Suppr超能文献

冠状病毒核衣壳蛋白增强p-PKCα与RACK1的结合:对抑制核质运输和抑制先天免疫反应的影响。

Coronavirus nucleocapsid protein enhances the binding of p-PKCα to RACK1: Implications for inhibition of nucleocytoplasmic trafficking and suppression of the innate immune response.

作者信息

Xue Wenxiang, Chu Hongyan, Wang Jiehuang, Sun Yingjie, Qiu Xusheng, Song Cuiping, Tan Lei, Ding Chan, Liao Ying

机构信息

Department of Avian Infectious Diseases, Shanghai Veterinary Research Institute, Chinese Academy of Agricultural Sciences, P. R. China.

Jiangsu Co-innovation Center for Prevention and Control of Important Animal Infectious Diseases and Zoonoses, Yangzhou University, P. R. China.

出版信息

PLoS Pathog. 2024 Nov 27;20(11):e1012097. doi: 10.1371/journal.ppat.1012097. eCollection 2024 Nov.

Abstract

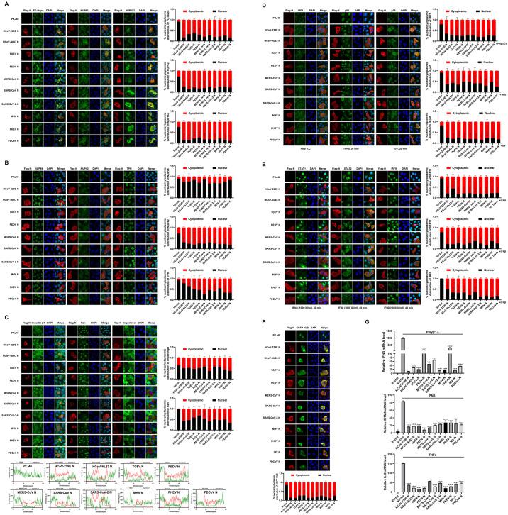
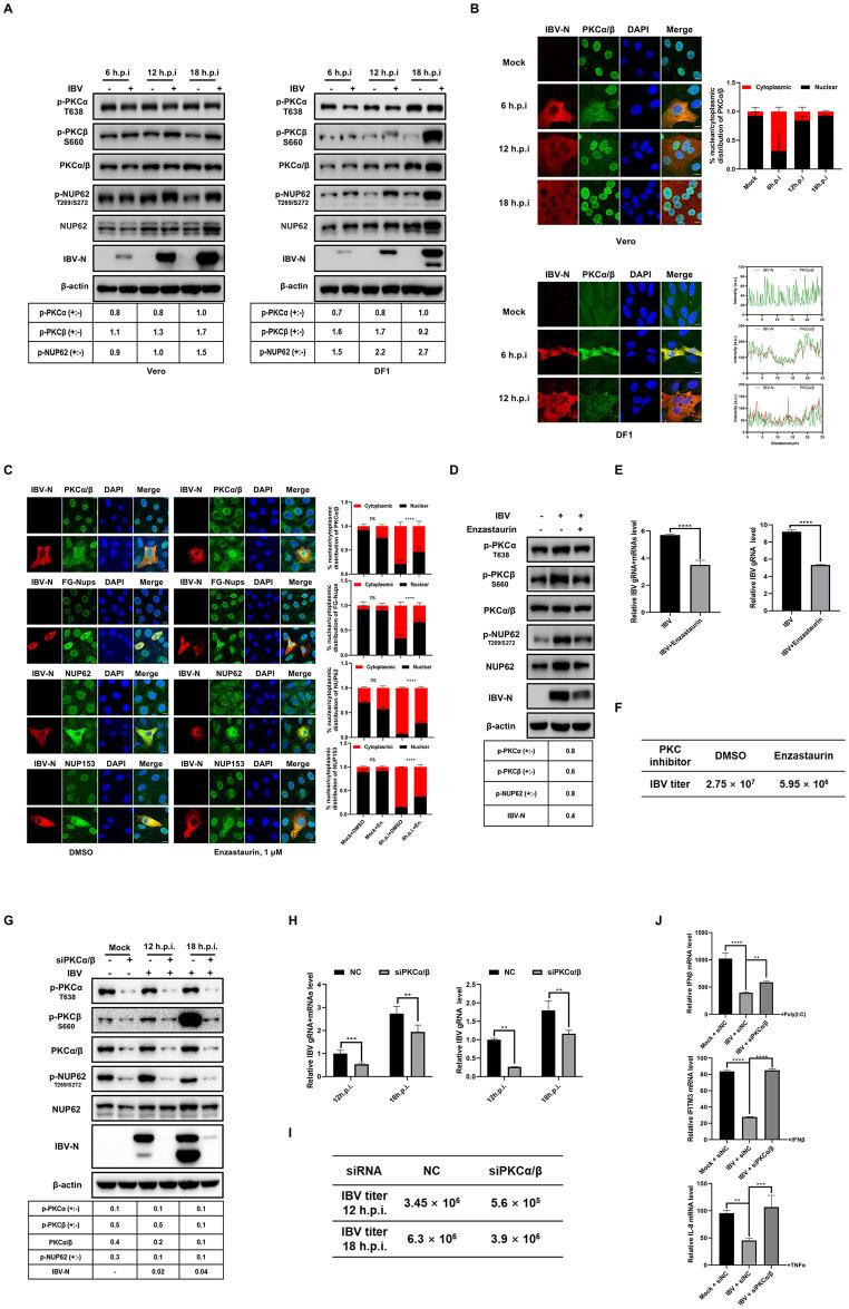
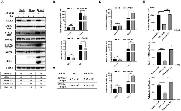
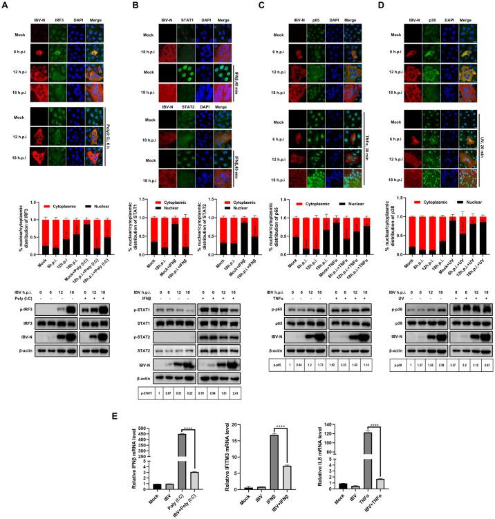
The hallmark of coronavirus infection lies in its ability to evade host immune defenses, a process intricately linked to the nuclear entry of transcription factors crucial for initiating the expression of antiviral genes. Central to this evasion strategy is the manipulation of the nucleocytoplasmic trafficking system, which serves as an effective target for the virus to modulate the expression of immune response-related genes. In this investigation, we discovered that infection with the infectious bronchitis virus (IBV) dynamically impedes the nuclear translocation of several transcription factors such as IRF3, STAT1, STAT2, NF-κB p65, and the p38 MAPK, leading to compromised transcriptional induction of key antiviral genes such as IFNβ, IFITM3, and IL-8. Further examination revealed that during the infection process, components of the nuclear pore complex (NPC), particularly FG-Nups (such as NUP62, NUP153, NUP42, and TPR), undergo cytosolic dispersion from the nuclear envelope; NUP62 undergoes phosphorylation, and NUP42 exhibits a mobility shift in size. These observations suggest a disruption in nucleocytoplasmic trafficking. Screening efforts identified the IBV nucleocapsid (N) protein as the agent responsible for the cytoplasmic distribution of FG-Nups, subsequently hindering the nuclear entry of transcription factors and suppressing the expression of antiviral genes. Interactome analysis further revealed that the IBV N protein interacts with the scaffold protein RACK1, facilitating the recruitment of activated protein kinase C alpha (p-PKCα) to RACK1 and relocating the p-PKCα-RACK1 complex to the cytoplasm. These observations are conserved across diverse coronaviruses N proteins. Concurrently, the presence of both RACK1 and PKCα/β proved essential for the phosphorylation and cytoplasmic dispersion of NUP62, the suppression of antiviral cytokine expression, and efficient virus replication. These findings unveil a novel, highly effective, and evolutionarily conserved mechanism.

