Suppr超能文献

FAP作为广泛胆管癌亚型潜在治疗诊断靶点的免疫组化基础。

Immunohistochemical basis for FAP as a candidate theranostic target across a broad range of cholangiocarcinoma subtypes.

作者信息

Jorgenson Laura C, Torbenson Michael S, Halfdanarson Thorvardur R, Kankeu Fonkoua Lionel A, Tran Nguyen H, Roberts Lewis R, Smoot Rory L, Goenka Ajit H, Thompson Scott M

机构信息

Department of Radiology, Mayo Clinic, Rochester, MN, United States.

Department of Laboratory Medicine and Pathology, Mayo Clinic, Rochester, MN, United States.

出版信息

Front Nucl Med. 2024 Nov 27;4:1480471. doi: 10.3389/fnume.2024.1480471. eCollection 2024.

Abstract

PURPOSE

The aims of this study were to evaluate and compare fibroblast activation protein (FAP) expression and localization in surgically resected cholangiocarcinoma (CCA), primary and metastatic hepatocellular carcinoma (HCC), hepatocellular adenoma (HCA), and focal nodular hyperplasia (FNH), and to identify any association between CCA clinical or pathologic features and FAP expression.

MATERIALS AND METHODS

FAP immunostaining from surgically resected CCA ( = 58), primary intrahepatic and extrahepatic metastatic HCC ( = 148), HCA (N26), and FNH ( = 19) was scored (negative, weak positive, moderate positive or strong positive) from tissue microarrays. FAP expression was compared between groups. CCA FAP expression was compared to clinical and tumor pathology features.

RESULTS

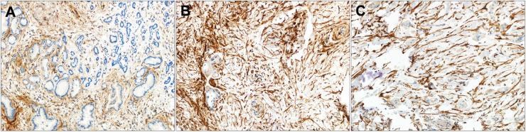
Moderate-strong FAP expression in the tumor stroma was present in 93.1% of CCA, 60.7% of extrahepatic metastatic HCC, 29.6% of primary HCC, 21.1% of FNH, and 11.6% of HCA. Moderate-strong FAP expression in tumor stroma was significantly more prevalent in CCA than HCC ( < 0.001), metastatic HCC ( = 0.005), HCA ( < 0.001) and FNH ( < 0.001). FAP was expressed in the stroma of all but one CCA (1.7%), and FAP expression in CCA tumor stroma was not associated with any clinical or tumor pathology features ( > 0.05, all).

CONCLUSION

FAP is expressed in the stroma of a high proportion (93%) of primary CCA independent of patient clinical or tumor pathology features. As such, these data provide the tissue basis for systematically evaluating FAP as a theranostic target across a broad range of CCA subtypes.

摘要

目的

本研究旨在评估和比较成纤维细胞活化蛋白(FAP)在手术切除的胆管癌(CCA)、原发性和转移性肝细胞癌(HCC)、肝细胞腺瘤(HCA)及局灶性结节性增生(FNH)中的表达及定位,并确定CCA临床或病理特征与FAP表达之间的任何关联。

材料与方法

对手术切除的CCA(n = 58)、原发性肝内和肝外转移性HCC(n = 148)、HCA(n = 26)及FNH(n = 19)进行FAP免疫染色,并从组织芯片中进行评分(阴性、弱阳性、中度阳性或强阳性)。比较各组织学组之间的FAP表达情况,并将CCA的FAP表达与临床和肿瘤病理特征进行比较。

结果

肿瘤基质中FAP呈中度至强表达见于93.1%的CCA、60.7%的肝外转移性HCC、29.6%的原发性HCC、21.1%的FNH及11.6%的HCA。肿瘤基质中FAP呈中度至强表达在CCA中显著高于HCC(P < 0.001)、转移性HCC(P = 0.005)、HCA(P < 0.001)及FNH(P < 0.001)。除1例CCA(1.7%)外,所有CCA的基质中均有FAP表达,且CCA肿瘤基质中的FAP表达与任何临床或肿瘤病理特征均无关联(P > 0.05,所有)。

结论

FAP在93%的原发性CCA基质中表达,且与患者临床或肿瘤病理特征无关。因此,这些数据为系统评估FAP作为广泛CCA亚型的诊疗靶点提供了组织学依据。

https://cdn.ncbi.nlm.nih.gov/pmc/blobs/3c41/11631625/36ca7071a53b/fnume-04-1480471-g001.jpg

文献AI研究员

20分钟写一篇综述,助力文献阅读效率提升50倍。

立即体验

用中文搜PubMed

大模型驱动的PubMed中文搜索引擎

马上搜索

文档翻译

学术文献翻译模型,支持多种主流文档格式。

立即体验