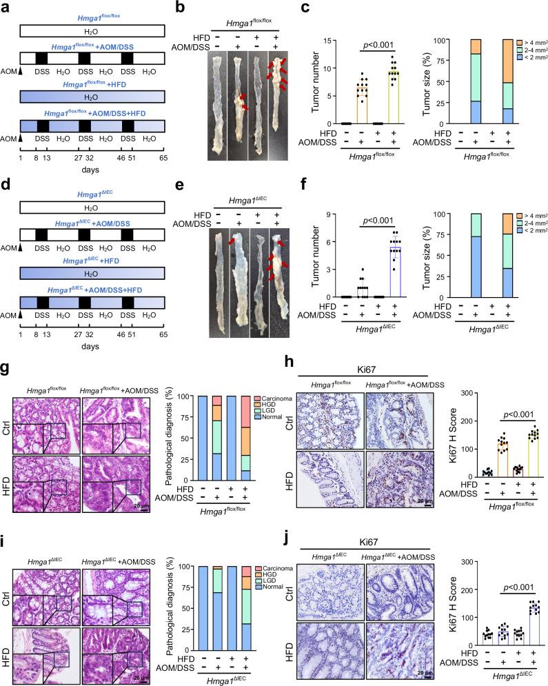
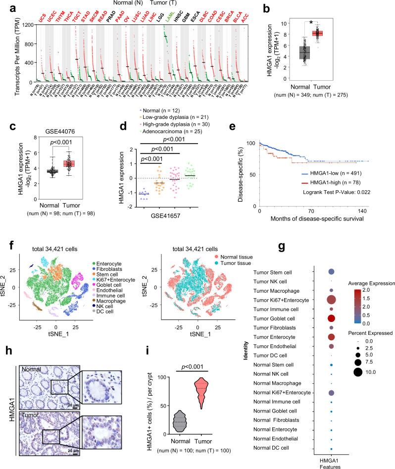
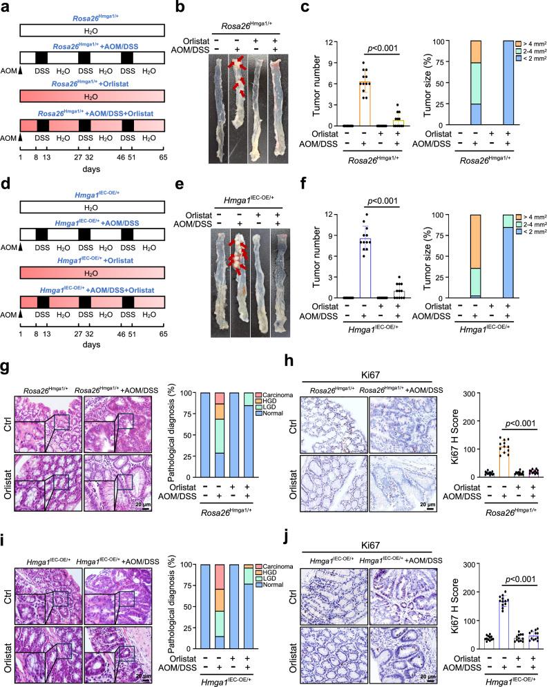
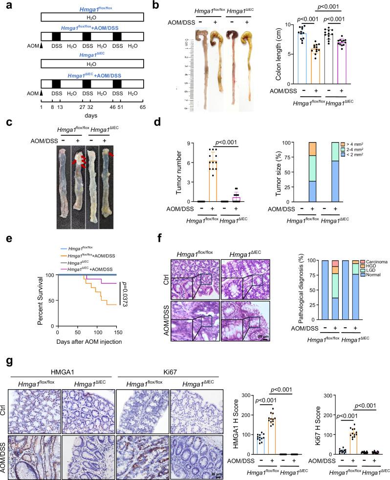
Metabolic reprogramming is a hallmark of cancer, enabling tumor cells to meet the high energy and biosynthetic demands required for their proliferation. High mobility group A1 (HMGA1) is a structural transcription factor and frequently overexpressed in human colorectal cancer (CRC). Here, we show that HMGA1 promotes CRC progression by driving lipid synthesis in a AOM/DSS-induced CRC mouse model. Using conditional knockout (Hmga1) and knock-in (Hmga1) mouse models, we demonstrate that HMGA1 enhances CRC cell proliferation and accelerates tumor development by upregulating fatty acid synthase (FASN). Mechanistically, HMGA1 increases the transcriptional activity of sterol regulatory element-binding protein 1 (SREBP1) on the FASN promoter, leading to increased lipid accumulation in intestinal epithelial cells. Moreover, a high-fat diet exacerbates CRC progression in Hmga1 mice, while pharmacological inhibition of FASN by orlistat reduces tumor growth in Hmga1 mice. Our findings suggest that targeting lipid metabolism could offer a promising therapeutic strategy for CRC.
代谢重编程是癌症的一个标志,使肿瘤细胞能够满足增殖所需的高能量和生物合成需求。高迁移率族蛋白 A1(HMGA1)是一种结构转录因子,在人类结直肠癌(CRC)中经常过表达。在这里,我们表明 HMGA1 通过在 AOM/DSS 诱导的 CRC 小鼠模型中驱动脂质合成来促进 CRC 进展。使用条件性敲除(Hmga1)和敲入(Hmga1)小鼠模型,我们证明 HMGA1 通过上调脂肪酸合酶(FASN)来增强 CRC 细胞增殖并加速肿瘤发展。在机制上,HMGA1 增加了固醇调节元件结合蛋白 1(SREBP1)在 FASN 启动子上的转录活性,导致肠上皮细胞中脂质积累增加。此外,高脂肪饮食会加剧 Hmga1 小鼠的 CRC 进展,而通过奥利司他抑制 FASN 的药理抑制会减少 Hmga1 小鼠的肿瘤生长。我们的研究结果表明,靶向脂质代谢可能为 CRC 提供一种有前途的治疗策略。