Suppr超能文献

疟原虫中的内膜复合蛋白IMC1g参与无性阶段的裂体增殖和寄生虫传播。

An inner membrane complex protein IMC1g in is involved in asexual stage schizogony and parasite transmission.

作者信息

Liu Yinjie, Cheng Shitong, He Gang, He Dawei, Wang Duo, Wang Sicong, Chen Lumeng, Zhu Liying, Feng Yonghui, Cui Liwang, Cao Yaming, Zhu Xiaotong

机构信息

Department of Immunology, College of Basic Medical Sciences, China Medical University, Shenyang, China.

Department of Laboratory Medicine, the First Hospital of China Medical University, Shenyang, Liaoning, China.

出版信息

mBio. 2025 Jan 8;16(1):e0265224. doi: 10.1128/mbio.02652-24. Epub 2024 Nov 22.

Abstract

UNLABELLED

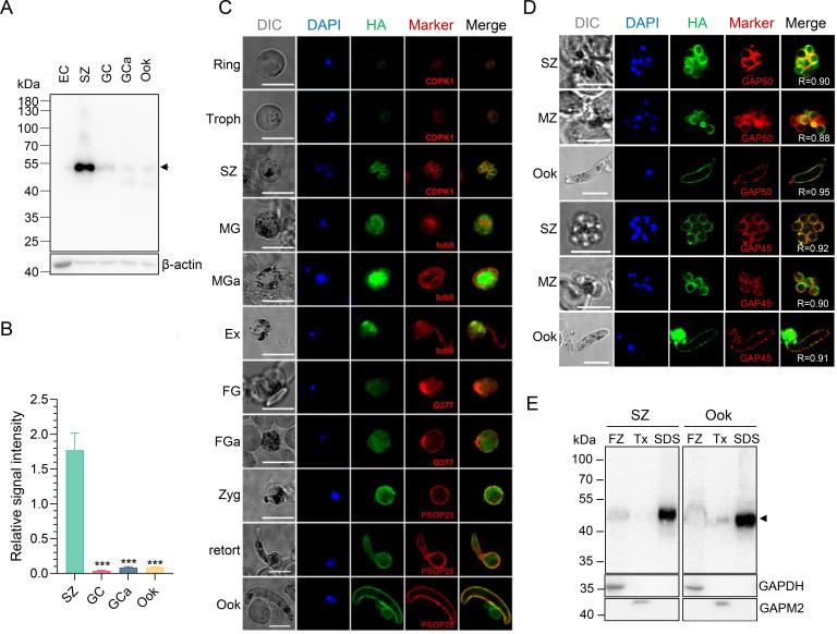
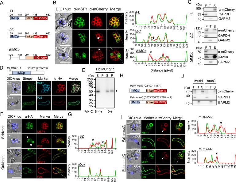
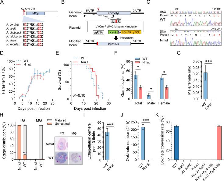
The inner membrane complex (IMC), a double-membrane organelle underneath the plasma membrane in apicomplexan parasites, plays a significant role in motility and invasion and confers shape to the cell. We characterized the function of PbIMC1g, a component of the IMC1 family member in . PbIMC1g is recruited to the IMC in late schizonts, activated gametocytes, and ookinetes. Pairwise yeast two-hybrid assays demonstrate that PbIMC1g interacts with IMC1c, a component of the PHIL1 complex, and the core sub-repeat motif "EKI(V)V(I)EVP" in PbIMC1g is essential for this interaction. Localization of PbIMC1g to the IMC was dependent on its IMCp domain, while its C-terminus and palmitoylation sites were required for the full efficiency of proper IMC targeting. PbIMC1g is required for asexual stage development, and its conditional knockdown resulted in a defect in schizogony. Additionally, PbIMC1g was also important for male gametogenesis and ookinete development. As an IMC component that assists in anchoring the glideosome to the subpellicular network, PbIMC1g was also involved in ookinete motility and mosquito midgut invasion. IMC1g from the human parasite could functionally replace PbIMC1g in , confirming the evolutionary conservation of IMC1g proteins in spp. Together, this work reveals an essential role of IMC1g in the parasite life cycle and suggests that IMC1 family members likely contribute to parasite gliding and invasion.

IMPORTANCE

The malaria parasite's inner membrane complex is critical to maintain its structural integrity and motility. Here, we identified the function of the IMC1g protein, a member of the IMC1 family, in invasive and proliferative stages of . We found that the IMCp domain of PbIMC1g is critical for proper IMC targeting, and PbIMC1g interacts with PbIMC1c. Conditional knockdown of PbIMC1g expression affects schizogony, gametogenesis, and ookinete conversion. PbIMC1g interacts with IMC1c to firmly anchor the glideosome to the subpellicular network. Additionally, we confirmed that IMC1g is functionally conserved in spp. These data reveal the function of IMC1g protein in anchoring the glideosome, providing further insight into the mechanism of the glideosome function.

摘要

未标记

内膜复合体(IMC)是顶复门寄生虫质膜下方的一种双膜细胞器,在运动和侵袭中起重要作用,并赋予细胞形状。我们对疟原虫中IMC1家族成员的一个组分PbIMC1g的功能进行了表征。PbIMC1g在晚期裂殖体、活化的配子体和动合子中被募集到IMC。成对酵母双杂交试验表明,PbIMC1g与PHIL1复合体的一个组分IMC1c相互作用,且PbIMC1g中的核心亚重复基序“EKI(V)V(I)EVP”对这种相互作用至关重要。PbIMC1g定位于IMC取决于其IMCp结构域,而其C末端和棕榈酰化位点对于正确靶向IMC的充分效率是必需的。无性阶段发育需要PbIMC1g,其条件性敲低导致裂殖生殖缺陷。此外,PbIMC1g对雄配子发生和动合子发育也很重要。作为一种有助于将滑行体锚定到表膜下网络的IMC组分,PbIMC1g也参与动合子运动和蚊虫中肠侵袭。来自人类疟原虫的IMC1g在疟原虫中可在功能上替代PbIMC1g, 证实了IMC1g蛋白在疟原虫属中的进化保守性。总之,这项工作揭示了IMC1g在寄生虫生命周期中的重要作用,并表明IMC1家族成员可能有助于寄生虫的滑行和侵袭。

重要性

疟原虫的内膜复合体对于维持其结构完整性和运动性至关重要。在此,我们确定了IMC1家族成员IMC1g蛋白在疟原虫侵袭和增殖阶段的功能。我们发现PbIMC1g的IMCp结构域对于正确靶向IMC至关重要,且PbIMC1g与PbIMC1c相互作用。条件性敲低PbIMC1g的表达会影响裂殖生殖、配子发生和动合子转化。PbIMC1g与IMC1c相互作用以将滑行体牢固地锚定到表膜下网络。此外,我们证实了IMC1g在疟原虫属中功能保守。这些数据揭示了IMC1g蛋白在锚定滑行体方面的功能,为深入了解滑行体功能机制提供了进一步的见解。

https://cdn.ncbi.nlm.nih.gov/pmc/blobs/c6e6/11708024/0fb0c573a9a8/mbio.02652-24.f001.jpg

文献AI研究员

20分钟写一篇综述,助力文献阅读效率提升50倍。

立即体验

用中文搜PubMed

大模型驱动的PubMed中文搜索引擎

马上搜索

文档翻译

学术文献翻译模型,支持多种主流文档格式。

立即体验