Suppr超能文献

LINC01614 通过调控 FOXC1 促进口腔鳞状细胞癌。

LINC01614 Promotes Oral Squamous Cell Carcinoma by Regulating FOXC1.

机构信息

School of Dentistry, Beihua University, Jilin 132013, China.

Department of Pathogenobiology, The Key Laboratory of Zoonosis, Chinese Ministry of Education, College of Basic Medicine, Jilin University, Changchun 130021, China.

出版信息

Genes (Basel). 2024 Nov 13;15(11):1461. doi: 10.3390/genes15111461.

Abstract

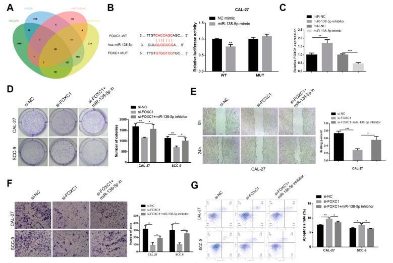
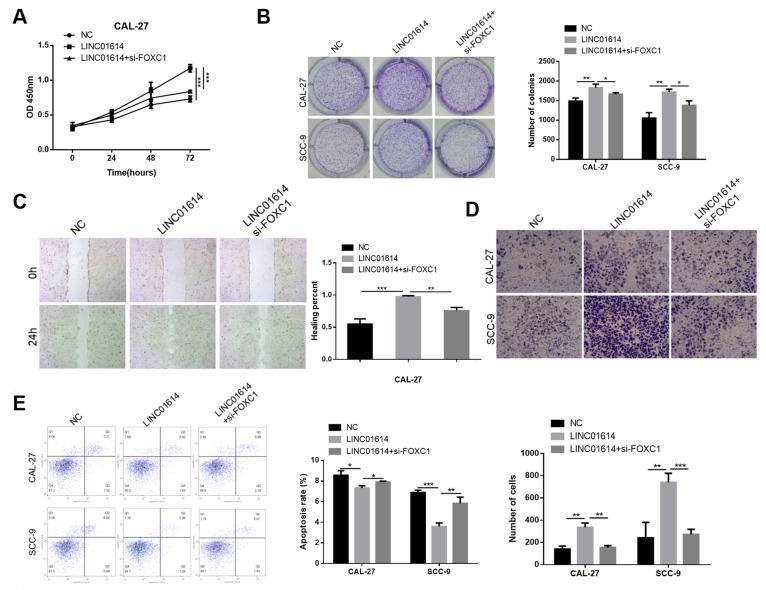
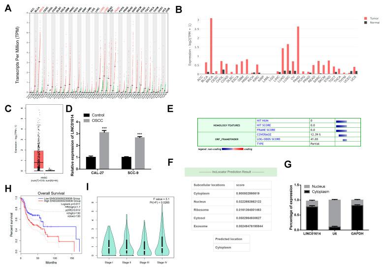
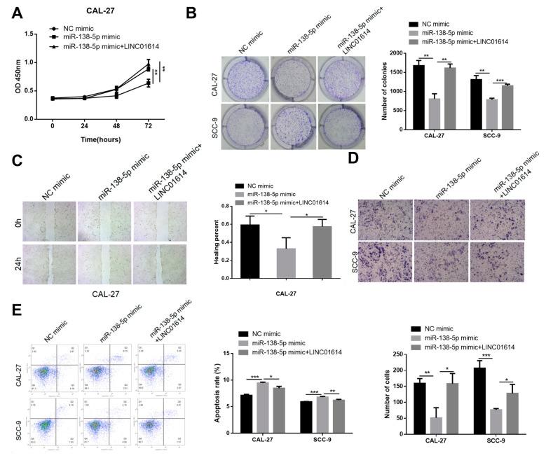
Long non-coding RNAs (lncRNAs) are pivotal mediators during the development of carcinomas; however, it remains to be investigated whether lncRNAs are implicated in oral squamous cell carcinoma (OSCC). In this study, quantitative real-time PCR was conducted for detecting the expression of LINC01614 in OSCC cell lines. The biological functions of LINC01614 were assessed by loss- and gain-of-function experiments conducted both in vivo and in vitro. Cellular proliferation, migration, and invasion were investigated herein, and dual luciferase reporter assays were additionally performed to explore the relationships among LINC01614, miR-138-5p, and Forkhead box C1 (FOXC1). : The research presented herein revealed that OSCC cells express high levels of LINC01614. Functional experiments employing cellular and animal models demonstrated that LINC01614 knockdown repressed the malignant phenotypes of OSCC cells, including their growth, invasiveness, and migration. Further investigation revealed that LINC01614 absorbs miR-138-5p miRNA by functioning as a competing endogenous RNA to downregulate the abundance of FOXC1. : The findings revealed that LINC01614 contributes to the progression of OSCC by targeting the FOXC1 signaling pathway. The study provides insights into a novel mechanistic process to regulate the development of OSCC, and established a possible target for the therapeutic management of OSCC.

摘要

长链非编码 RNA(lncRNA)是癌发生发展的重要介质;然而,lncRNA 是否参与口腔鳞状细胞癌(OSCC)的发生仍有待研究。本研究通过定量实时 PCR 检测 OSCC 细胞系中 LINC01614 的表达。通过体内和体外的功能丧失和功能获得实验评估 LINC01614 的生物学功能。本文研究了细胞增殖、迁移和侵袭,此外还进行了双荧光素酶报告基因实验,以探讨 LINC01614、miR-138-5p 和叉头框蛋白 C1(FOXC1)之间的关系。本文研究表明,OSCC 细胞表达高水平的 LINC01614。采用细胞和动物模型的功能实验表明,LINC01614 敲低抑制了 OSCC 细胞的恶性表型,包括生长、侵袭和迁移。进一步的研究表明,LINC01614 通过作为竞争性内源性 RNA 吸收 miR-138-5p miRNA 来下调 FOXC1 的丰度。研究结果表明,LINC01614 通过靶向 FOXC1 信号通路促进 OSCC 的进展。该研究为调控 OSCC 发生发展的新机制提供了思路,并为 OSCC 的治疗管理建立了一个可能的靶点。

https://cdn.ncbi.nlm.nih.gov/pmc/blobs/167b/11593781/91bbe2a67429/genes-15-01461-g001.jpg

文献AI研究员

20分钟写一篇综述,助力文献阅读效率提升50倍。

立即体验

用中文搜PubMed

大模型驱动的PubMed中文搜索引擎

马上搜索

文档翻译

学术文献翻译模型,支持多种主流文档格式。

立即体验