摘要

冠状病毒感染的标志在于其逃避宿主免疫防御的能力,这一过程与启动抗病毒基因表达所必需的转录因子进入细胞核密切相关。这种逃避策略的核心是对核质运输系统的操控,该系统是病毒调节免疫反应相关基因表达的有效靶点。在本研究中,我们发现感染传染性支气管炎病毒(IBV)会动态阻碍多种转录因子如IRF3、STAT1、STAT2、NF-κB p65和p38 MAPK的核转位,导致关键抗病毒基因如IFNβ、IFITM3和IL-8的转录诱导受损。进一步研究发现,在感染过程中,核孔复合体(NPC)的成分,特别是FG核孔蛋白(如NUP62、NUP153、NUP42和TPR)会从核膜向胞质分散;NUP62发生磷酸化,NUP42的迁移率在大小上发生变化。这些观察结果表明核质运输受到破坏。筛选工作确定IBV核衣壳(N)蛋白是导致FG核孔蛋白胞质分布的因素,随后阻碍转录因子进入细胞核并抑制抗病毒基因的表达。相互作用组分析进一步表明,IBV N蛋白与支架蛋白RACK1相互作用,促进活化蛋白激酶Cα(p-PKCα)募集到RACK1,并将p-PKCα-RACK1复合物重新定位到细胞质中。这些观察结果在多种冠状病毒N蛋白中是保守的。同时,RACK1和PKCα/β的存在对于NUP62的磷酸化和胞质分散、抗病毒细胞因子表达的抑制以及有效的病毒复制至关重要。这些发现揭示了一种新的、高效且在进化上保守的机制。

https://cdn.ncbi.nlm.nih.gov/pmc/blobs/d868/11633972/cc8719e0e394/ppat.1012097.g001.jpg

文献AI研究员

20分钟写一篇综述,助力文献阅读效率提升50倍。

立即体验

用中文搜PubMed

大模型驱动的PubMed中文搜索引擎

马上搜索

文档翻译

学术文献翻译模型,支持多种主流文档格式。

立即体验