Suppr超能文献

整合内在凋亡机制的分子和功能特征,鉴定神经胶质瘤治疗的脆弱性。

Integrated molecular and functional characterization of the intrinsic apoptotic machinery identifies therapeutic vulnerabilities in glioma.

机构信息

Department of Molecular and Medical Pharmacology, David Geffen School of Medicine, University of California Los Angeles, Los Angeles, CA, 90095, USA.

Department of Bioengineering, University of California, Los Angeles, Los Angeles, CA, USA.

出版信息

Nat Commun. 2024 Nov 21;15(1):10089. doi: 10.1038/s41467-024-54138-9.

Abstract

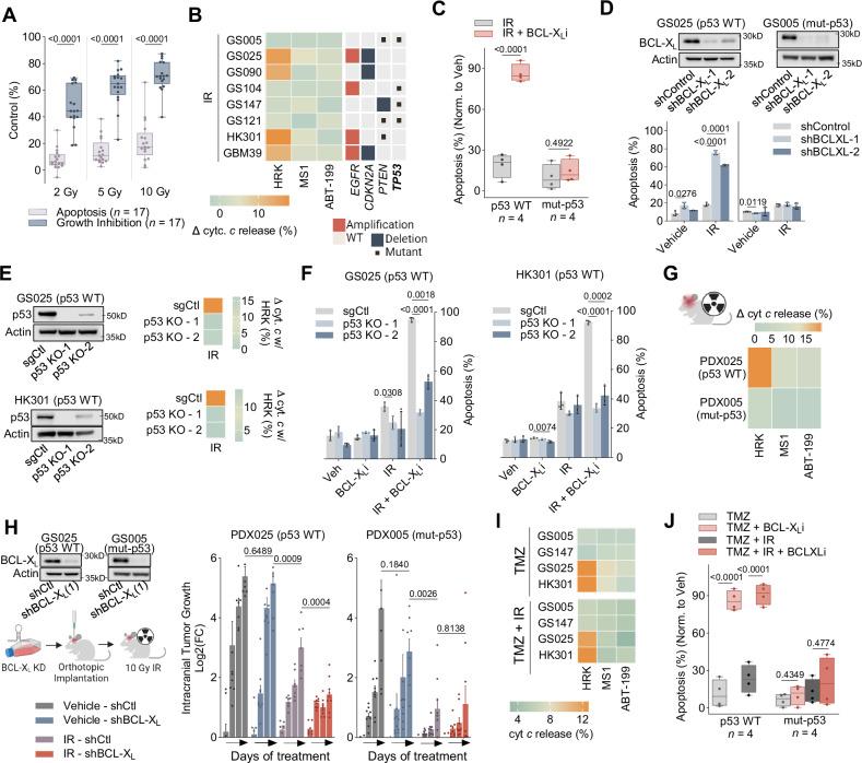
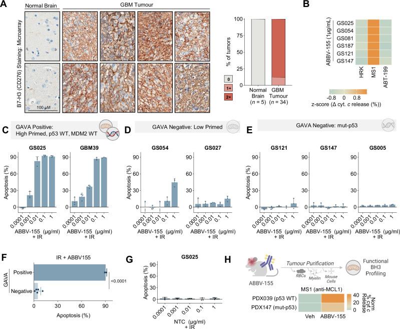
Genomic profiling often fails to predict therapeutic outcomes in cancer. This failure is, in part, due to a myriad of genetic alterations and the plasticity of cancer signaling networks. Functional profiling, which ascertains signaling dynamics, is an alternative method to anticipate drug responses. It is unclear whether integrating genomic and functional features of solid tumours can provide unique insight into therapeutic vulnerabilities. We perform combined molecular and functional characterization, via BH3 profiling of the intrinsic apoptotic machinery, in glioma patient samples and derivative models. We identify that standard-of-care therapy rapidly rewires apoptotic signaling in a genotype-specific manner, revealing targetable apoptotic vulnerabilities in gliomas containing specific molecular features (e.g., TP53 WT). However, integration of BH3 profiling reveals high mitochondrial priming is also required to induce glioma apoptosis. Accordingly, a machine-learning approach identifies a composite molecular and functional signature that best predicts responses of diverse intracranial glioma models to standard-of-care therapies combined with ABBV-155, a clinical drug targeting intrinsic apoptosis. This work demonstrates how complementary functional and molecular data can robustly predict therapy-induced cell death.

摘要

基因组分析常常无法预测癌症的治疗效果。这种失败部分归因于无数的遗传改变和癌症信号网络的可塑性。功能分析,确定信号动态,是预测药物反应的替代方法。目前尚不清楚整合实体瘤的基因组和功能特征是否可以为治疗弱点提供独特的见解。我们通过内在凋亡机制的 BH3 分析对神经胶质瘤患者样本和衍生模型进行联合分子和功能特征分析。我们发现,标准治疗方案以特定基因型的方式快速重新布线凋亡信号,揭示了含有特定分子特征(例如 TP53 WT)的神经胶质瘤中的可靶向凋亡弱点。然而,BH3 分析的整合表明,诱导神经胶质瘤凋亡还需要高线粒体引发。因此,机器学习方法确定了一个综合的分子和功能特征,该特征可最佳预测不同颅内神经胶质瘤模型对标准治疗方案联合用于靶向内在凋亡的临床药物 ABBV-155 的反应。这项工作表明,互补的功能和分子数据如何能够稳健地预测治疗诱导的细胞死亡。

https://cdn.ncbi.nlm.nih.gov/pmc/blobs/3ef6/11582606/3da0c1c6c128/41467_2024_54138_Fig1_HTML.jpg

文献AI研究员

20分钟写一篇综述,助力文献阅读效率提升50倍。

立即体验

用中文搜PubMed

大模型驱动的PubMed中文搜索引擎

马上搜索

文档翻译

学术文献翻译模型,支持多种主流文档格式。

立即体验