Suppr超能文献

原发性编辑基因疗法与伴有脑白质病的视网膜血管病变中的 TREX1 镶嵌现象

Prime Editor Gene Therapy and TREX1 Mosaicism in Retinal Vasculopathy with Cerebral Leukoencephalopathy.

作者信息

Chauvin Samuel D, Holley Joe A, Poddar Subhajit, Miner Cathrine A, Kumble Lindsay, Fu Jiayuan, Laue-Gizzi Hanka, Hardy Todd A, Miner Jonathan J

机构信息

Division of Rheumatology, Department of Medicine, University of Pennsylvania Perelman School of Medicine, Philadelphia, PA, USA.

RVCL Research Center, University of Pennsylvania Perelman School of Medicine, Philadelphia, PA, USA.

出版信息

J Clin Immunol. 2024 Dec 13;45(1):54. doi: 10.1007/s10875-024-01846-y.

Abstract

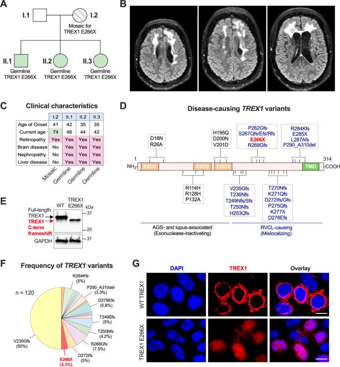
TREX1 mutations underlie a variety of human diseases, including retinal vasculopathy with cerebral leukoencephalopathy (RVCL or RVCL-S), a catastrophic adult-onset vasculopathy that is often confused with multiple sclerosis, systemic vasculitis, or systemic lupus erythematosus. Patients with RVCL develop brain, retinal, liver, and kidney disease around age 35-55, leading to premature death in 100% of patients expressing an autosomal dominant C-terminally truncated form of TREX1. We previously demonstrated that RVCL is characterized by high levels of DNA damage, premature cellular senescence, and risk of early-onset breast cancer before age 45. Here, we report human TREX1 mosaicism causing organ-limited RVCL in the retina, as well as a gene therapy to synthetically create TREX1 mosaicism as a potential treatment for RVCL. In our patient with organ-limited disease, the mosaic TREX1 mutant allele underwent germline transmission to 3 children, who developed severe multi-organ disease at ~ age 40, unlike their mosaic parent, who has organ-limited disease at age 74. Additionally, we describe our TREX1 prime editor gene therapy that corrects the most common RVCL-causing TREX1 variant in cell culture and in mice. Thus, TREX1 mosaicism causes organ-limited RVCL with a normal lifespan, suggesting that a gene therapy to create TREX1 mosaicism in adults may someday become useful as a treatment for patients with RVCL.

摘要

TREX1基因突变是多种人类疾病的基础,包括伴有脑白质病的视网膜血管病变(RVCL或RVCL-S),这是一种灾难性的成人发病的血管病变,常被误诊为多发性硬化症、系统性血管炎或系统性红斑狼疮。RVCL患者在35至55岁左右会出现脑、视网膜、肝脏和肾脏疾病,100%表达常染色体显性C末端截短形式TREX1的患者会过早死亡。我们之前证明,RVCL的特征是高水平的DNA损伤、过早的细胞衰老以及45岁前患早发性乳腺癌的风险。在这里,我们报告了人类TREX1嵌合现象导致视网膜出现器官局限性RVCL,以及一种通过基因疗法人为制造TREX1嵌合现象作为RVCL潜在治疗方法的研究。在我们患有器官局限性疾病的患者中,嵌合的TREX1突变等位基因通过种系传递给了3个孩子,这些孩子在40岁左右患上了严重的多器官疾病,而他们患有器官局限性疾病的嵌合父母在74岁时仍未发病。此外,我们描述了我们的TREX1碱基编辑器基因疗法,该疗法在细胞培养和小鼠中纠正了最常见的导致RVCL的TREX1变体。因此,TREX1嵌合现象导致器官局限性RVCL但寿命正常,这表明在成年人中制造TREX1嵌合现象的基因疗法有朝一日可能成为治疗RVCL患者的有效方法。

https://cdn.ncbi.nlm.nih.gov/pmc/blobs/b193/11645301/a9cbedb6af35/10875_2024_1846_Fig1_HTML.jpg

文献AI研究员

20分钟写一篇综述,助力文献阅读效率提升50倍。

立即体验

用中文搜PubMed

大模型驱动的PubMed中文搜索引擎

马上搜索

文档翻译

学术文献翻译模型,支持多种主流文档格式。

立即体验